-
1/16 - Loss of teeth in anterior maxilla caused by periodontitis
Reconstruction of Anterior Maxilla with maxgraft® bonebuilder – Dr. B. Han
-
2/16 - CBCT data shows a horizontal and vertical bone loss in the anterior part of upper jaw
Reconstruction of Anterior Maxilla with maxgraft® bonebuilder – Dr. B. Han
-
3/16 - 3D planning of maxgraft® bonebuilder
Reconstruction of Anterior Maxilla with maxgraft® bonebuilder – Dr. B. Han
-
4/16 - Initial intraoral situation - Horizontal and vertical bone loss in the anterior part of upper jaw
Reconstruction of Anterior Maxilla with maxgraft® bonebuilder – Dr. B. Han
-
5/16 - Customized bone block fixed with three osteosynthesis screws without any manual adjustment
Reconstruction of Anterior Maxilla with maxgraft® bonebuilder – Dr. B. Han
-
6/16 - Fixation of customized bone block maxgraft® bonebuilder
Reconstruction of Anterior Maxilla with maxgraft® bonebuilder – Dr. B. Han
-
7/16 - Layer of cerabone®
Reconstruction of Anterior Maxilla with maxgraft® bonebuilder – Dr. B. Han
-
8/16 - Augmentation area was covered with Jason® membrane
Reconstruction of Anterior Maxilla with maxgraft® bonebuilder – Dr. B. Han
-
9/16 - Suturing with Teflon sutures
Reconstruction of Anterior Maxilla with maxgraft® bonebuilder – Dr. B. Han
-
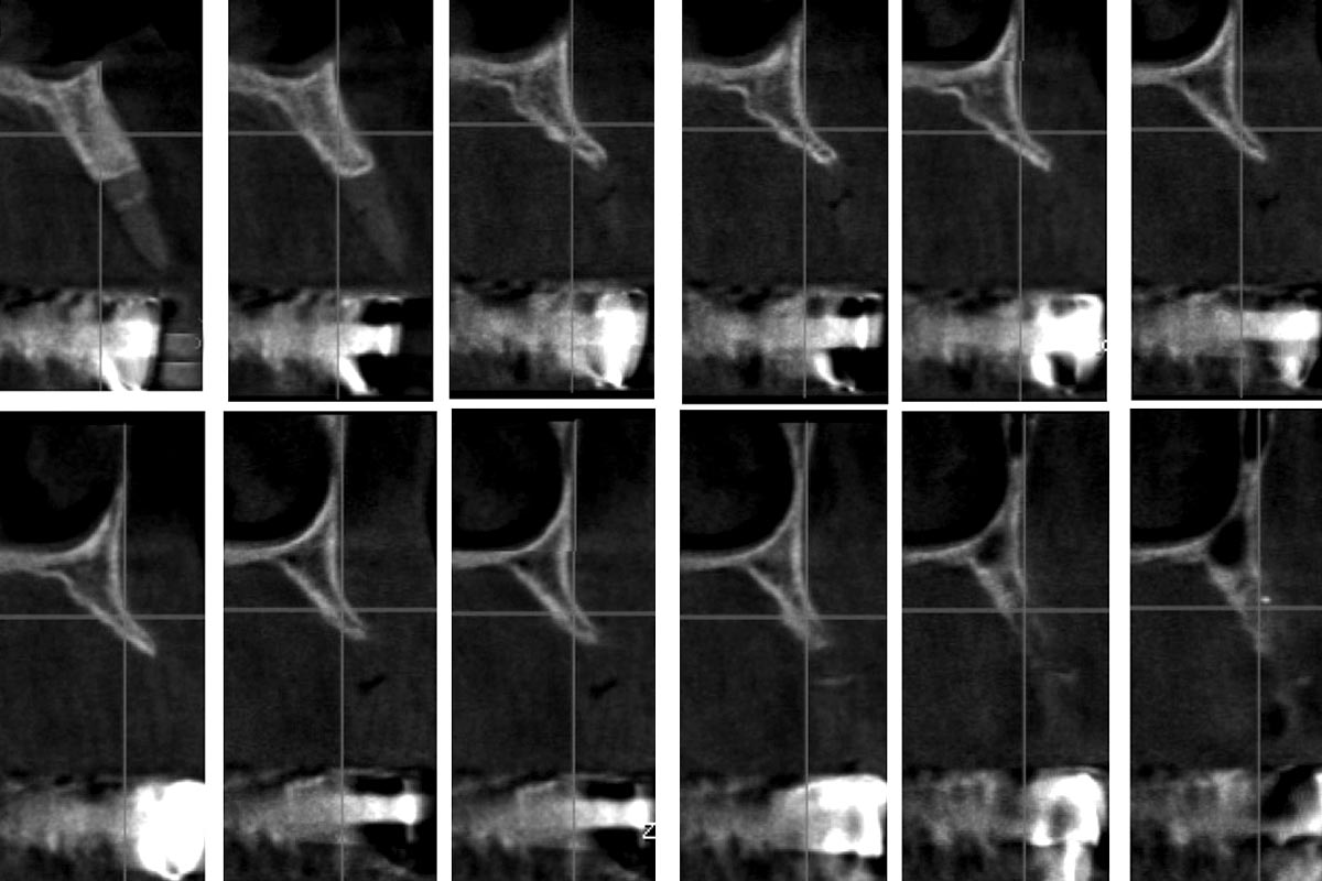
10/16 - CBCT after 6 months – successful integration, no gaps between block and residual bone
Reconstruction of Anterior Maxilla with maxgraft® bonebuilder – Dr. B. Han
-
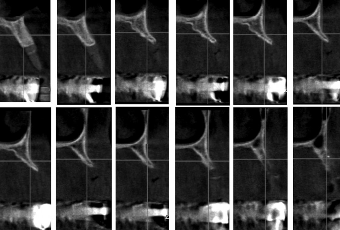
11/16 - Vital bone at re-entry, no resorption around screw heads
Reconstruction of Anterior Maxilla with maxgraft® bonebuilder – Dr. B. Han
-
12/16 - During drilling and implant placement the reconstructed bone remained stable
Reconstruction of Anterior Maxilla with maxgraft® bonebuilder – Dr. B. Han
-
13/16 - Insertion of three implants
Reconstruction of Anterior Maxilla with maxgraft® bonebuilder – Dr. B. Han
-
14/16 - Prosthetic work
Reconstruction of Anterior Maxilla with maxgraft® bonebuilder – Dr. B. Han
-
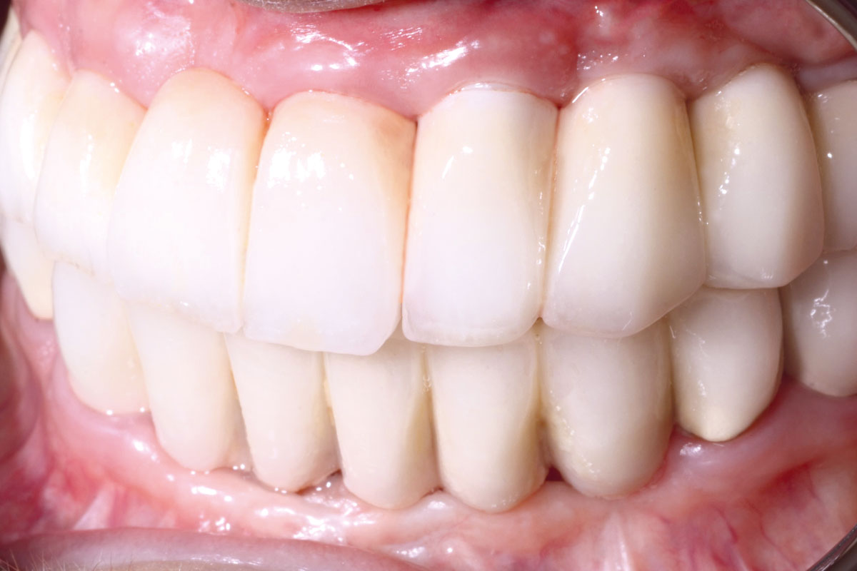
15/16 - 5 years follow up
Reconstruction of Anterior Maxilla with maxgraft® bonebuilder – Dr. B. Han
-
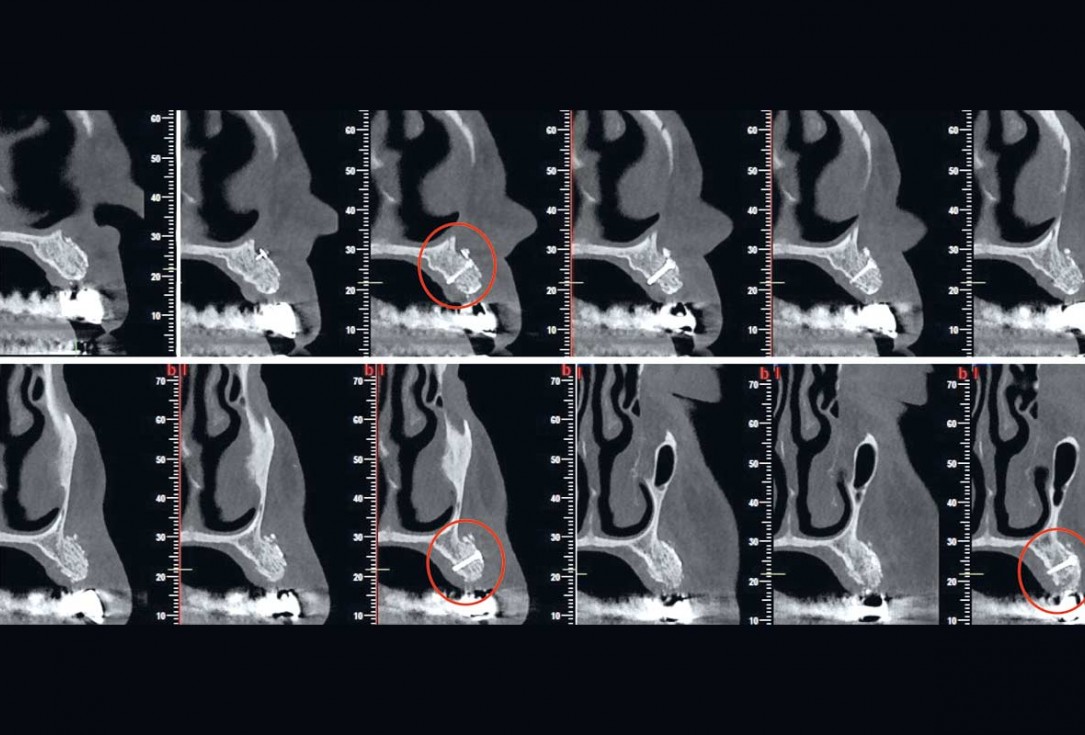
16/16 - Stable outcome - 4 years after loading approx. 0.6 mm of bone loss was observed compared to 6 months after augmentation
Reconstruction of Anterior Maxilla with maxgraft® bonebuilder – Dr. B. Han