-
01/12 - Virtual planning of the block
Ridge augmentation with maxgraft® bonebuilder - Dr. M. Jacotti
-
02/12 - Customized bone block maxgraft® bonebuilder
Ridge augmentation with maxgraft® bonebuilder - Dr. M. Jacotti
-
03/12 - Situation after mucosal flap preparation and perforation of the cortical layer
Ridge augmentation with maxgraft® bonebuilder - Dr. M. Jacotti
-
04/12 - Exact positioning of the maxgraft® bonebuilder block
Ridge augmentation with maxgraft® bonebuilder - Dr. M. Jacotti
-
05/12 - Fixation of the block with osteosynthesis screws
Ridge augmentation with maxgraft® bonebuilder - Dr. M. Jacotti
-
06/12 - Tension-free wound closure
Ridge augmentation with maxgraft® bonebuilder - Dr. M. Jacotti
-
07/12 - Clinical situation at re-entry 5 months post-op
Ridge augmentation with maxgraft® bonebuilder - Dr. M. Jacotti
-
08/12 - Full bony ingrowth of the block
Ridge augmentation with maxgraft® bonebuilder - Dr. M. Jacotti
-
09/12 - 3D implant positioning
Ridge augmentation with maxgraft® bonebuilder - Dr. M. Jacotti
-
10/12 - Implant placement in stable bone situation
Ridge augmentation with maxgraft® bonebuilder - Dr. M. Jacotti
-
11/12 - Abutment placement after integration of the implants
Ridge augmentation with maxgraft® bonebuilder - Dr. M. Jacotti
-
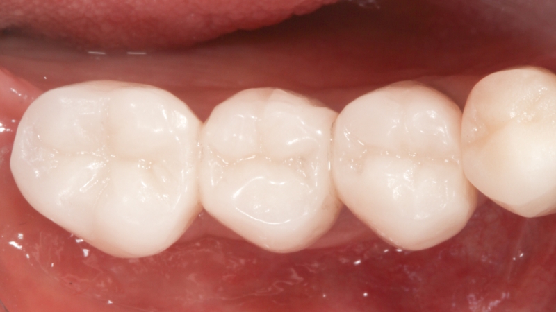
12/12 - Final prosthesis
Ridge augmentation with maxgraft® bonebuilder - Dr. M. Jacotti