-
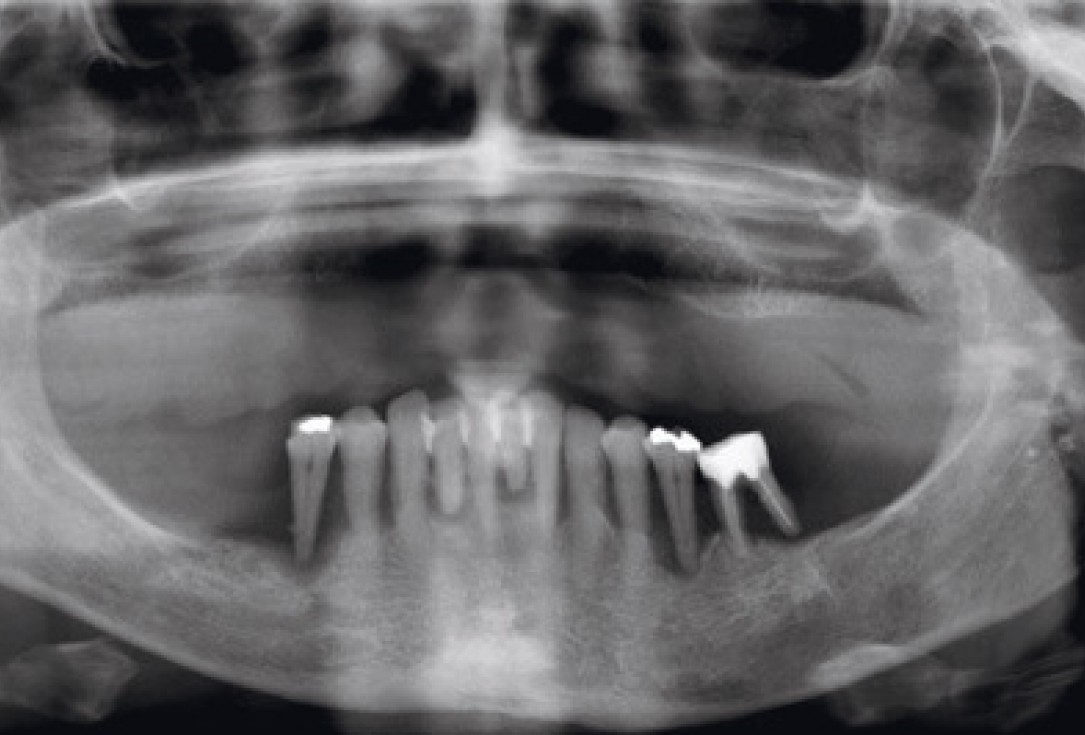
01/11 - Pre-operative OPG of the patient
Sinus lift with maxresorb® inject - Dr. E. Valdimarsson
-
02/11 - View of the maxilla after elevating the flap
Sinus lift with maxresorb® inject - Dr. E. Valdimarsson
-
03/11 - Preparation of the implant osteotomy after elevating the Schneiderian membran through lateral window
Sinus lift with maxresorb® inject - Dr. E. Valdimarsson
-
04/11 - Application of maxresorb® inject into the sinus cavity through the lateral window
Sinus lift with maxresorb® inject - Dr. E. Valdimarsson
-
05/11 - Implant placement into the augmented sinus
Sinus lift with maxresorb® inject - Dr. E. Valdimarsson
-
06/11 - Implants placed in the maxillary front
Sinus lift with maxresorb® inject - Dr. E. Valdimarsson
-
07/11 - Preparation the osteotomy at the other side using an instrument to protect the Schneiderian membrane while drilling
Sinus lift with maxresorb® inject - Dr. E. Valdimarsson
-
08/11 - Flap preparation in the mandible
Sinus lift with maxresorb® inject - Dr. E. Valdimarsson
-
09/11 - Implants placed in the mandible
Sinus lift with maxresorb® inject - Dr. E. Valdimarsson
-
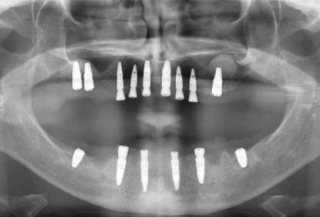
10/11 - The final OPG of the case after sinus lift and implantation
Sinus lift with maxresorb® inject - Dr. E. Valdimarsson
-
11/11 - OPG control one year after sinus lift and implantation
Sinus lift with maxresorb® inject - Dr. E. Valdimarsson