-
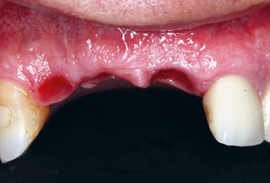
1/27 - Initial situation: missing teeth #11 & 12 and badly broken #21 root
GBR and soft tissue augmentation with cerabone® and mucoderm® - H. Maghaireh & V. Ivancheva
-
2/27 - Bone defect after raising the flap
GBR and soft tissue augmentation with cerabone® and mucoderm® - H. Maghaireh & V. Ivancheva
-
3/27 - Root extraction #21
GBR and soft tissue augmentation with cerabone® and mucoderm® - H. Maghaireh & V. Ivancheva
-
4/27 - Bone defect after extraction: occlusal view
GBR and soft tissue augmentation with cerabone® and mucoderm® - H. Maghaireh & V. Ivancheva
-
5/27 - Alignment of dental implants
GBR and soft tissue augmentation with cerabone® and mucoderm® - H. Maghaireh & V. Ivancheva
-
6/27 - Immediate implant placement of #21 and delayed placement of #11
GBR and soft tissue augmentation with cerabone® and mucoderm® - H. Maghaireh & V. Ivancheva
-
7/27 - Implants with healing caps
GBR and soft tissue augmentation with cerabone® and mucoderm® - H. Maghaireh & V. Ivancheva
-
8/27 - Implants #11 and #21: occlusal view
GBR and soft tissue augmentation with cerabone® and mucoderm® - H. Maghaireh & V. Ivancheva
-
9/27 - GBR with autologous bone chips covered with small particles cerabone® and two mucoderm® used as a barrier membrane
GBR and soft tissue augmentation with cerabone® and mucoderm® - H. Maghaireh & V. Ivancheva
-
11/27 - Augmentation site: occlusal view
GBR and soft tissue augmentation with cerabone® and mucoderm® - H. Maghaireh & V. Ivancheva
-
10/27 - mucoderm® was stabilised using titanium pins and sutured together to achieve maximum stability
GBR and soft tissue augmentation with cerabone® and mucoderm® - H. Maghaireh & V. Ivancheva
-
12/27 - Closure without tension using sling sutures
GBR and soft tissue augmentation with cerabone® and mucoderm® - H. Maghaireh & V. Ivancheva
-
13/27 - Site closed free of tension
GBR and soft tissue augmentation with cerabone® and mucoderm® - H. Maghaireh & V. Ivancheva
-
14/27 - Augmentation site: occlusal view
GBR and soft tissue augmentation with cerabone® and mucoderm® - H. Maghaireh & V. Ivancheva
-
15/27 - 1 week after surgery
GBR and soft tissue augmentation with cerabone® and mucoderm® - H. Maghaireh & V. Ivancheva
-
16/27 - 12 weeks after surgery: showing partial exposure of the healing abutments and satisfactory convexity
GBR and soft tissue augmentation with cerabone® and mucoderm® - H. Maghaireh & V. Ivancheva
-
17/27 - Occlusal view
GBR and soft tissue augmentation with cerabone® and mucoderm® - H. Maghaireh & V. Ivancheva
-
18/27 - 16 weeks after surgery
GBR and soft tissue augmentation with cerabone® and mucoderm® - H. Maghaireh & V. Ivancheva
-
19/27 - Customization of the impression pick-ups to copying the sub-gingival profile of the adjusted temporary bridge
GBR and soft tissue augmentation with cerabone® and mucoderm® - H. Maghaireh & V. Ivancheva
-
20/27 - Screw retained temporary implant bridge with sub-gingival concavity
GBR and soft tissue augmentation with cerabone® and mucoderm® - H. Maghaireh & V. Ivancheva
-
21/27 - Temporary bridge used 16 weeks after surgery to achieve prosthetic soft tissue sculpture
GBR and soft tissue augmentation with cerabone® and mucoderm® - H. Maghaireh & V. Ivancheva
-
22/27 - 18 weeks after surgery
GBR and soft tissue augmentation with cerabone® and mucoderm® - H. Maghaireh & V. Ivancheva
-
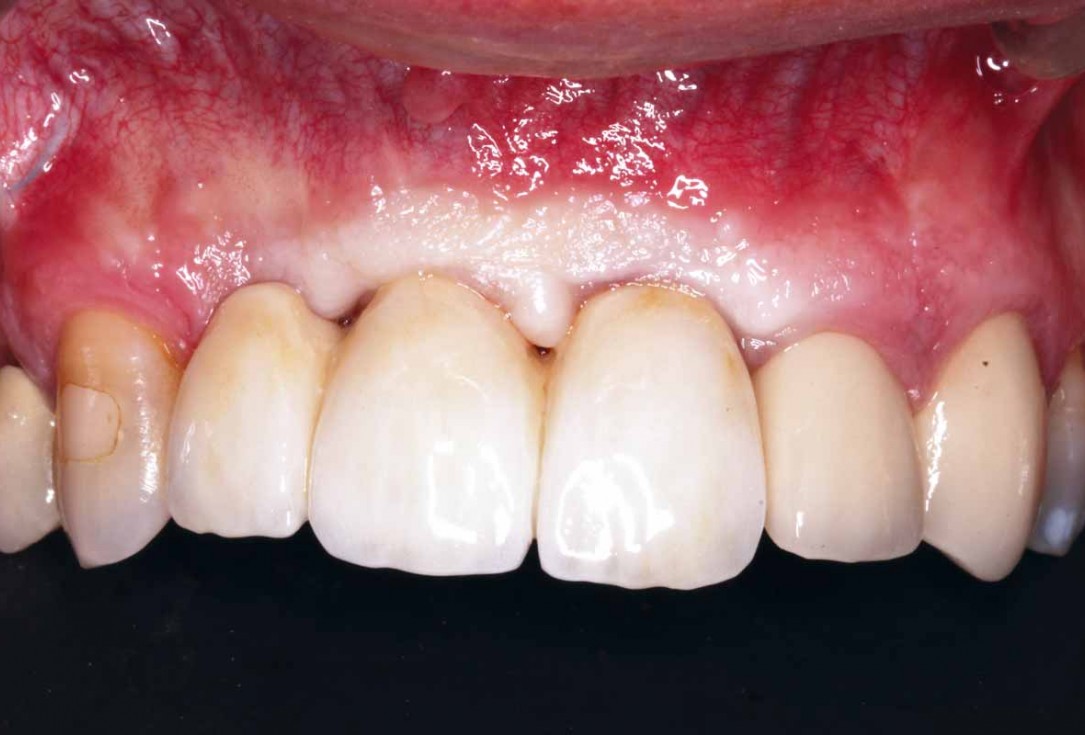
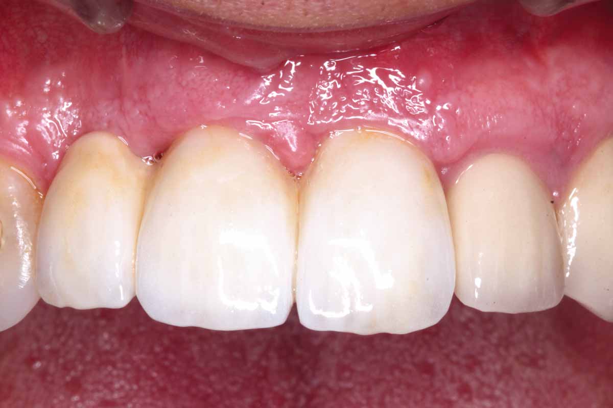
23/27 - Final prosthetics with sub-gingival concavity
GBR and soft tissue augmentation with cerabone® and mucoderm® - H. Maghaireh & V. Ivancheva
-
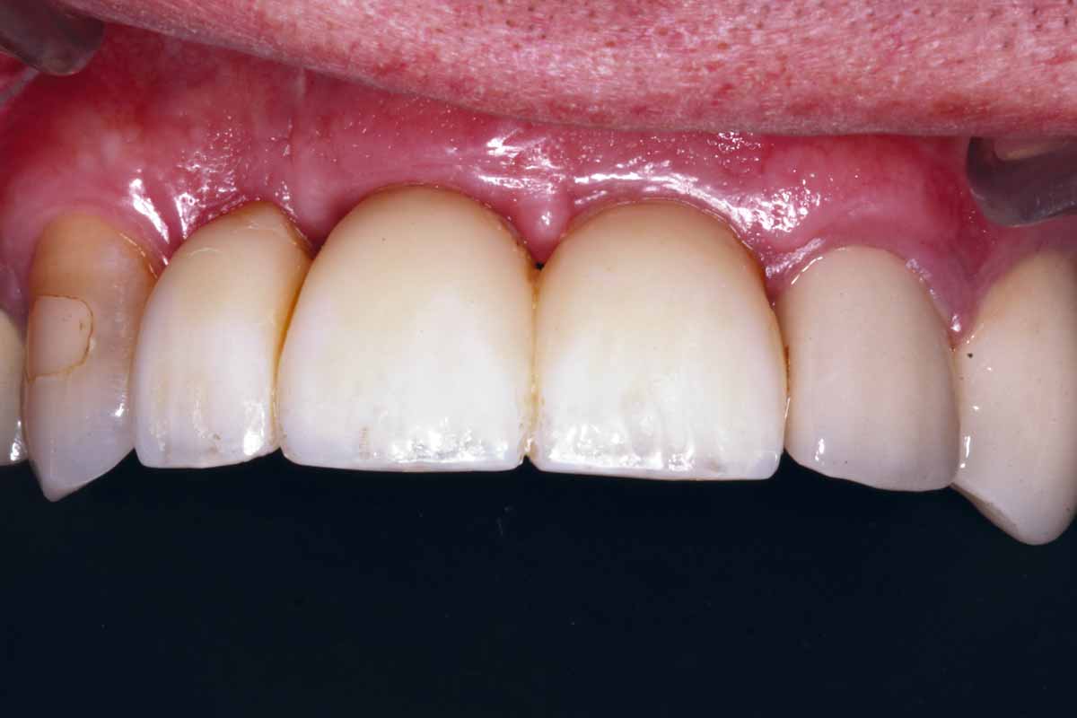
24/27 - 18 weeks after surgery with visible soft tissue maturation and papilla growing back
GBR and soft tissue augmentation with cerabone® and mucoderm® - H. Maghaireh & V. Ivancheva
-
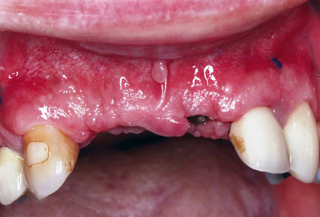
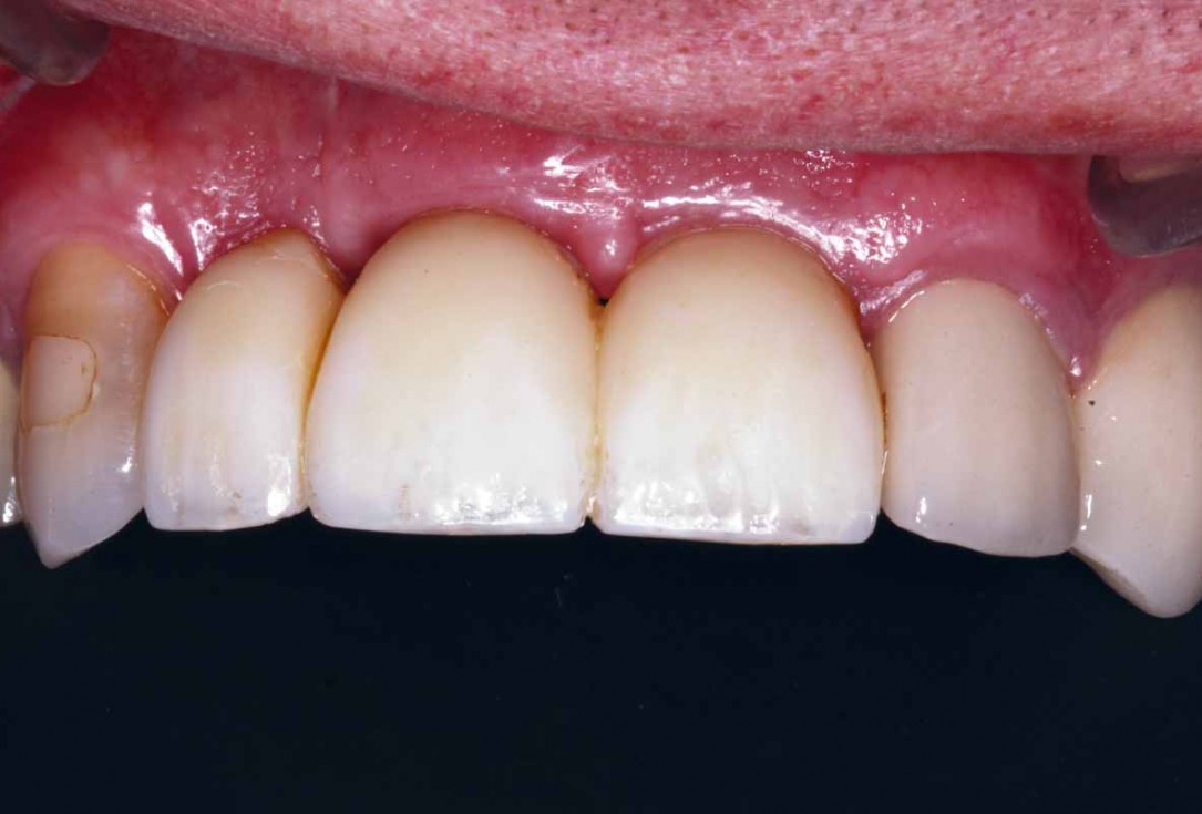
25/27 - Regeneration and maturation of the soft tissue
GBR and soft tissue augmentation with cerabone® and mucoderm® - H. Maghaireh & V. Ivancheva
-
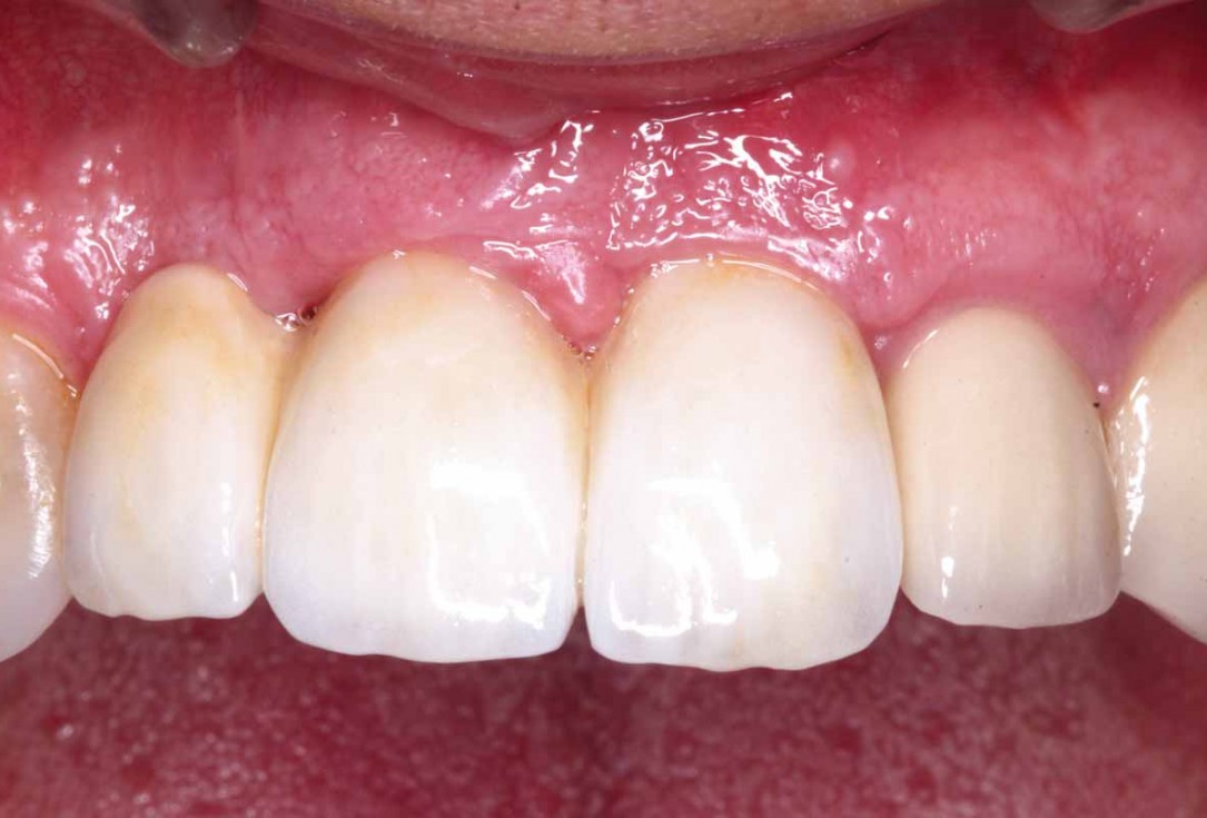
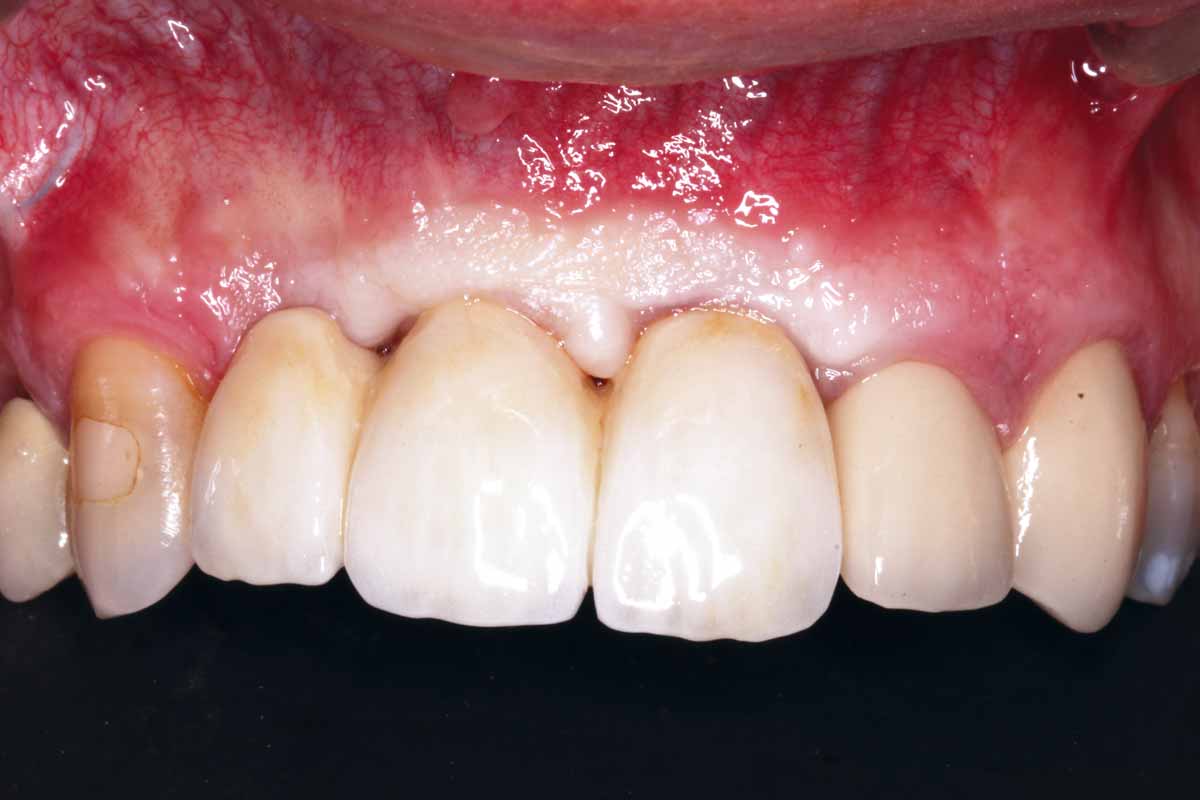
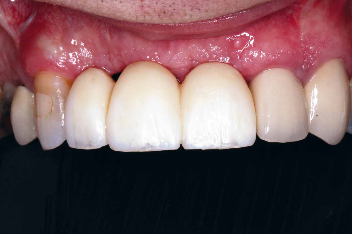
26/27 - Final screw retained restoration 5 months after surgery
GBR and soft tissue augmentation with cerabone® and mucoderm® - H. Maghaireh & V. Ivancheva
-
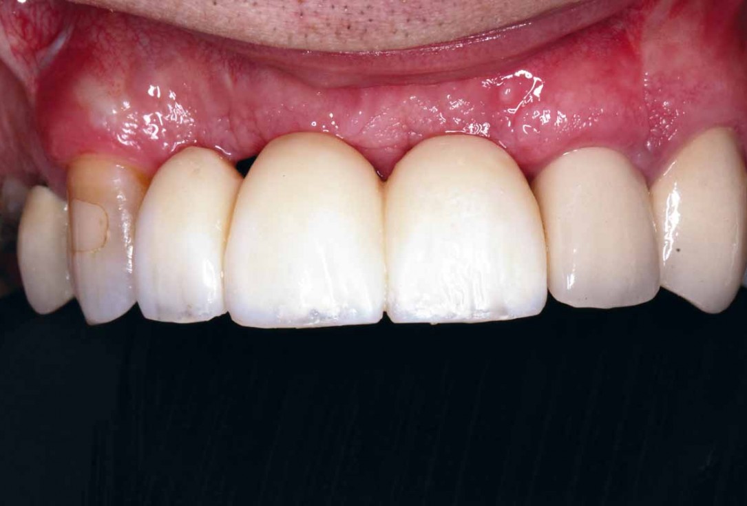
27/27 - Final clinical outcome
GBR and soft tissue augmentation with cerabone® and mucoderm® - H. Maghaireh & V. Ivancheva