-
01/18 - Initial CBCT scan - Fracture of left maxillary incisor and loss of buccal wall
Block augmentation with maxgraft® and cerabone® – PD Dr. Dr. F. Kloss
-
02/18 - Clinical situation after tooth extraction
Block augmentation with maxgraft® and cerabone® – PD Dr. Dr. F. Kloss
-
03/18 - Clinical situation after tooth extraction - occlusal view
Block augmentation with maxgraft® and cerabone® – PD Dr. Dr. F. Kloss
-
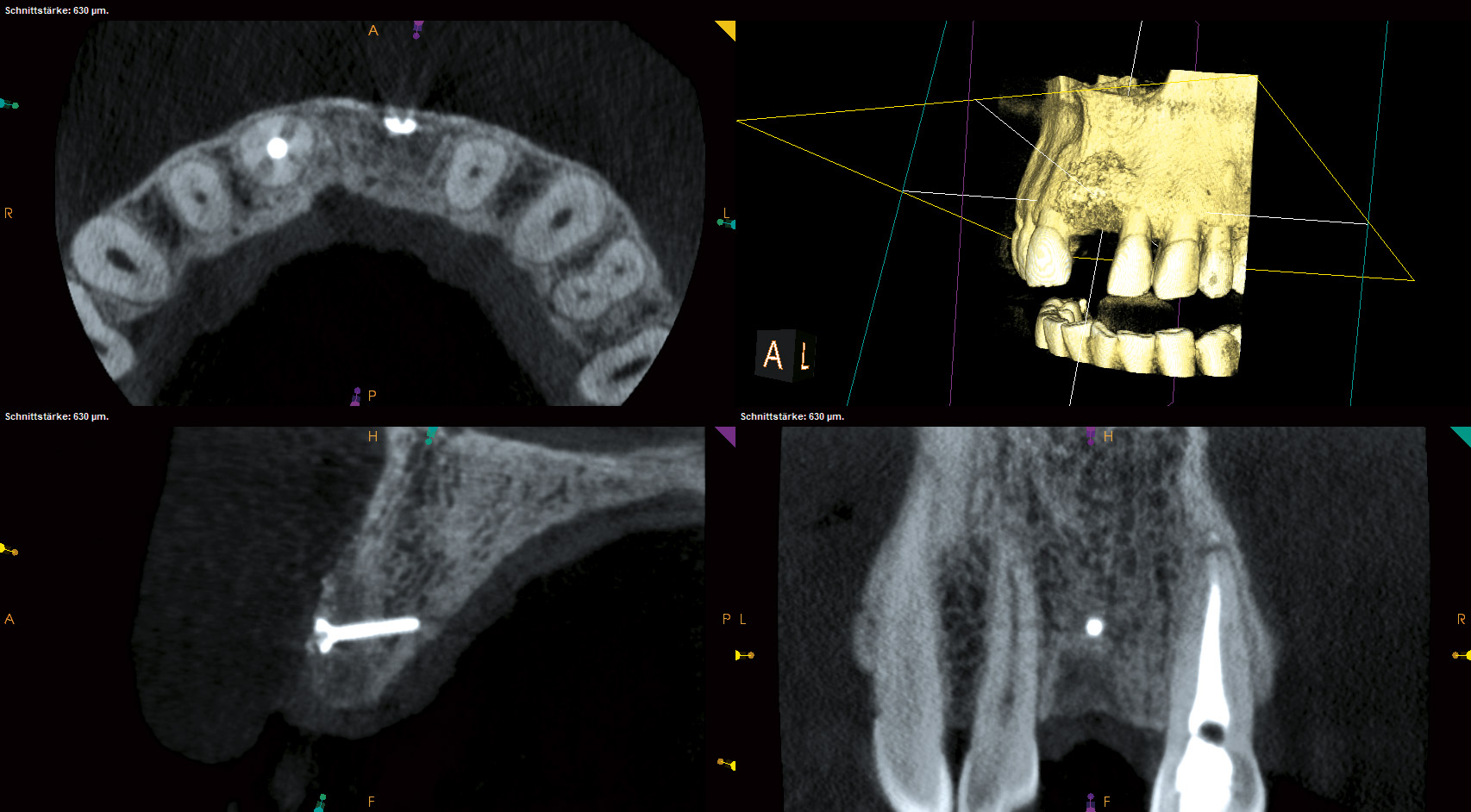
04/18 - CBCT scan after tooth extraction
Block augmentation with maxgraft® and cerabone® – PD Dr. Dr. F. Kloss
-
05/18 - X-ray after tooth extraction
Block augmentation with maxgraft® and cerabone® – PD Dr. Dr. F. Kloss
-
06/18 - Extensive bone defect
Block augmentation with maxgraft® and cerabone® – PD Dr. Dr. F. Kloss
-
07/18 - Onlay block grafting with maxgraft® block and covering with barrier membrane
Block augmentation with maxgraft® and cerabone® – PD Dr. Dr. F. Kloss
-
08/18 - Control X-ray after augmentation
Block augmentation with maxgraft® and cerabone® – PD Dr. Dr. F. Kloss
-
09/18 - CBCT scan after augmentation
Block augmentation with maxgraft® and cerabone® – PD Dr. Dr. F. Kloss
-
10/18 - CBCT scan after 5 months
Block augmentation with maxgraft® and cerabone® – PD Dr. Dr. F. Kloss
-
11/18 - Reentry 6 months after augmentation - Relining with cerabone®
Block augmentation with maxgraft® and cerabone® – PD Dr. Dr. F. Kloss
-
12/18 - Reentry 6 months after augmentation – gain of horizontal width for implantation
Block augmentation with maxgraft® and cerabone® – PD Dr. Dr. F. Kloss
-
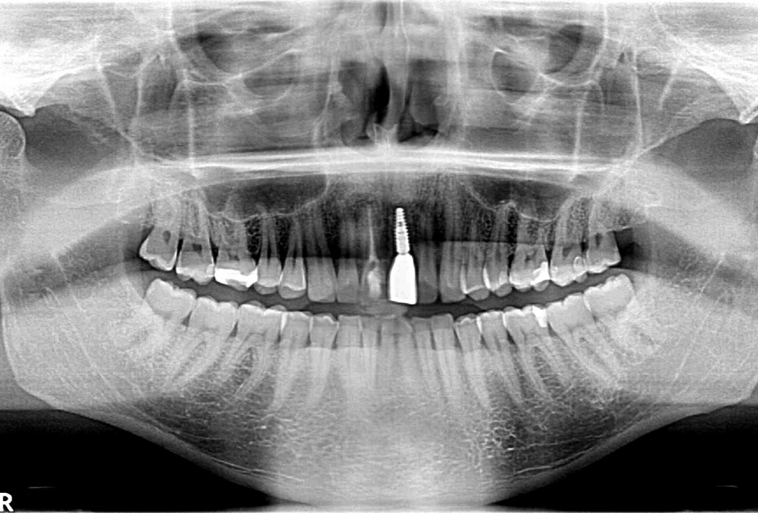
13/18 - Control X-ray after implantation
Block augmentation with maxgraft® and cerabone® – PD Dr. Dr. F. Kloss
-
14/18 - CBCT scan after implantation
Block augmentation with maxgraft® and cerabone® – PD Dr. Dr. F. Kloss
-
15/18 - Control X-ray after uncovering the implant 3 months after implantation
Block augmentation with maxgraft® and cerabone® – PD Dr. Dr. F. Kloss
-
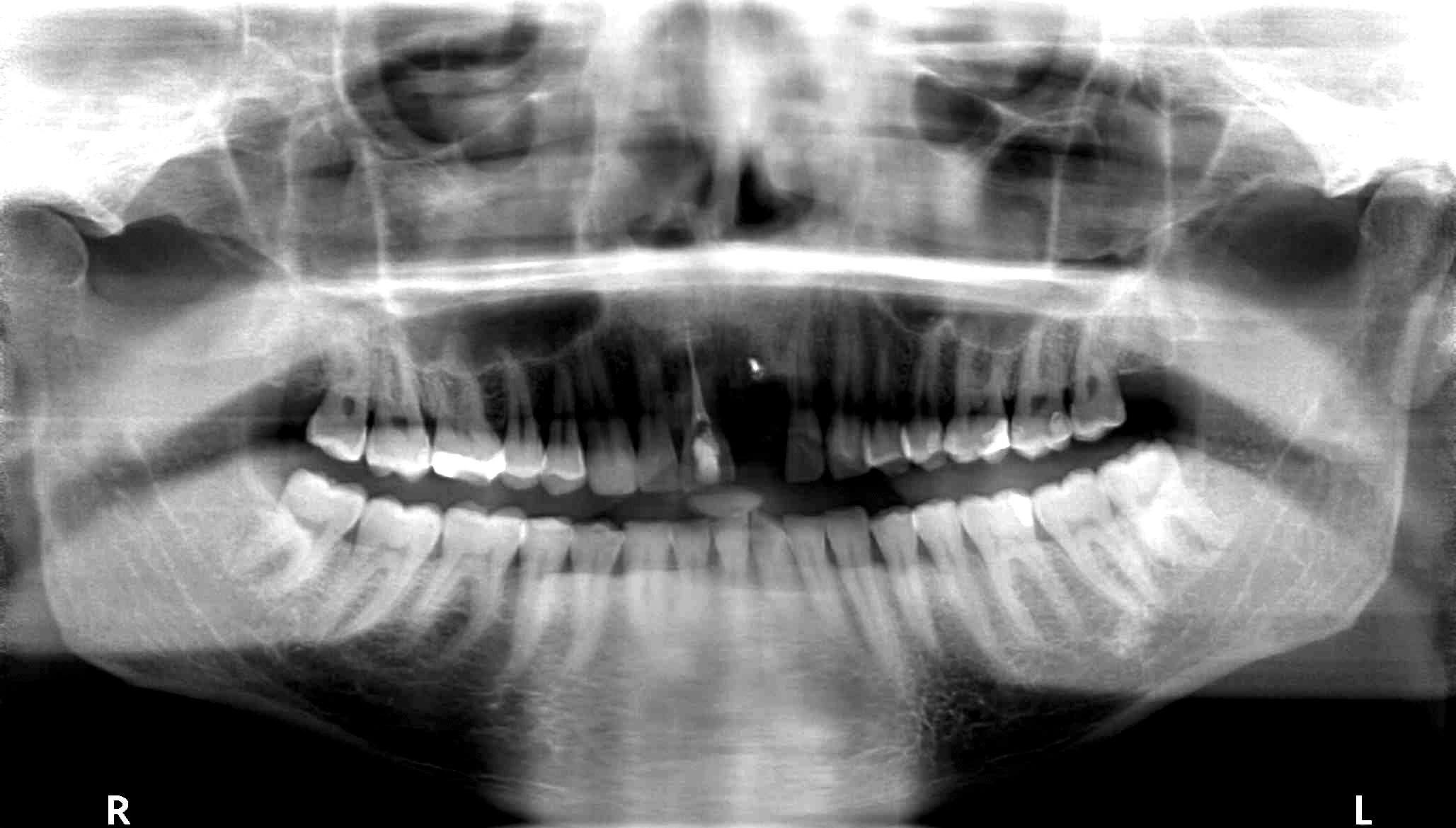
16/18 - Final X-ray
Block augmentation with maxgraft® and cerabone® – PD Dr. Dr. F. Kloss
-
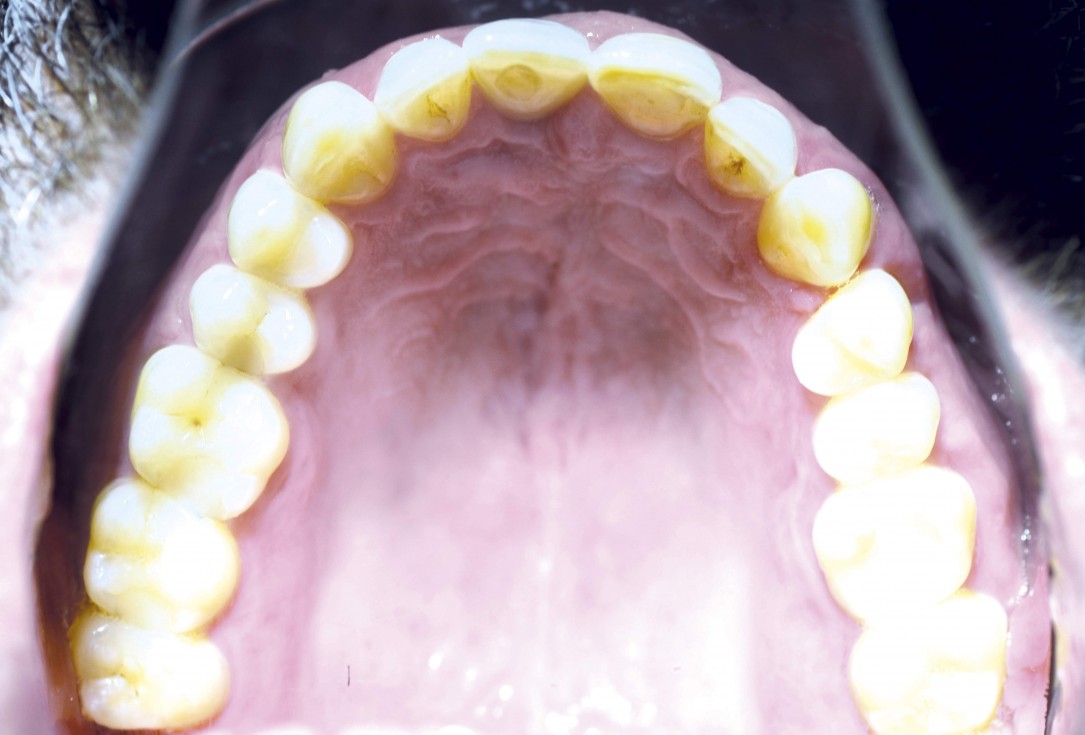
17/18 - Prosthetics 1 year after uncovering the implant – occlusal view
Block augmentation with maxgraft® and cerabone® – PD Dr. Dr. F. Kloss
-
18/18 - Prosthetics 1 year after uncovering the implant
Block augmentation with maxgraft® and cerabone® – PD Dr. Dr. F. Kloss