-
01/12 - Situation after teeth extraction due to periodontally damaged teeth
Ridge augmentation in the mandible with maxgraft® bonebuilder in a free-end situation - Dr. Dr. Dr. O. Blume
-
02/12 - Mandibular bone defect in area 35-37
Ridge augmentation in the mandible with maxgraft® bonebuilder in a free-end situation - Dr. Dr. Dr. O. Blume
-
03/12 - 3D reconstruction of the bone defect and planned maxgraft® bonebuilder
Ridge augmentation in the mandible with maxgraft® bonebuilder in a free-end situation - Dr. Dr. Dr. O. Blume
-
04/12 - Clinical situation prior augmentation
Ridge augmentation in the mandible with maxgraft® bonebuilder in a free-end situation - Dr. Dr. Dr. O. Blume
-
05/12 - Fixation of the allogenic bone block with two osteosynthesis screws
Ridge augmentation in the mandible with maxgraft® bonebuilder in a free-end situation - Dr. Dr. Dr. O. Blume
-
06/12 - Radiographic control after augmentation
Ridge augmentation in the mandible with maxgraft® bonebuilder in a free-end situation - Dr. Dr. Dr. O. Blume
-
07/12 - Re-entry after six months
Ridge augmentation in the mandible with maxgraft® bonebuilder in a free-end situation - Dr. Dr. Dr. O. Blume
-
08/12 - Insertion of three Straumann implants
Ridge augmentation in the mandible with maxgraft® bonebuilder in a free-end situation - Dr. Dr. Dr. O. Blume
-
09/12 - Radiographic control after implantation
Ridge augmentation in the mandible with maxgraft® bonebuilder in a free-end situation - Dr. Dr. Dr. O. Blume
-
10/12 - Uncovering the implants
Ridge augmentation in the mandible with maxgraft® bonebuilder in a free-end situation - Dr. Dr. Dr. O. Blume
-
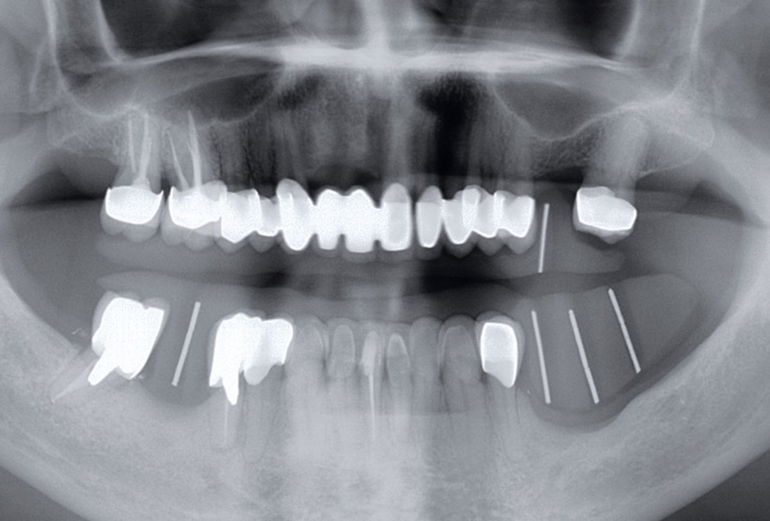
11/12 - Radiographic control after uncovering
Ridge augmentation in the mandible with maxgraft® bonebuilder in a free-end situation - Dr. Dr. Dr. O. Blume
-
12/12 - 17 months post-operative: stable bone situation
Ridge augmentation in the mandible with maxgraft® bonebuilder in a free-end situation - Dr. Dr. Dr. O. Blume