Augmentation of an atrophic maxilla with maxgraft® bonebuilder - Dr. Dr. Dr. O. Blume

Immediate implantation with maxresorb® inject - Dr. D. Jelušić

Preoperative Ortopantomogram of the teeth planned for extraction

botiss maxresorb®, Jason fleece® and collprotect® membrane for sinus lift and simultaneous implantation - case by Dr. F. Kistler

DVT image demonstrating horizontal and vertical amount of bone available

botiss cerabone® & Jason® membrane for GBR - Clinical case by Dr. S. Kovalevsky

Implant insertion in atrophic alveolar ridge

botiss cerabone® & Jason® membrane for GBR - clinical case by Dr. S. Stavar

Initial clinical situation with broken bridge abutment in regio 12 and tooth 21 not worth preserving

GBR with cerabone® and Jason® membrane in the front tooth region - Dr. H. Maghaireh

Initial clinical situation with gum recession and labial bone loss eight weeks following tooth extraction

Ridge augmentation in the maxilla with maxgraft® bonebuilder in the aesthetic zone - Dr. M. Kristensen

Bone defect in area 11-21 due to two lost implants (periimplantitis) after 15 years of function

botiss maxgraft® bonebuilder for atrophic maxilla reconstruction - Clinical case

Pre-operative clinical situation: severe atrophy of the maxillary bone

Immediate implant placement and regeneration of ridge using an allograft bone ring and Jason® membrane - Drs. Miller and Korn

60-year-old female patient presented with a chronic infection on tooth #11.
Since she has a high lip line matching the gingival margins of the adjacent central incisor and creating a root eminence is extremely important. For these reasons, the treatment of choice was an allograft bone ring enabling immediate placement of the dental implant with simultaneous regeneration of her ridge.

Full bone regeneration in extraction socket augmented with maxgraft® and Jason® membrane – Dr. C. Landsberg

Initial clinical situation: 9 mm pocket depth associated with root fracture

Bone augmentation in the aesthetic zone with maxgraft® bonering – Dr. R. Cutts

Initial presentation of failing post retained crown with previous history of failed apicectomies and amalgam tattooing and scar tissue

Maxillary bone reconstruction in the anterior area with cerabone and Jason membrane - Dr. P.-Y. Gegout & Prof. O. Huck

Pre-operative: loss of interdental papilla between 12 and 11 associated with gingival inflammation and pus

Treatment of a maxillary cyst with cerabone® and Jason® membrane - Dr. D. Mari

Preoperative x-ray, multiple residual cysts of the upper jaw

GBR in aesthetic zone with maxgraft® and Jason® membrane - 5 year follow up - Dr. A. Jones

Clinical situation at baseline: Situation after tooth extraction UR1 due to a failed endodontic treatment 3 months previously

botiss cerabone® & Jason® membrane for GBR - Clinical case by Prof. Dr. Dr. D. Rothamel

Instable bridge situation with abscess formation at tooth #15 after apicoectomy

Restoration of all four incisors with two maxgraft® bonering - Dr. B Giesenhagen

Initial situation pre-op: Central incisors with mobility 3

Sinus Floor Elevation with maxgraft® bonering and subcrestal implantation in an eggshell thin sinus - Dr. K. Chmielewski

Initial situation: X-ray scan reveals eggshell thin sinus floor (1-3 mm) on both sites of the maxilla; green areas indicate the planned maxgraft® bonerings and red areas the planned implants

botiss maxgraft® bonebuilder and vestibuloplasty with mucoderm® for ridge augmentation - Clinical case

Preoperative situation – Maxillary defect in area 14-16 (loss of implant 16 due to periimplantitis, tooth 14 extracted recently and area 15 already edentulous for a while)

Regeneration of a 9 mm vertical bone defect with cerabone®, autologous bone and S-PRF –  Dr. A. Eslava

Initial x-ray showing bone loss around implants placed 5 years ago in another dental clinic

Simultaneous GBR and implantation using maxgraft® granules and autologous bone

Initial situation - endodontically failing tooth 22, very thin biotype, high lip line and esthetic expectations

Reconstruction of Anterior Maxilla with maxgraft® bonebuilder – Dr. B. Han

Loss of teeth in anterior maxilla caused by periodontitis

Augmentation with maxgraft® cortico - Dr. K. Chmielewski

Preparation of a single tooth defect with severely resorbed vestibular wall

botiss cerabone® & Jason® membrane for horizontal augmentation - Clinical case by Dr. M. Steigmann

Three implants placed in a narrow posterior mandible

botiss cerabone® & Jason® membrane for block augmentation with autologous bone blocks - clinical case by Dr. S. Stavar

Initial clinical situation with single tooth gap in regio 21

bone augmentation in the aesthetic zone with maxgraft® bonering -Dr. R. Cutts

Clinical situation: 71-old patient with atrial fibrillation and Warfarin medication

Advanced vertical augmentation in posterior maxilla with maxgraft® bonering - Dr. A. Isser

Initial situation 57-year old female patient. X-ray scan reveals severe bone loss due to inflammation in region 13. Treatment plan was extraction of teeth 13 and 14 and augmentation after healing.

Three-dimensional augmentation with maxgraft® cortico - Dr. R. Würdinger

Model of the initial defect computed from a CBCT scan - buccal view

GBR with Jason membrane® and cerabone® - D. Fontana

Lateral view of the defect in the posterior right maxilla.

Immediate implant placement and correction of horizontal and vertical bone loss using an allograft bone ring, cerabone® and Jason® membrane - Drs. Miller and Korn

The patient presented with pathologic mobility of upper left central incisor. Radiographic examination revealed significant circumferential attachment loss with an unfavorable crown to root ratio.

Block grafting in the aesthetic zone with maxgraft®, Jason® membrane and cerabone® - Dres. H. Maghaireh and V. Ivancheva

Initial situation – Treatment plan: Replace the adhesive upper left central incisor bridge with a dental implant

Ridge augmentation in the mandible with maxgraft® bonebuilder– Dr. R. Morger

Initial clinical situation: Free end situation in quadrant three and four

Treatment of vertical bone loss by using cerabone®, autologous bone and Jason® membrane - Prof. Rafael Ortega Lopes

The patient presented with severe pain in the lateral incisor and a deficient adhesive provisional. Bruxism resulted in canine loss and premature contact in the lateral incisor.

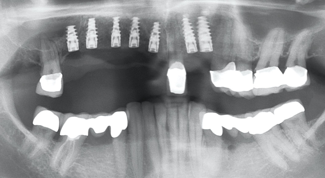
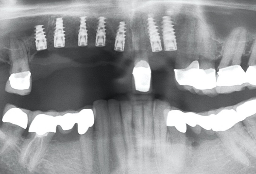
Full maxillary reconstruction with maxgraft® bonebuilder - Dr. C. Hilscher

Initial x-ray, ten years post implantationem alio loco, large peri-implant bone loss