Full maxillary reconstruction with maxgraft® bonebuilder - Dr. C. Hilscher

Reconstruction of Anterior Maxilla with maxgraft® bonebuilder – Dr. B. Han

Loss of teeth in anterior maxilla caused by periodontitis

botiss maxgraft® bonebuilder and vestibuloplasty with mucoderm® for ridge augmentation - Clinical case

Preoperative situation – Maxillary defect in area 14-16 (loss of implant 16 due to periimplantitis, tooth 14 extracted recently and area 15 already edentulous for a while)

botiss maxgraft® bonebuilder aesthetic reconstruction - Clinical case

Pre-operative clinical situation: changed color in the gingiva in the front maxilla

Smile rehabilitation in the anterior maxilla with maxgraft® bonebuilder - Dres. Dagba and Mourlaas

Smile frontal view: the smile is unharmonious due to the missing teeth

Ridge augmentation in a single tooth defect with maxgraft® bonebuilder following socket preservation with collacone® and mucoderm®– Dres. Back & Blume

Left maxillary incisior with failing endodontic treatment despite apicoectomy which was done 15 years prior

Socket preservation with permamem® - Dr. R. Rannula

Situation after tooth extraction.

Ridge augmentation in a single tooth defect with maxgraft® bonebuilder following socket preservation with collacone® and mucoderm®– Dres. Back & Blume

Left maxillary incisior with failing endodontic treatment despite apicoectomy which was done 15 years prior

Ridge augmentation in the maxilla with maxgraft® bonebuilder in the aesthetic zone - Dr. M. Kristensen

Bone defect in area 11-21 due to two lost implants (periimplantitis) after 15 years of function

Ridge augmentation with maxgraft® bonebuilder and sinus floor elevation – Dr. K.P. Schiechl

Initial clinical situation: Bone defect in the upper right maxilla (teeth #14-16)

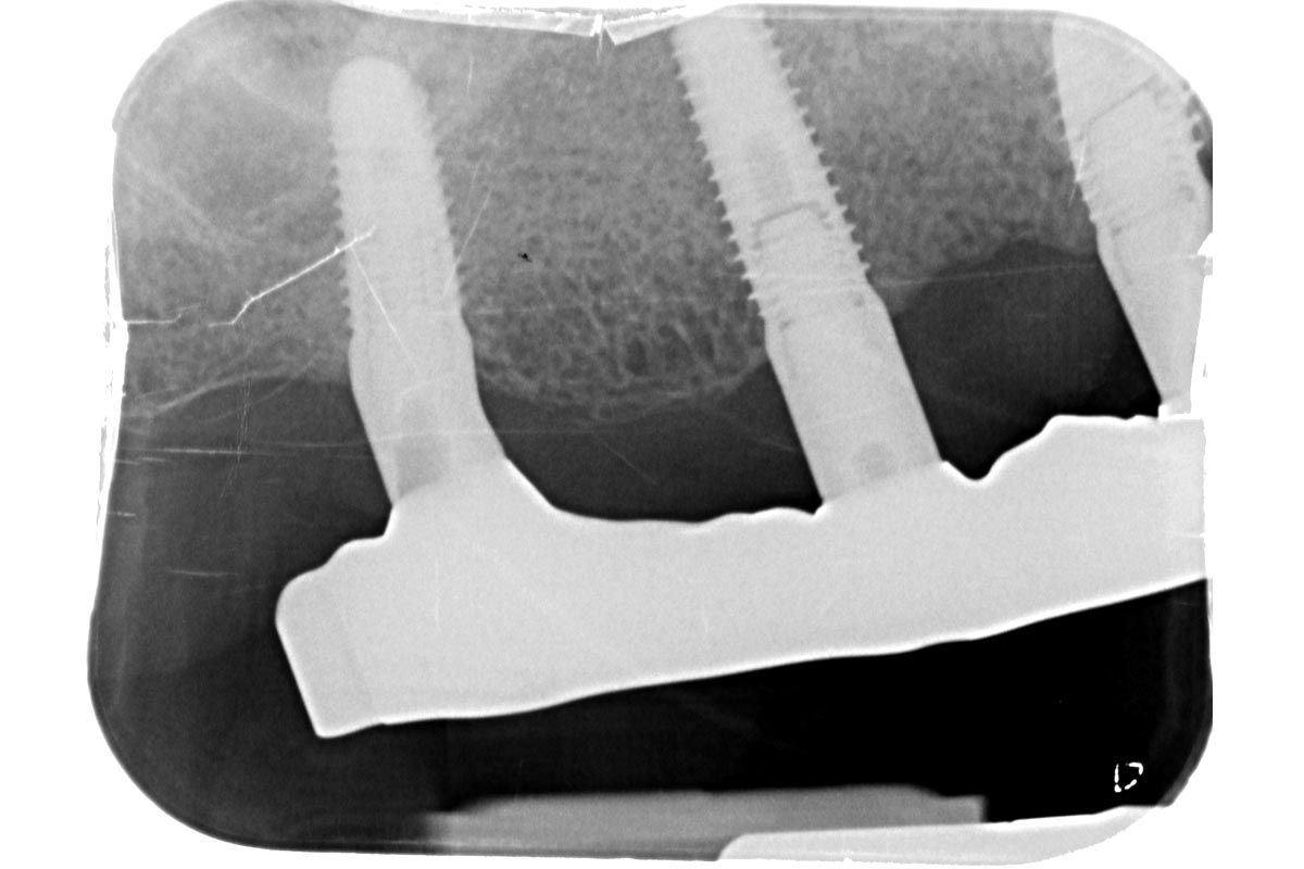
Ridge augmentation in the mandible with maxgraft® bonebuilder– Dr. R. Morger

Initial clinical situation: Free end situation in quadrant three and four

Socket preservation with permamem® - Dr. M. Turco

Situation before tooth extraction.

Regeneration of a 9 mm vertical bone defect with cerabone®, autologous bone and S-PRF –  Dr. A. Eslava

Initial x-ray showing bone loss around implants placed 5 years ago in another dental clinic