GTR for the treatment of a deep three-dimensional intrabony defect using cerabone®, collprotect® membrane and Straumann® Emdogain® - Dr. T. Schwaar
-
01/10 - Pre-operative OPG shows deep vertical intrabony defects on the distal aspects of teeth 13 and 14.GTR for the treatment of a deep three-dimensional intrabony defect using cerabone®, collprotect® membrane and Straumann® Emdogain® - Dr. T. Schwaar
-
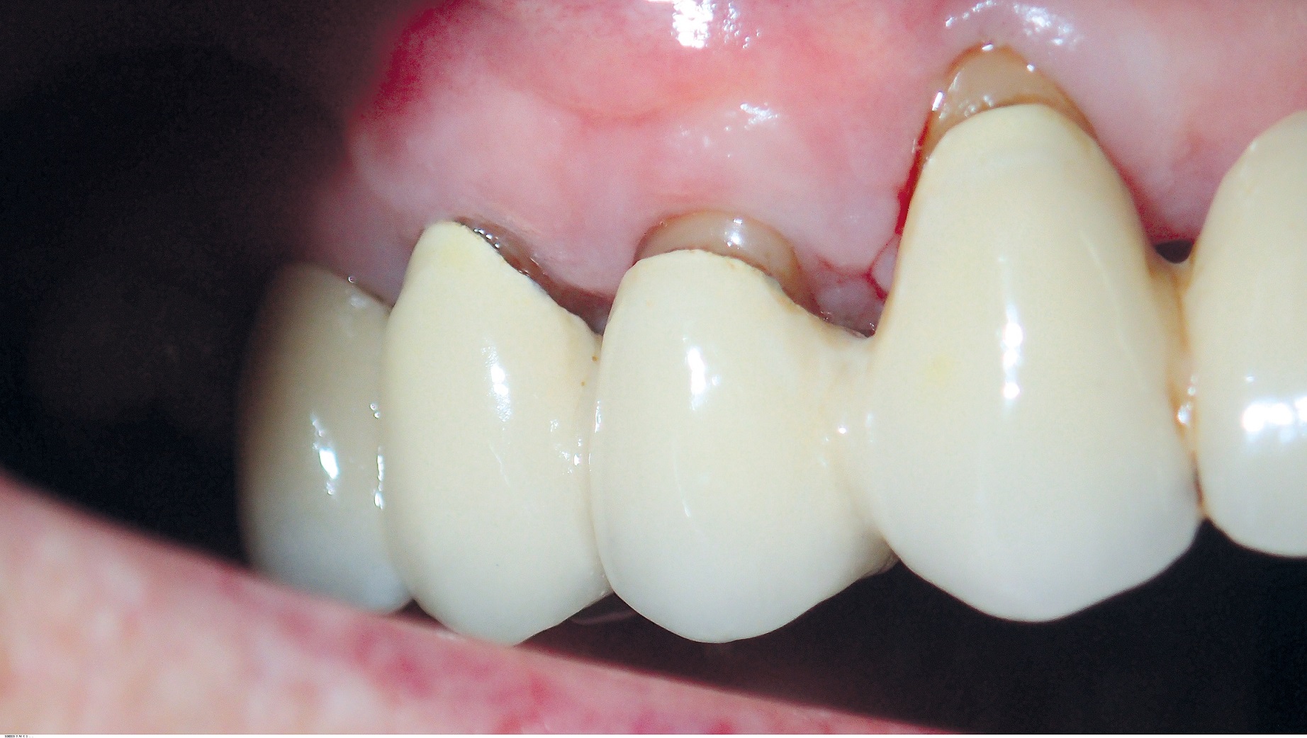
02/10 - Pre-operative clinical situation.GTR for the treatment of a deep three-dimensional intrabony defect using cerabone®, collprotect® membrane and Straumann® Emdogain® - Dr. T. Schwaar
-
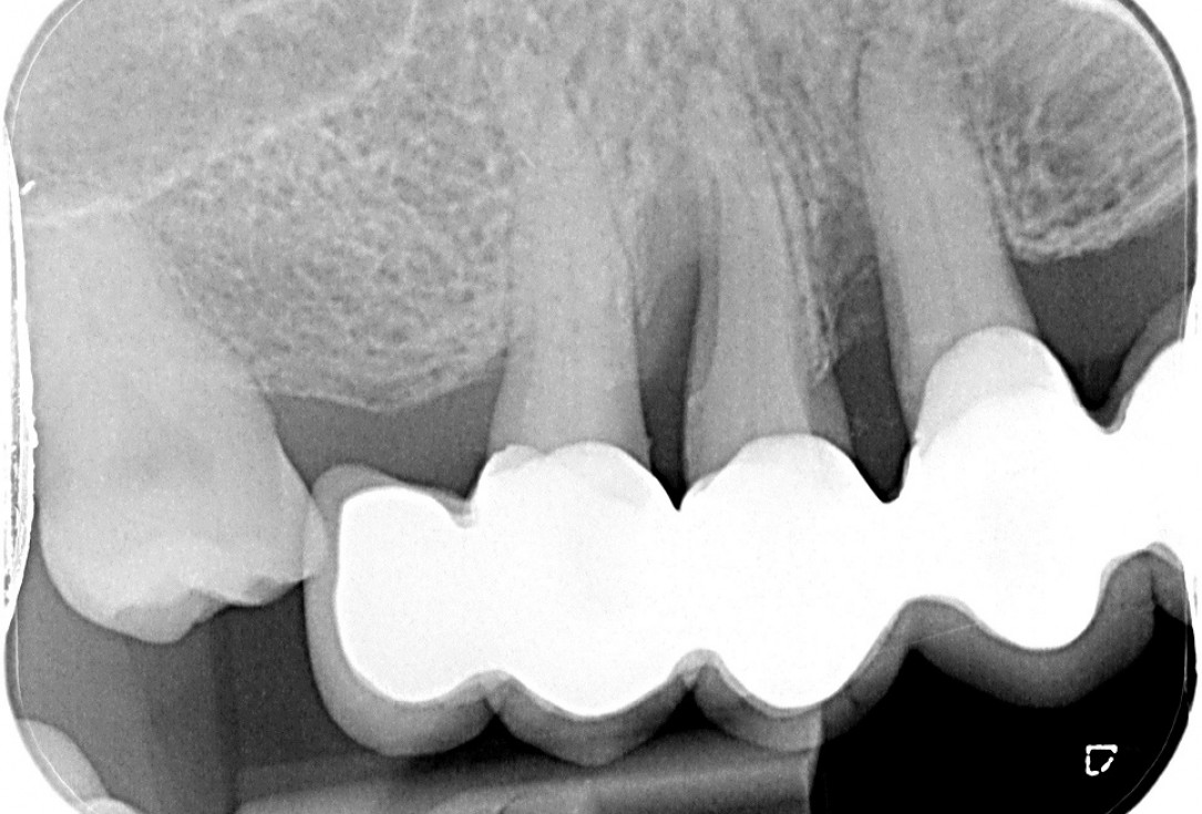
03/10 - Deep non-contained intrabony defect with a vertical bone loss of 12mm.GTR for the treatment of a deep three-dimensional intrabony defect using cerabone®, collprotect® membrane and Straumann® Emdogain® - Dr. T. Schwaar
-
04/10 - Application of Emdogain® on the cleaned root surface.GTR for the treatment of a deep three-dimensional intrabony defect using cerabone®, collprotect® membrane and Straumann® Emdogain® - Dr. T. Schwaar
-
05/10 - Grafting of the bone defect with a mixture of cerabone® and autologous bone chips.GTR for the treatment of a deep three-dimensional intrabony defect using cerabone®, collprotect® membrane and Straumann® Emdogain® - Dr. T. Schwaar
-
06/10 - Covering of the grafted site with collprotect® membrane.GTR for the treatment of a deep three-dimensional intrabony defect using cerabone®, collprotect® membrane and Straumann® Emdogain® - Dr. T. Schwaar
-
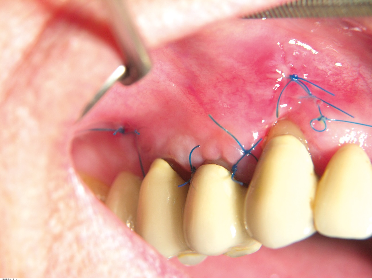
07/10 - Primary wound closure.GTR for the treatment of a deep three-dimensional intrabony defect using cerabone®, collprotect® membrane and Straumann® Emdogain® - Dr. T. Schwaar
-
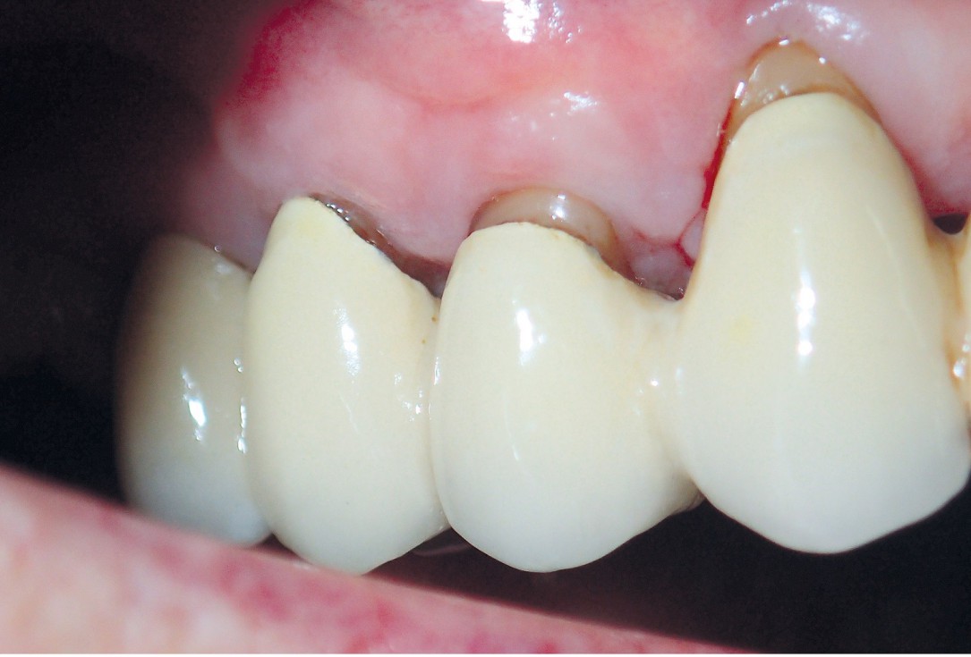
08/10 - Situation at the time of suture removal.GTR for the treatment of a deep three-dimensional intrabony defect using cerabone®, collprotect® membrane and Straumann® Emdogain® - Dr. T. Schwaar
-
09/10 - Stable clinical situation 6 months post-operative.GTR for the treatment of a deep three-dimensional intrabony defect using cerabone®, collprotect® membrane and Straumann® Emdogain® - Dr. T. Schwaar
-
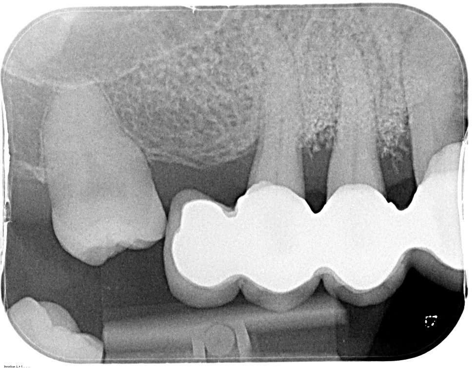
10/10 - Radiographic control 6 months post-operative.GTR for the treatment of a deep three-dimensional intrabony defect using cerabone®, collprotect® membrane and Straumann® Emdogain® - Dr. T. Schwaar
Initial clinical situation. Atrophic maxillary ridge.
Initial x-ray showing bone loss around implants placed 5 years ago in another dental clinic
Initial view of the case. Discoloration of 1.1 and mild class I gingival recession
Situation after tooth removal.
Instable bridge situation with abscess formation at tooth #15 after apicoectomy
Initial clinical situation.
Implant insertion in atrophic alveolar ridge
Preoperative clinical situation
Pre-operative OPG
Initial clinical situation.
Pre-surgical situation.
Initial situation: missing teeth #11 & 12 and badly broken #21 root
Pre-surgical situation. Teeth 26 and 27 missing.
Extraction of tooth 21 after endodontic treatment
Pre-surgical probing reveals a deep intrabony defect on the distal aspect of the upper canine.
Initial clinical situation with single tooth gap in regio 21
Pre-operative radiographic view. Intrabony defect on the distal aspect of the lateral incisor.
Clinical situation before extraction and implantation
Pre-operative radiographic view.
Situation after tooth extraction.
Pre-operative X-ray. Hopless tooth 21.
Initial clinical situation with gum recession and labial bone loss eight weeks following tooth extraction
Three implants placed in a narrow posterior mandible
Pre-operative clinical situation.
Clinical situation with narrow alveolar ridge in the lower jaw
Initial clinical situation showing bone wall defect.









