Socket preservation with collacone® - Dr. K. Chmielewski

Ridge augmentation with maxgraft® bonebuilder and sinus floor elevation – Dr. K.P. Schiechl

Initial clinical situation: Bone defect in the upper right maxilla (teeth #14-16)

Full maxillary reconstruction with maxgraft® bonebuilder - Dr. C. Hilscher

Initial x-ray, ten years post implantationem alio loco, large peri-implant bone loss

Socket preservation with permamem® - Dr. R. Rannula

Situation after tooth extraction.

Ridge augmentation in a single tooth defect with maxgraft® bonebuilder following socket preservation with collacone® and mucoderm®– Dres. Back & Blume

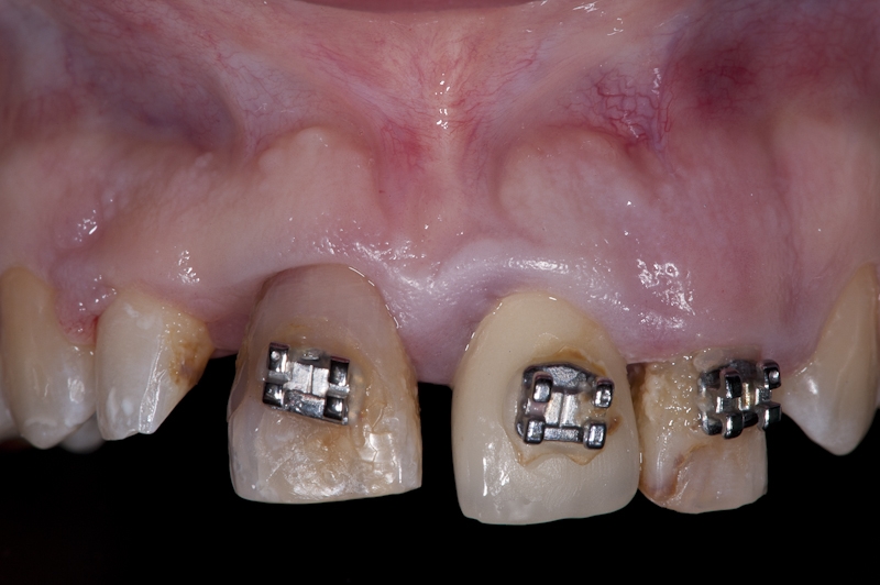
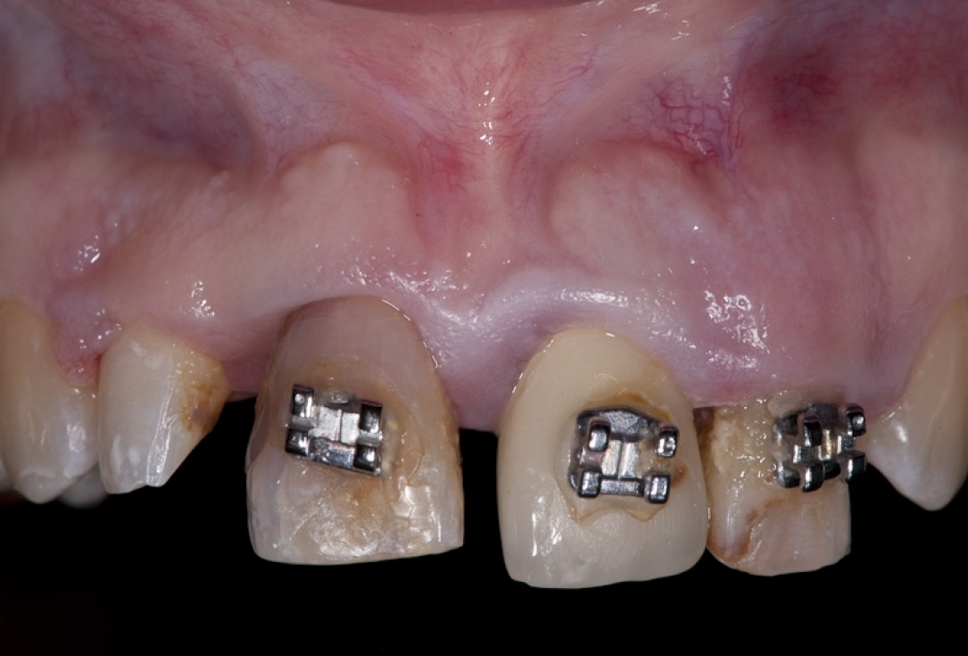
Left maxillary incisior with failing endodontic treatment despite apicoectomy which was done 15 years prior