Smile rehabilitation in the anterior maxilla with maxgraft® bonebuilder - Dres. A. Dagba and J. Mourlaas

Reconstruction of Anterior Maxilla with maxgraft® bonebuilder – Dr. B. Han

Loss of teeth in anterior maxilla caused by periodontitis

botiss maxgraft® bonebuilder and vestibuloplasty with mucoderm® for ridge augmentation - Clinical case

Preoperative situation – Maxillary defect in area 14-16 (loss of implant 16 due to periimplantitis, tooth 14 extracted recently and area 15 already edentulous for a while)

botiss maxgraft® bonebuilder aesthetic reconstruction - Clinical case

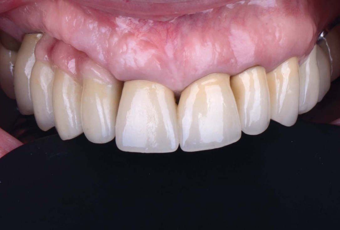
Pre-operative clinical situation: changed color in the gingiva in the front maxilla

Ridge augmentation in the mandible with maxgraft® bonebuilder– Dr. R. Morger

Initial clinical situation: Free end situation in quadrant three and four

Full maxillary reconstruction with maxgraft® bonebuilder - Dr. C. Hilscher

Initial x-ray, ten years post implantationem alio loco, large peri-implant bone loss

Ridge augmentation in the maxilla with maxgraft® bonebuilder in the aesthetic zone - Dr. M. Kristensen

Bone defect in area 11-21 due to two lost implants (periimplantitis) after 15 years of function

Ridge augmentation with maxgraft® bonebuilder and sinus floor elevation – Dr. K.P. Schiechl

Initial clinical situation: Bone defect in the upper right maxilla (teeth #14-16)

Block augmentation with maxgraft® and cerabone® – Dr. F. Kloss

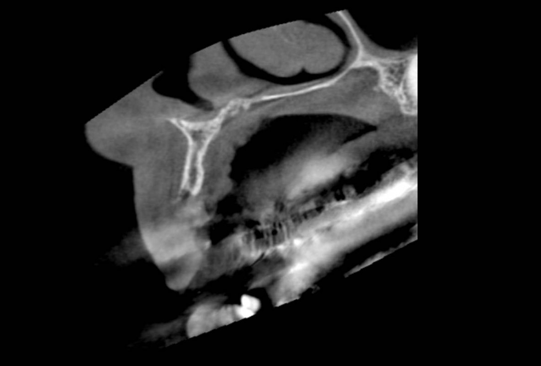
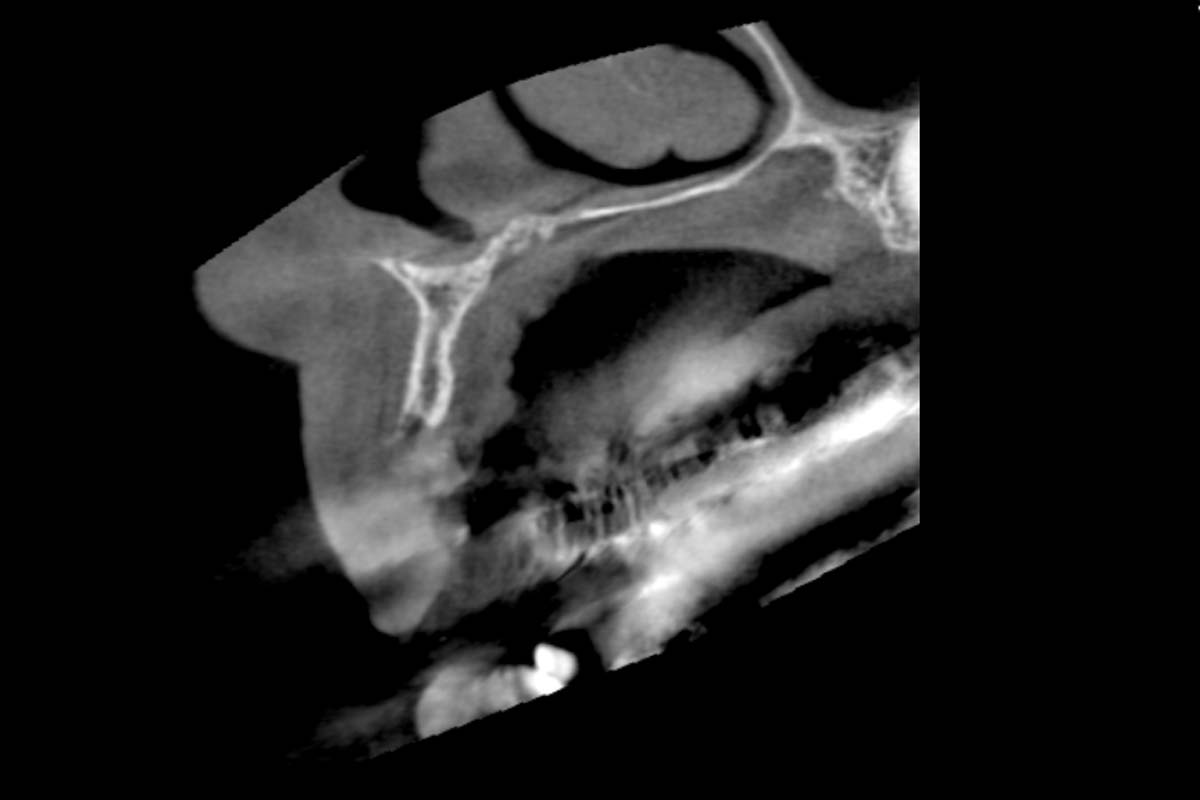
Initial CBCT scan - Fracture of left maxillary incisor and loss of buccal wall