Multiple gingival recessions treated with the modified coronally advanced tunnel in conjunction with mucoderm® and Straumann® Emdogain® - Dr. F. Rathe (1)

cerabone® and mucoderm® for immediacy in esthetic zone -Dr. M Motta

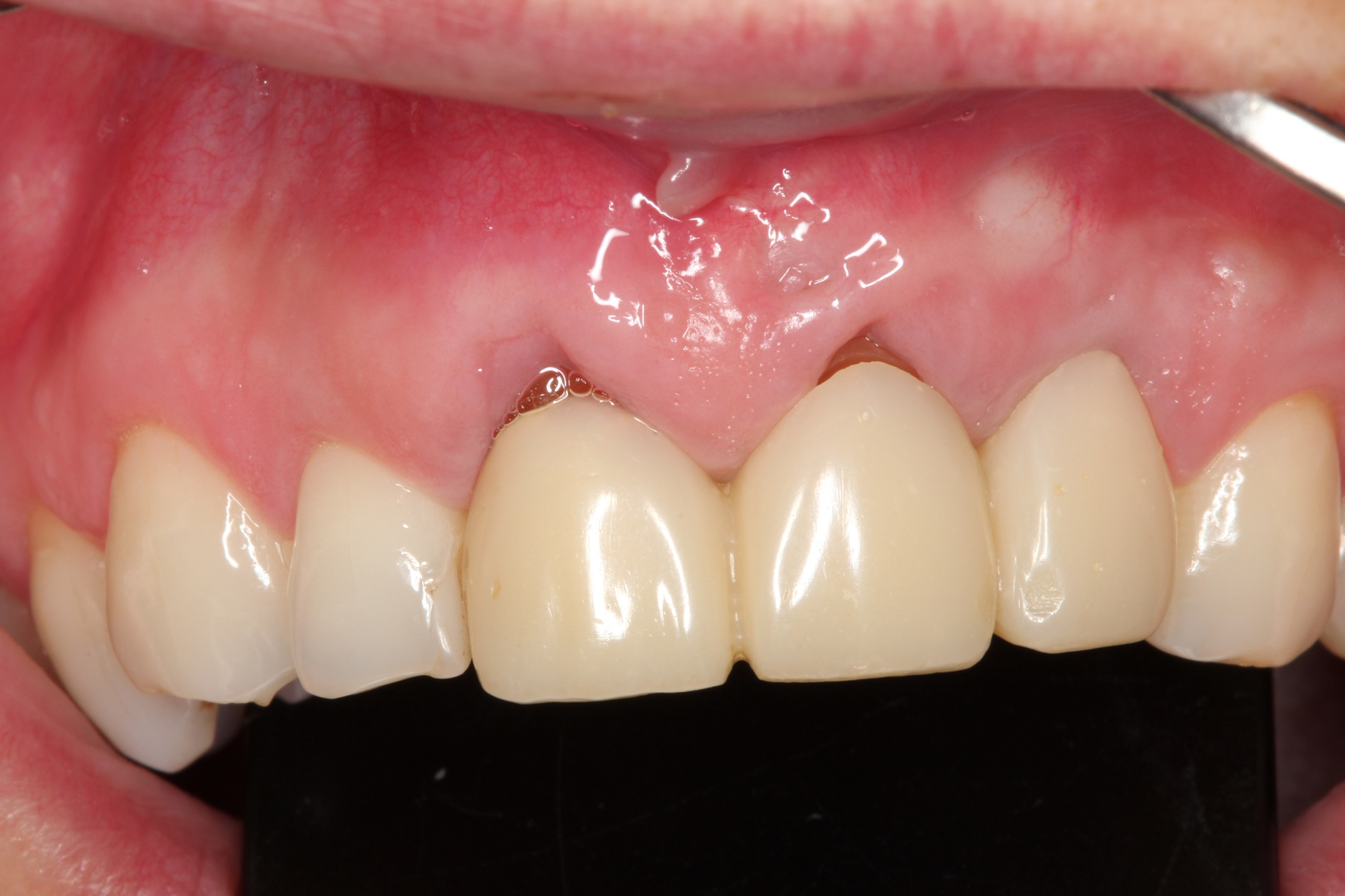
Initial view of the case. Discoloration of 1.1 and mild class I gingival recession

botiss mucoderm® for treatment of single gingival recession - Clinical case

Initial clinical situation with Miller class 1 recession

Ridge augmentation in the maxilla with maxgraft® bonebuilder in the aesthetic zone - Dr. M. Kristensen

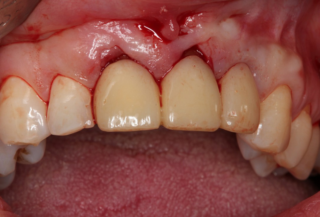
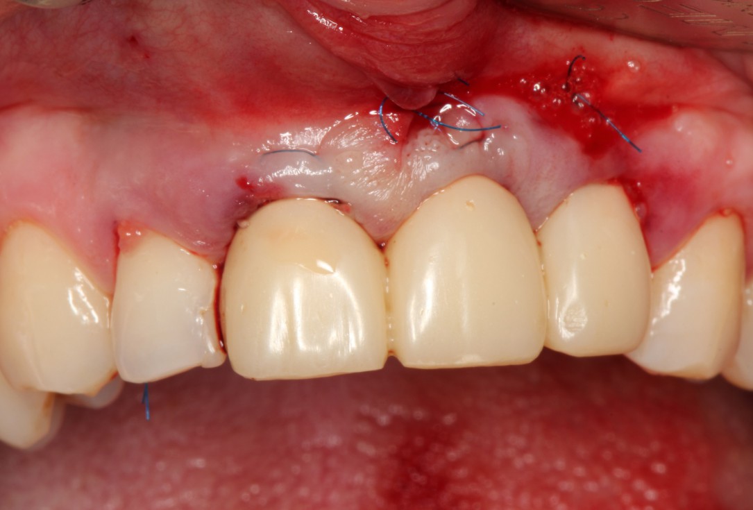
Bone defect in area 11-21 due to two lost implants (periimplantitis) after 15 years of function

Socket seal with mucoderm® punch

Intact socket following atraumatic tooth extraction

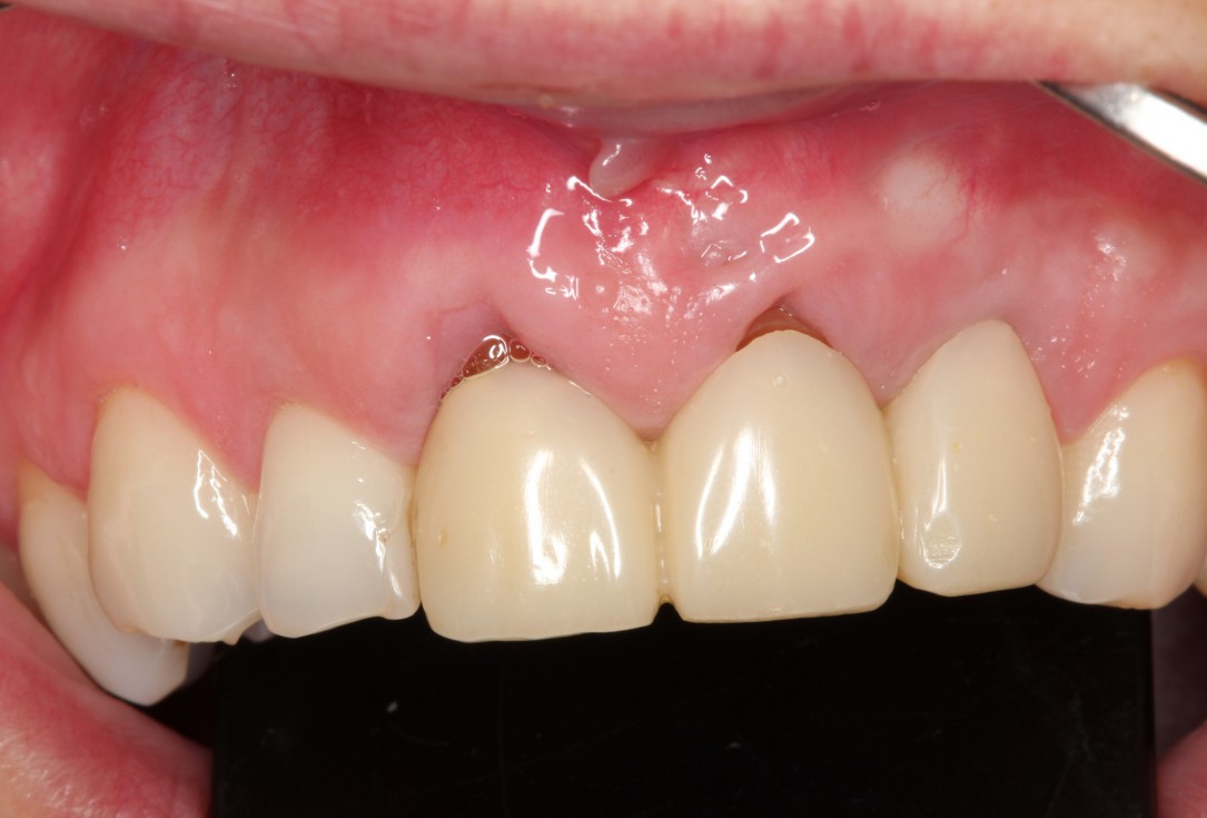
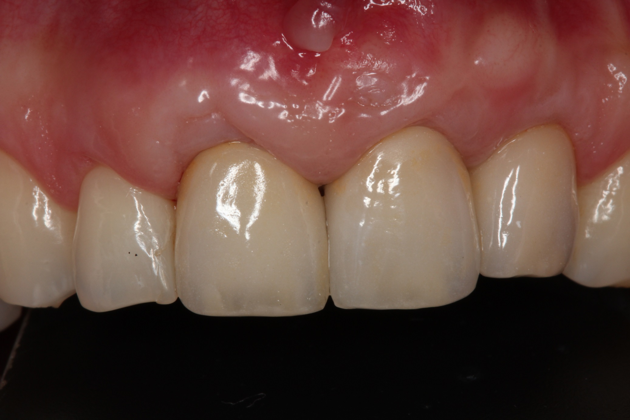
Mucosal thickening around bone level implants - Dr. A. Puisys

Full-thickness flap preparation bucally and lingually

GBR and soft tissue augmentation with cerabone® and mucoderm® - H. Maghaireh & V. Ivancheva

Initial situation: missing teeth #11 & 12 and badly broken #21 root

Tooth extraction and socket sealing with mucoderm® - Dr. A. Rossi

Initial clinical situation showing strongly compromised tooth 21

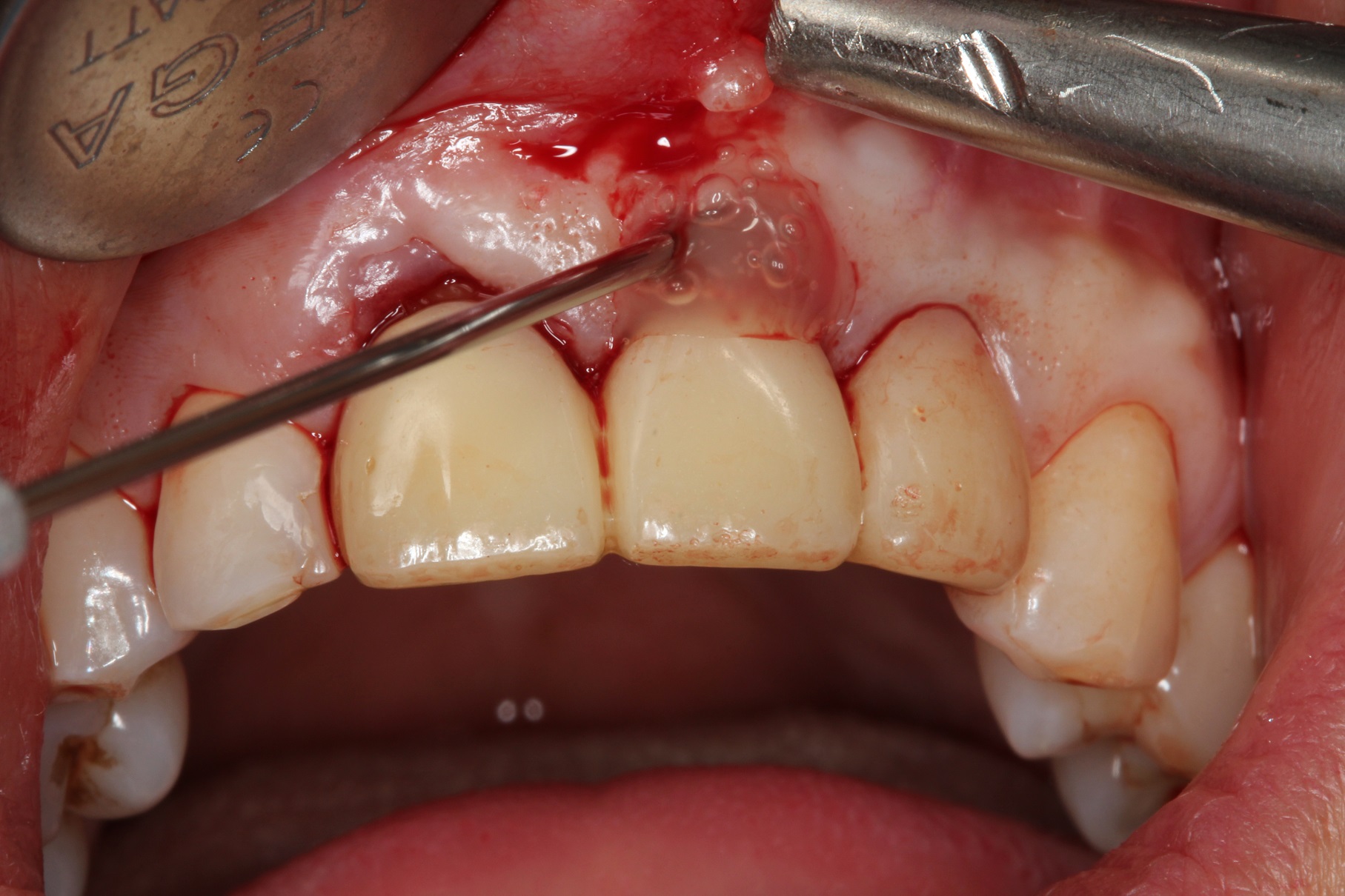
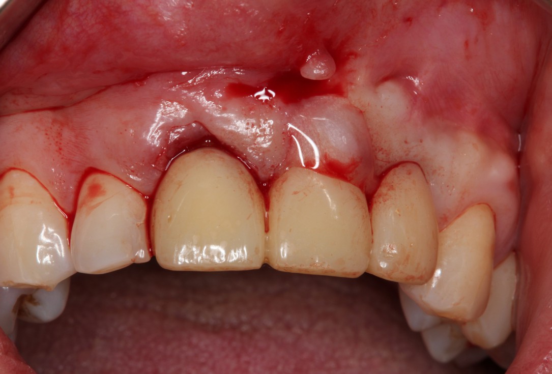
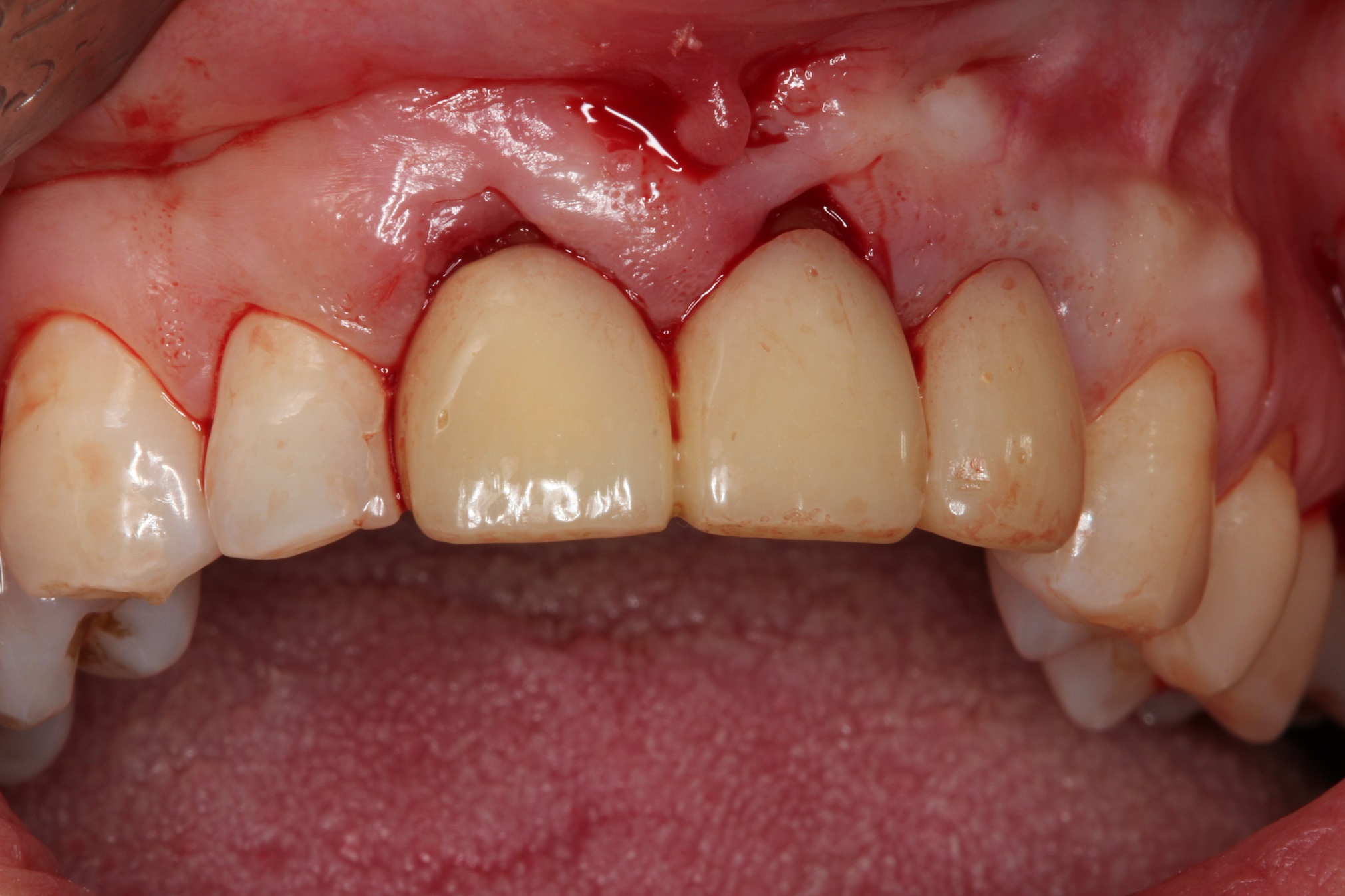
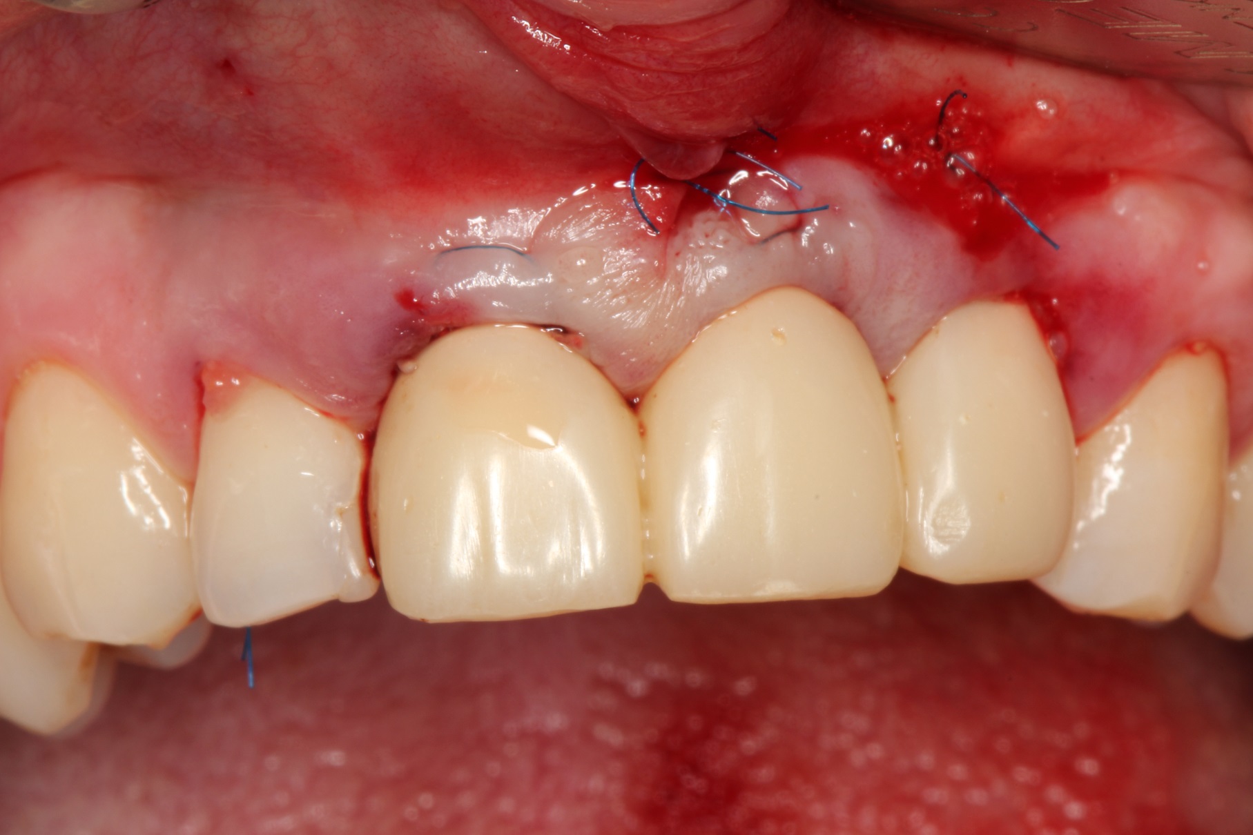
Augmentation of a traumatic soft tissue defect-Rathe

Initial clinical situation with traumatic loss of tooth 21

GBR together with soft tissue augmentation with mucoderm® and maxresorb® - Scherg

Longitudinal fracture on the root resected tooth 21 with visible buccal fistula

Post extraction socket sealing with mucoderm® - Dr. M. Frosecchi

X-ray showing endodontic failure of the molar