-
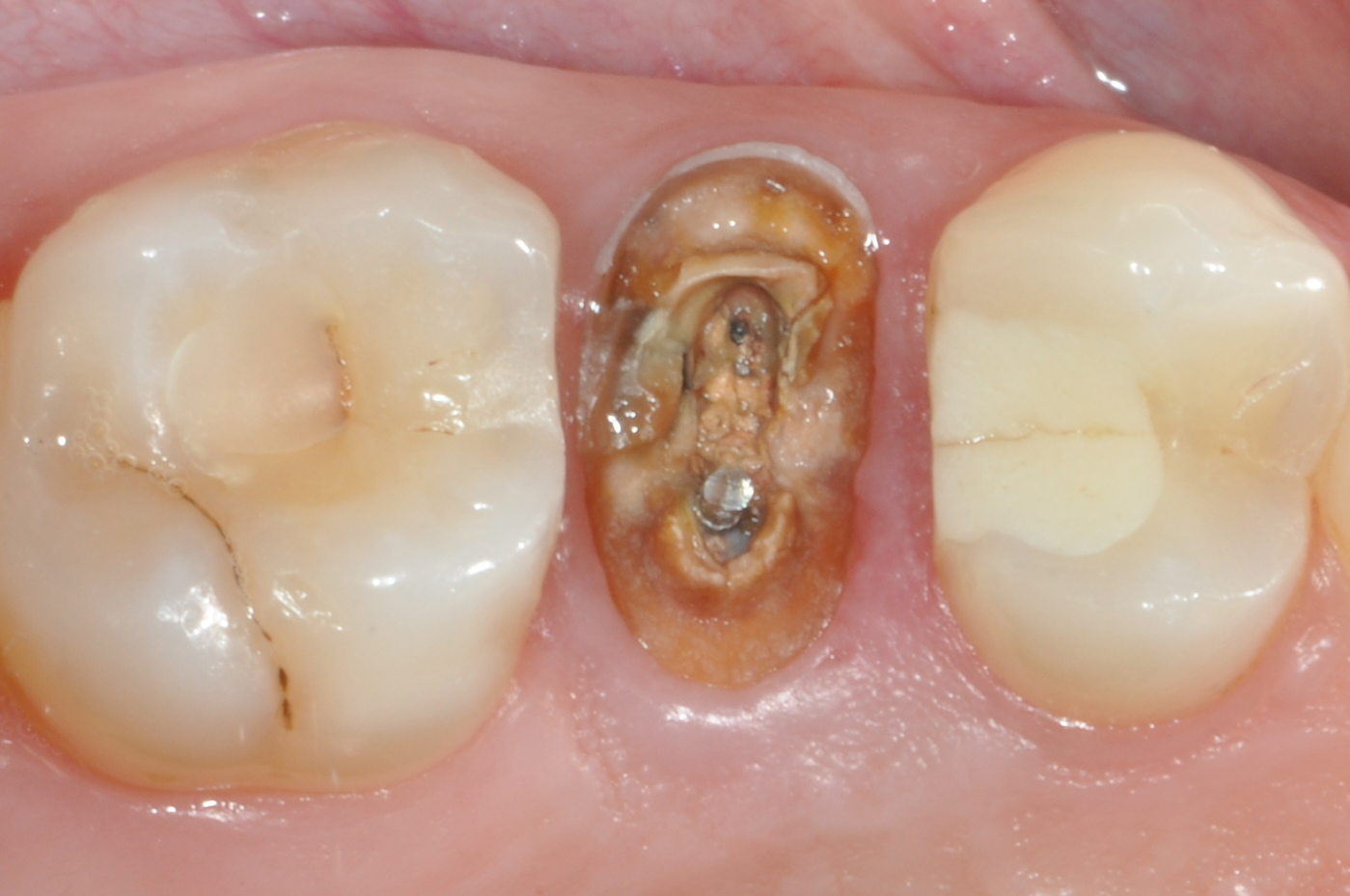
01/09 - Tooth 13 planned for extraction
Filling of extraction socket with collacone® - Dr. F. Rojas-Vizcaya
-
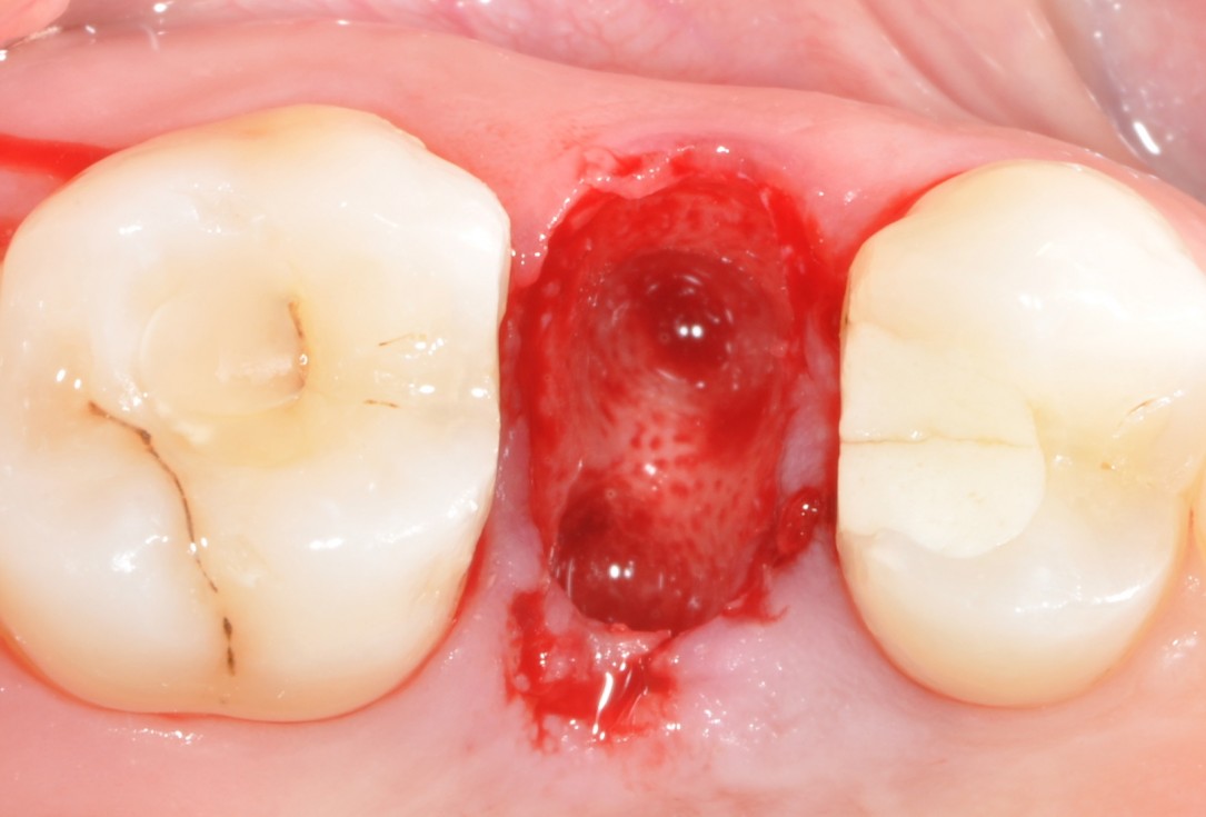
02/09 - Extraction of tooth 13
Filling of extraction socket with collacone® - Dr. F. Rojas-Vizcaya
-
03/09 - Filling of extraction socket with collacone®
Filling of extraction socket with collacone® - Dr. F. Rojas-Vizcaya
-
04/09 - Fixation of collacone® by cross suture
Filling of extraction socket with collacone® - Dr. F. Rojas-Vizcaya
-
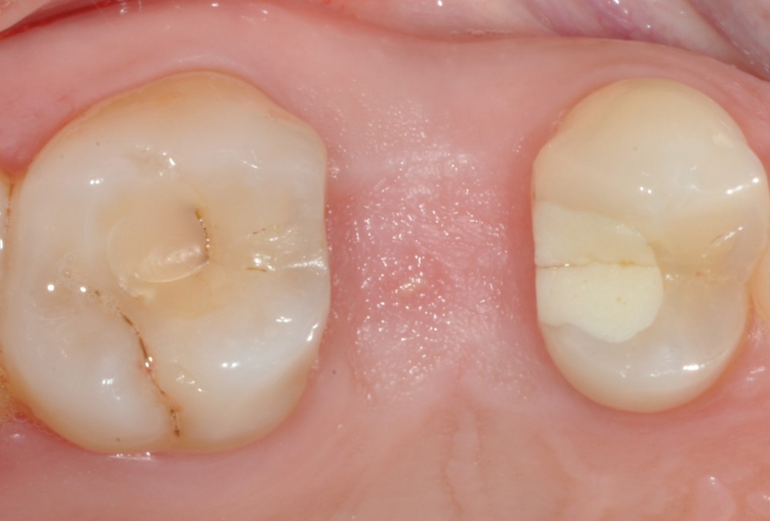
05/09 - Situation after 8 weeks healing period
Filling of extraction socket with collacone® - Dr. F. Rojas-Vizcaya
-
06/09 - Good bony regeneration after 3 months
Filling of extraction socket with collacone® - Dr. F. Rojas-Vizcaya
-
07/09 - Implantation 3 months after extraction
Filling of extraction socket with collacone® - Dr. F. Rojas-Vizcaya
-
08/09 - Screwing of healing cap and suturing
Filling of extraction socket with collacone® - Dr. F. Rojas-Vizcaya
-
09/09 - Clinical situation 2 months later
Filling of extraction socket with collacone® - Dr. F. Rojas-Vizcaya