-
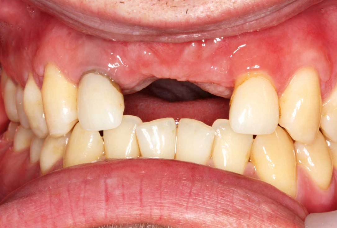
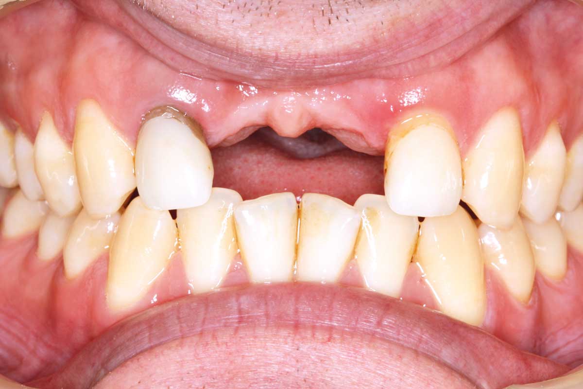
01/26 - Bone defect in area 11-21 due to two lost implants (periimplantitis) after 15 years of function
Ridge augmentation in the maxilla with maxgraft® bonebuilder in the aesthetic zone - Dr. M. Kristensen
-
02/26 - 3D reconstruction of the bone defect and planned maxgraft® bonebuilder
Ridge augmentation in the maxilla with maxgraft® bonebuilder in the aesthetic zone - Dr. M. Kristensen
-
03/26 - Treatment planning
Ridge augmentation in the maxilla with maxgraft® bonebuilder in the aesthetic zone - Dr. M. Kristensen
-
04/26 - Combined vertical and horizontal bone defect in area 21
Ridge augmentation in the maxilla with maxgraft® bonebuilder in the aesthetic zone - Dr. M. Kristensen
-
05/26 - Positioning of maxgraft® bonebuilder
Ridge augmentation in the maxilla with maxgraft® bonebuilder in the aesthetic zone - Dr. M. Kristensen
-
06/26 - Fixation with two osteosynthesis screws
Ridge augmentation in the maxilla with maxgraft® bonebuilder in the aesthetic zone - Dr. M. Kristensen
-
07/26 - Application of Straumann® Emdogain®
Ridge augmentation in the maxilla with maxgraft® bonebuilder in the aesthetic zone - Dr. M. Kristensen
-
08/26 - Covering with Jason® membrane
Ridge augmentation in the maxilla with maxgraft® bonebuilder in the aesthetic zone - Dr. M. Kristensen
-
09/26 - Wound closure with 15 sutures
Ridge augmentation in the maxilla with maxgraft® bonebuilder in the aesthetic zone - Dr. M. Kristensen
-
10/26 - Wound healing after 13 days
Ridge augmentation in the maxilla with maxgraft® bonebuilder in the aesthetic zone - Dr. M. Kristensen
-
11/26 - Wound healing after 6 months
Ridge augmentation in the maxilla with maxgraft® bonebuilder in the aesthetic zone - Dr. M. Kristensen
-
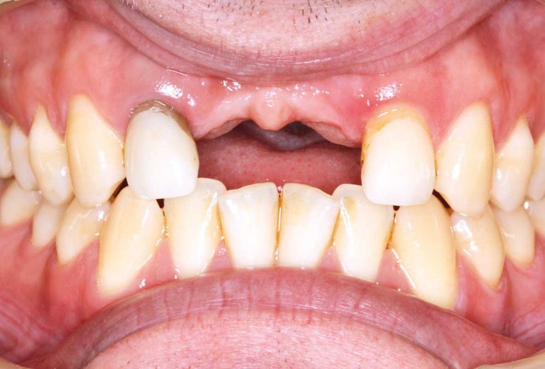
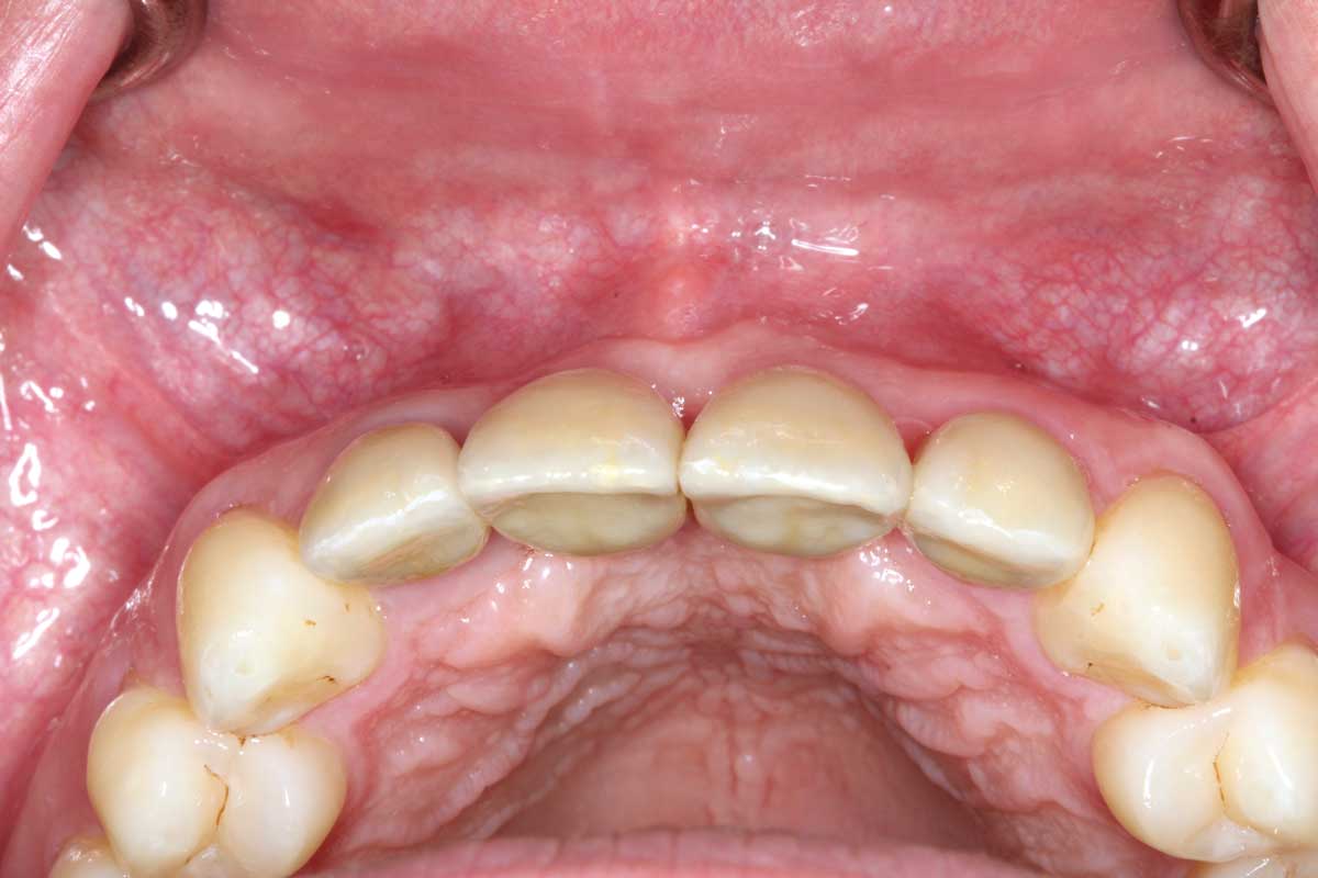
12/26 - Clinical situation after 6 months
Ridge augmentation in the maxilla with maxgraft® bonebuilder in the aesthetic zone - Dr. M. Kristensen
-
13/26 - Re-entry after 6 months
Ridge augmentation in the maxilla with maxgraft® bonebuilder in the aesthetic zone - Dr. M. Kristensen
-
14/26 - Insertion of two Straumann BLX implants 3.75 x 14 mm / 3.75 x 12 mm
Ridge augmentation in the maxilla with maxgraft® bonebuilder in the aesthetic zone - Dr. M. Kristensen
-
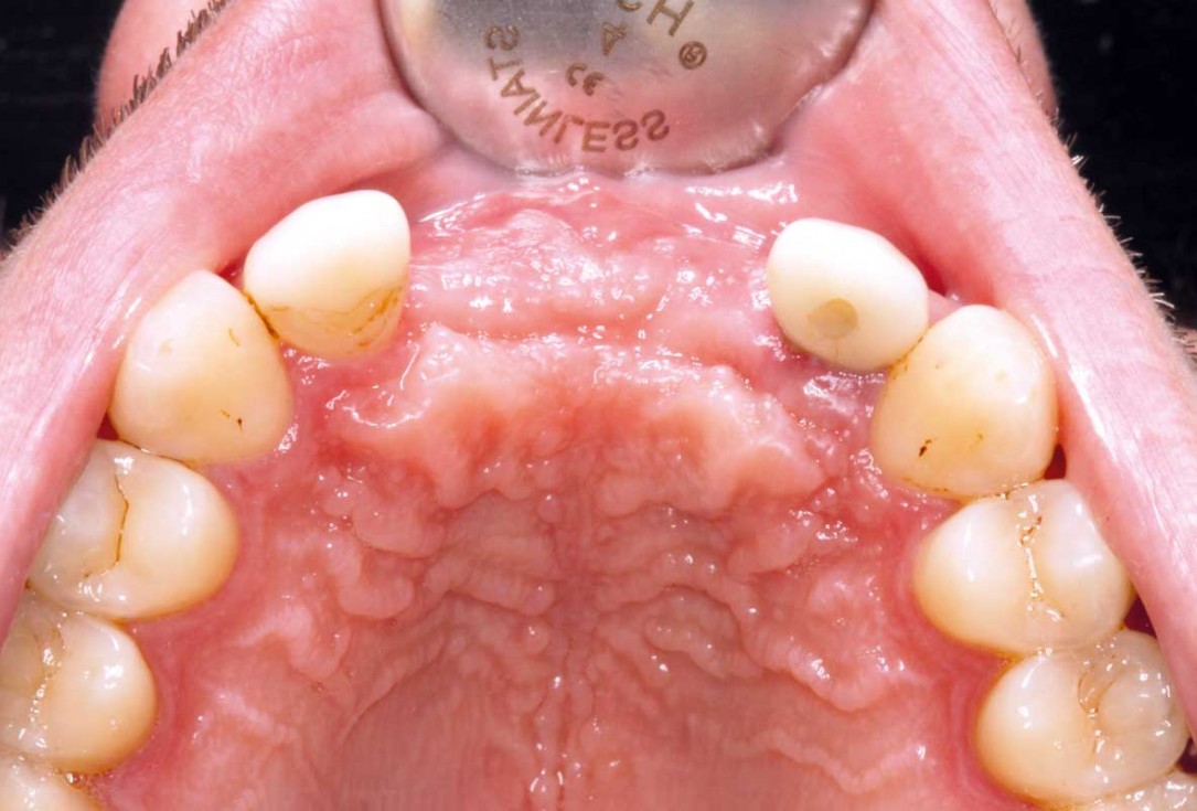
15/26 - Vital tissue for implantation
Ridge augmentation in the maxilla with maxgraft® bonebuilder in the aesthetic zone - Dr. M. Kristensen
-
16/26 - Straumann BLX implant 3.75 x 12 mm
Ridge augmentation in the maxilla with maxgraft® bonebuilder in the aesthetic zone - Dr. M. Kristensen
-
17/26 - Insertion of two Straumann BLX implants 3.75 x 14 mm / 3.75 x 12 mm
Ridge augmentation in the maxilla with maxgraft® bonebuilder in the aesthetic zone - Dr. M. Kristensen
-
18/26 - Insertion of two Straumann BLX implants 3.75 x 14 mm / 3.75 x 12 mm
Ridge augmentation in the maxilla with maxgraft® bonebuilder in the aesthetic zone - Dr. M. Kristensen
-
19/26 - Contouring with cerabone®
Ridge augmentation in the maxilla with maxgraft® bonebuilder in the aesthetic zone - Dr. M. Kristensen
-
20/26 - Soft tissue thickening with mucoderm®
Ridge augmentation in the maxilla with maxgraft® bonebuilder in the aesthetic zone - Dr. M. Kristensen
-
21/26 - Soft tissue thickening with mucoderm® and fixation
Ridge augmentation in the maxilla with maxgraft® bonebuilder in the aesthetic zone - Dr. M. Kristensen
-
22/26 - Wound closure with 13 sutures
Ridge augmentation in the maxilla with maxgraft® bonebuilder in the aesthetic zone - Dr. M. Kristensen
-
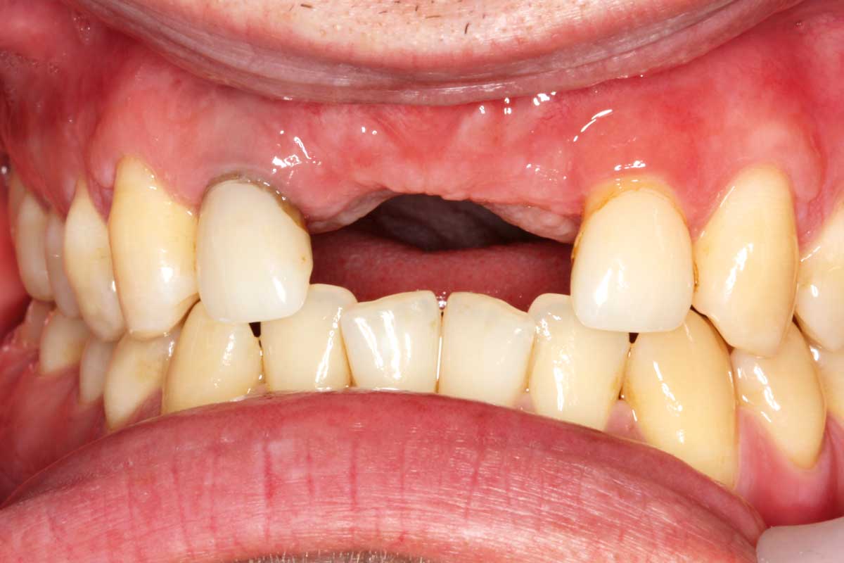
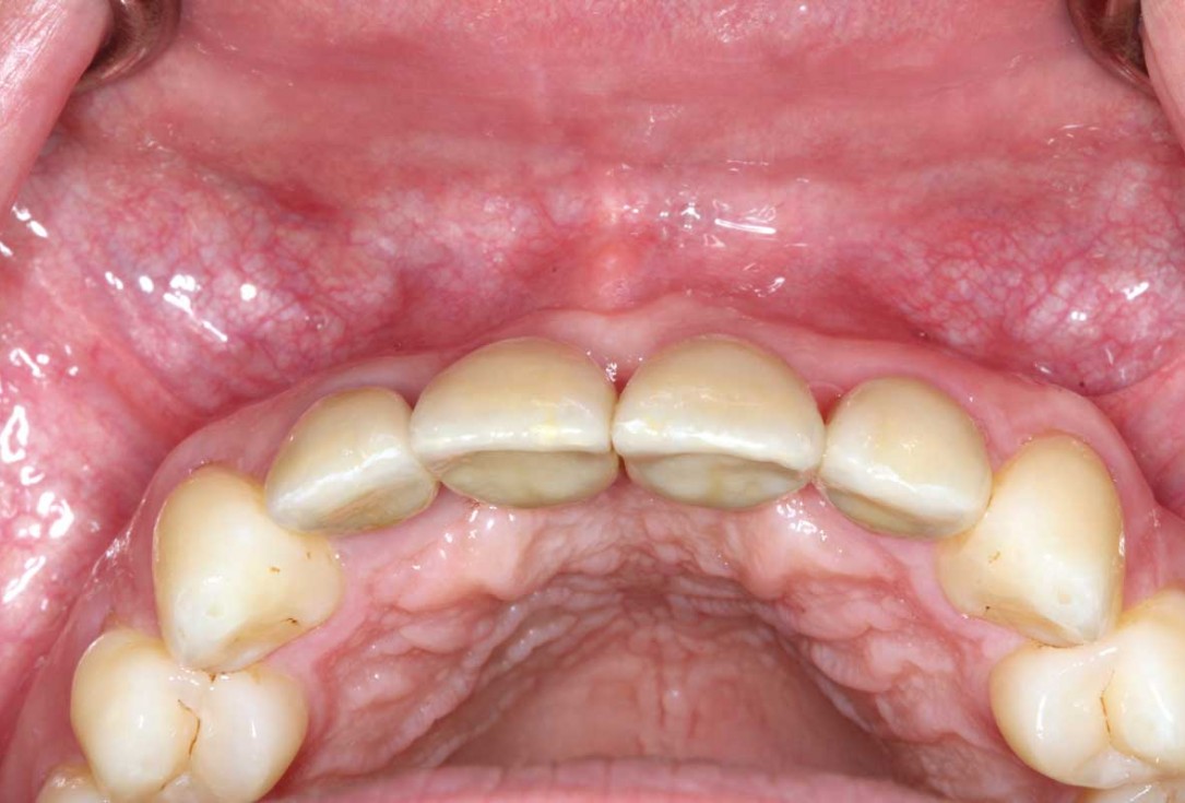
23/26 - Final clinical situation 12 months after augmentation
Ridge augmentation in the maxilla with maxgraft® bonebuilder in the aesthetic zone - Dr. M. Kristensen
-
24/26 - Final clinical situation 12 months after augmentation
Ridge augmentation in the maxilla with maxgraft® bonebuilder in the aesthetic zone - Dr. M. Kristensen
-
25/26 - X-ray scan at implant installation 6 months after augmentation
Ridge augmentation in the maxilla with maxgraft® bonebuilder in the aesthetic zone - Dr. M. Kristensen
-
26/26 - Final x-ray scan 12 months after augmentation
Ridge augmentation in the maxilla with maxgraft® bonebuilder in the aesthetic zone - Dr. M. Kristensen