Soft tissue thickening at immediate implant placement and GBR with mucoderm® and maxgraft® - Dr. A. Puisys
-
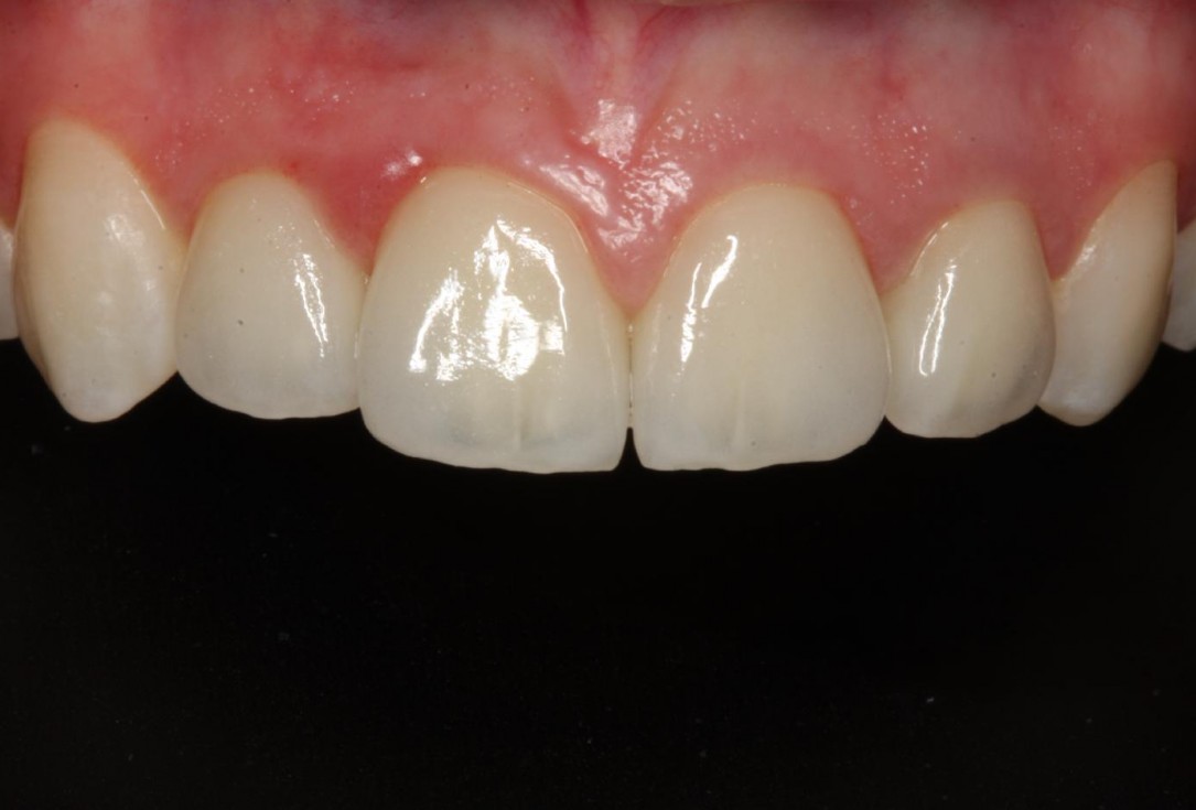
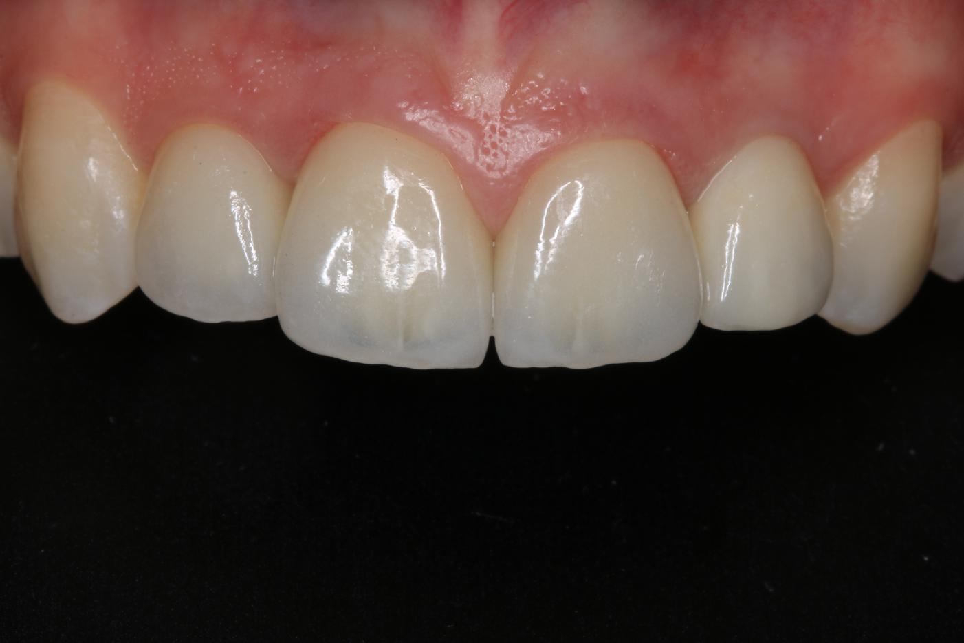
1/12 - Initial clinical situationSoft tissue thickening at immediate implant placement and GBR with mucoderm® and maxgraft® - Dr. A. Puisys
-
2/12 - Atraumatic tooth extractionSoft tissue thickening at immediate implant placement and GBR with mucoderm® and maxgraft® - Dr. A. Puisys
-
3/12 - Intact socketSoft tissue thickening at immediate implant placement and GBR with mucoderm® and maxgraft® - Dr. A. Puisys
-
4/12 - Rehydration of mucoderm® and cut to size and shapeSoft tissue thickening at immediate implant placement and GBR with mucoderm® and maxgraft® - Dr. A. Puisys
-
5/12 - Covering of immediate placed implant and augmentation with maxgraft® granulesSoft tissue thickening at immediate implant placement and GBR with mucoderm® and maxgraft® - Dr. A. Puisys
-
6/12 - Horizontal and vertical soft tissue augmentation with mucoderm®Soft tissue thickening at immediate implant placement and GBR with mucoderm® and maxgraft® - Dr. A. Puisys
-
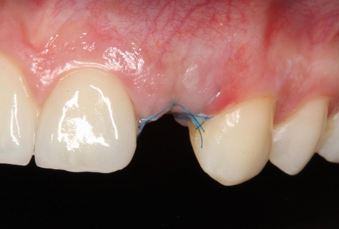
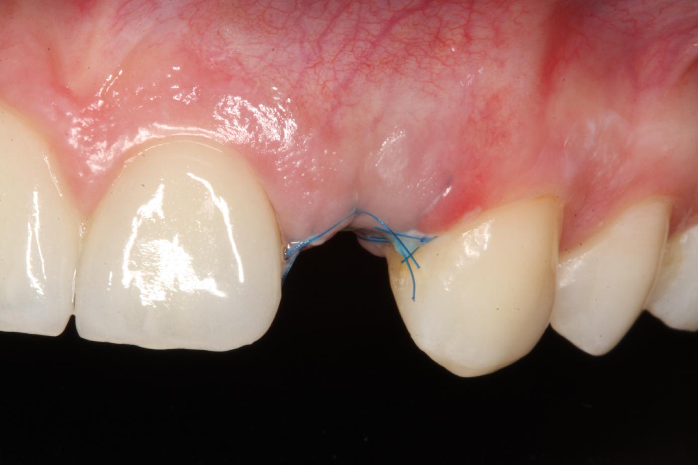
7/12 - Tension-free wound closure, occlusal viewSoft tissue thickening at immediate implant placement and GBR with mucoderm® and maxgraft® - Dr. A. Puisys
-
8/12 - Post-operative healing at 2 weeksSoft tissue thickening at immediate implant placement and GBR with mucoderm® and maxgraft® - Dr. A. Puisys
-
9/12 - Soft tissue at 12 weeks, lateral viewSoft tissue thickening at immediate implant placement and GBR with mucoderm® and maxgraft® - Dr. A. Puisys
-
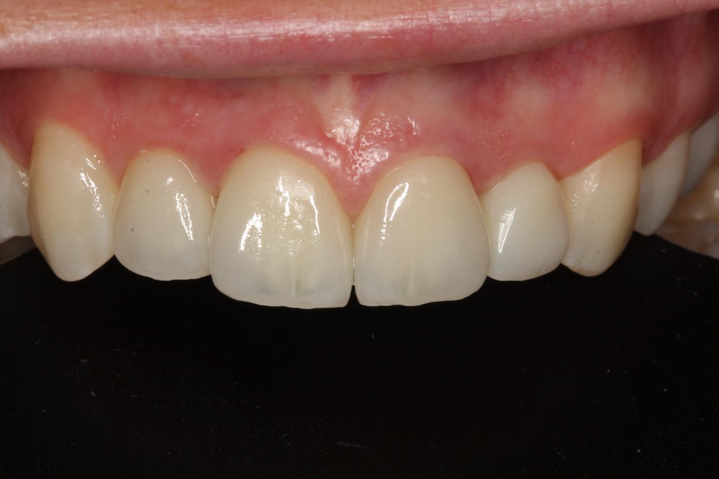
10/12 - Clinical outcome with prosthetics 6 months post-operativeSoft tissue thickening at immediate implant placement and GBR with mucoderm® and maxgraft® - Dr. A. Puisys
-
11/12 - X-ray control after 18 monthsSoft tissue thickening at immediate implant placement and GBR with mucoderm® and maxgraft® - Dr. A. Puisys
-
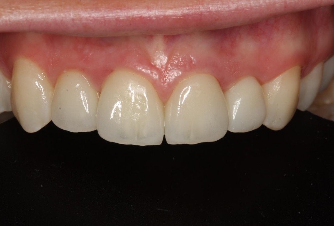
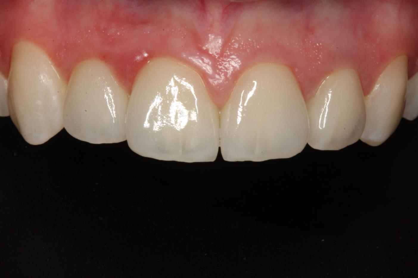
12/12 - Final outcome 18 months post-operativeSoft tissue thickening at immediate implant placement and GBR with mucoderm® and maxgraft® - Dr. A. Puisys
Initial view of the case. Discoloration of 1.1 and mild class I gingival recession
Initial clinical situation with Miller class 1 recession
Initial clinical situation
Initial clinical situation showing strongly compromised tooth 21
Pre-surgical clinical situation. Deep gingival recessions at both upper canine.
Pre-surgical situation. Multiple adjacent gingival recessions at teeth 12, 13 and 14.
Multiple adjacent gingival recessions.
X-ray shows a 3-dimensional periondontal defect
Initial clinical situation with lack of keratinized tissue
Bone defect in area 11-21 due to two lost implants (periimplantitis) after 15 years of function
Intact socket following atraumatic tooth extraction
Full-thickness flap preparation bucally and lingually
Initial situation: missing teeth #11 & 12 and badly broken #21 root
Drilling template for guided implant placement
Alveolar socket before soft and hard tissue augmentation
Clinical situation before surgery
Initial clinical situation
Initial clinical situation with traumatic loss of tooth 21
Longitudinal fracture on the root resected tooth 21 with visible buccal fistula
X-ray showing endodontic failure of the molar
X-ray of initial clinical situation
Initial clinical situation
Pre-operative clinical situation. Gingival recessions at teeth 11 and 21.
Gingival recession at tooth 13. Free gingival graft (FGG) of a previous surgery for root coverage visible.
recession on tooth 11
Insufficient keratinized mucosa and extremely shallow vestibule on the maxilla
Initial clinical situation
Tooth extraction due to root fracture











