Non-contained intrabony defect treated with the simplified papilla preservation flap in conjunction with Straumann® Emdogain® and a particulate bone grafting material - Prof. Dr. Dr. A. Kasaj
-
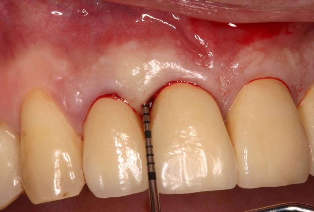
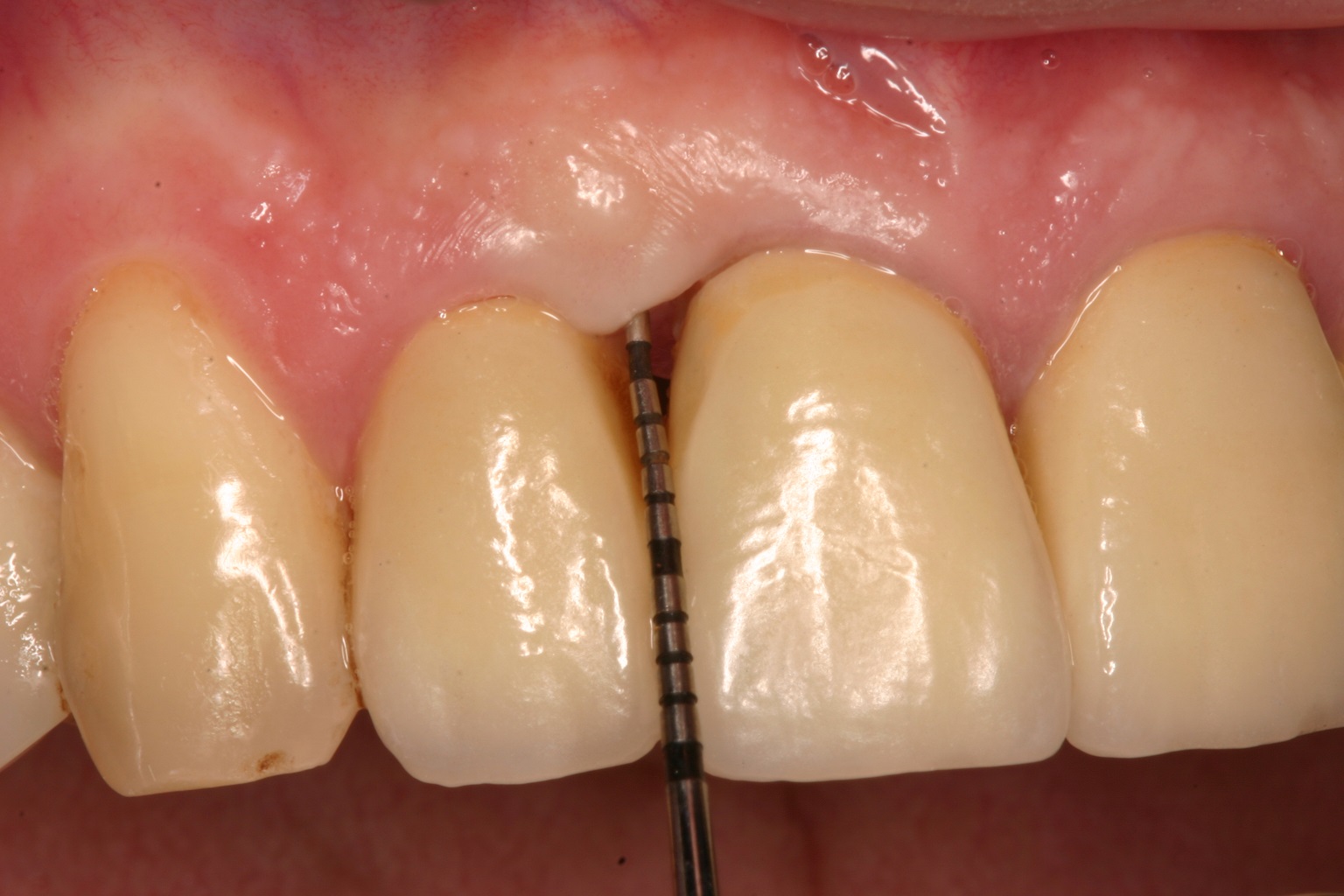
01/08 - Pre-operative probing pocket depth (PPD) at the distal aspect of tooth 11 was 7 mm.Non-contained intrabony defect treated with the simplified papilla preservation flap in conjunction with Straumann® Emdogain® and a particulate bone grafting material - Prof. Dr. Dr. A. Kasaj
-
02/08 - Pre-operative radiograph of the defect reveals a deep intrabony defect on tooth 11.Non-contained intrabony defect treated with the simplified papilla preservation flap in conjunction with Straumann® Emdogain® and a particulate bone grafting material - Prof. Dr. Dr. A. Kasaj
-
03/08 - Minimal buccal flap reflection according to simplified papilla preservation flap technique (Cortellini et al. Int J Periodontics Restorative Dent. 1999). The intra-operative view shows a deep intrabony defect distal on tooth 11.Non-contained intrabony defect treated with the simplified papilla preservation flap in conjunction with Straumann® Emdogain® and a particulate bone grafting material - Prof. Dr. Dr. A. Kasaj
-
04/08 - Flap elevation on the palatal aspect.Non-contained intrabony defect treated with the simplified papilla preservation flap in conjunction with Straumann® Emdogain® and a particulate bone grafting material - Prof. Dr. Dr. A. Kasaj
-
05/08 - A combination of Straumann® Emdogain® and a particulate bovine bone grafting material is applied to the defect.Non-contained intrabony defect treated with the simplified papilla preservation flap in conjunction with Straumann® Emdogain® and a particulate bone grafting material - Prof. Dr. Dr. A. Kasaj
-
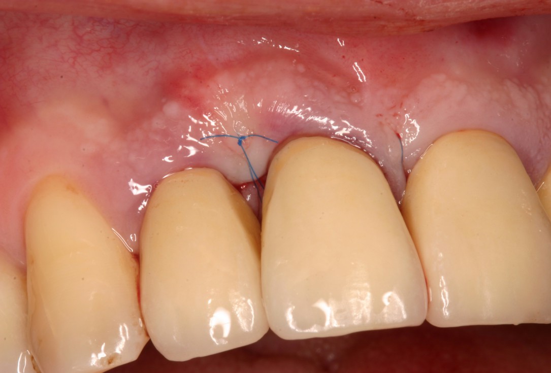
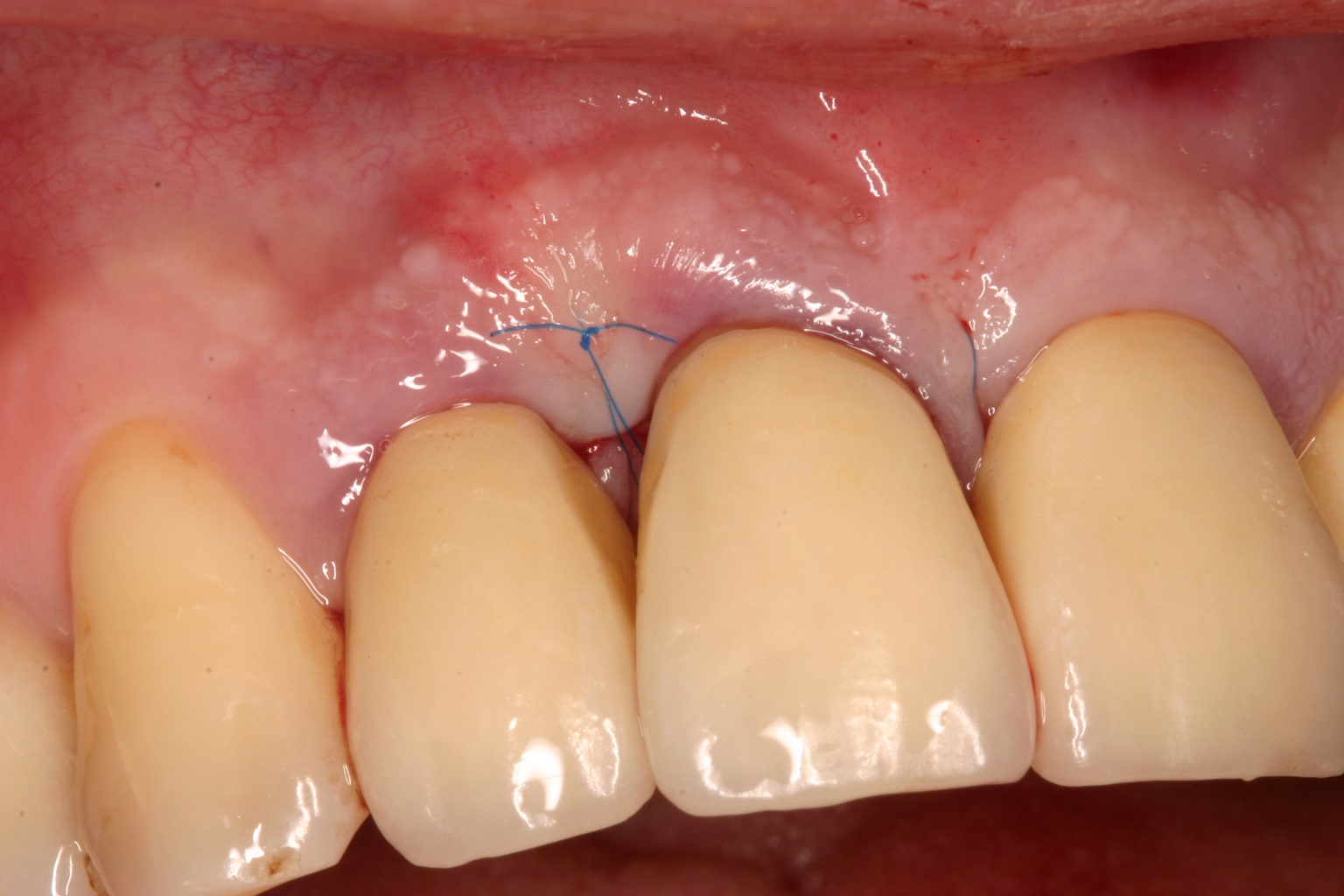
06/08 - Suturing to achieve complete wound closure.Non-contained intrabony defect treated with the simplified papilla preservation flap in conjunction with Straumann® Emdogain® and a particulate bone grafting material - Prof. Dr. Dr. A. Kasaj
-
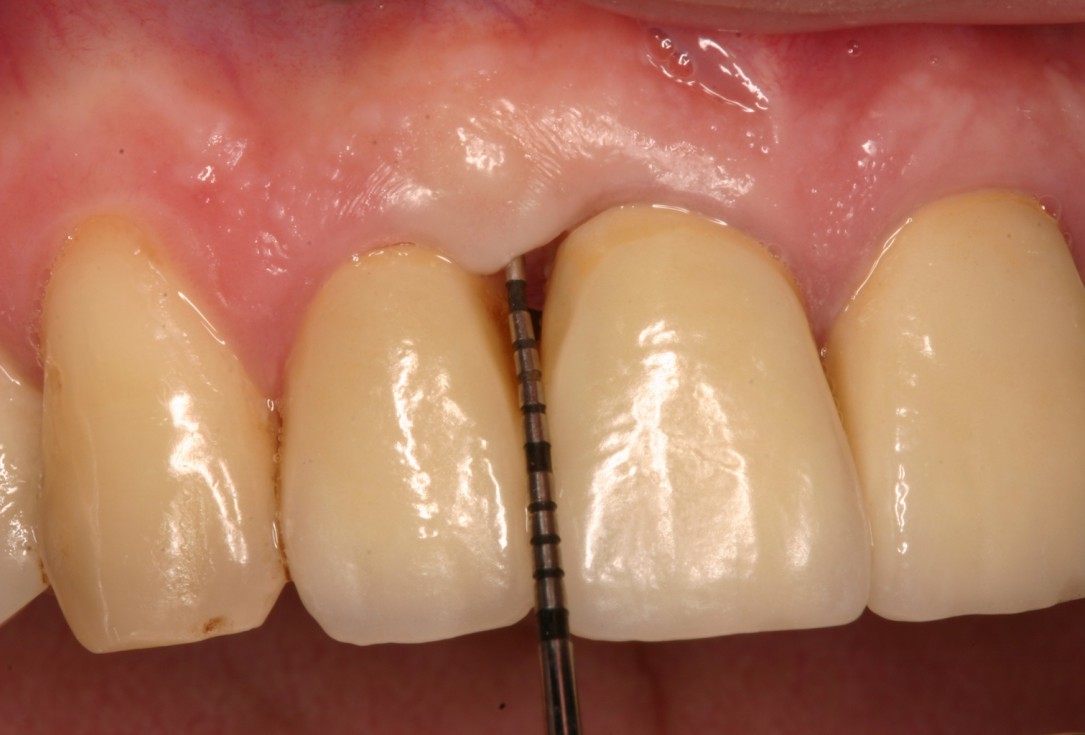
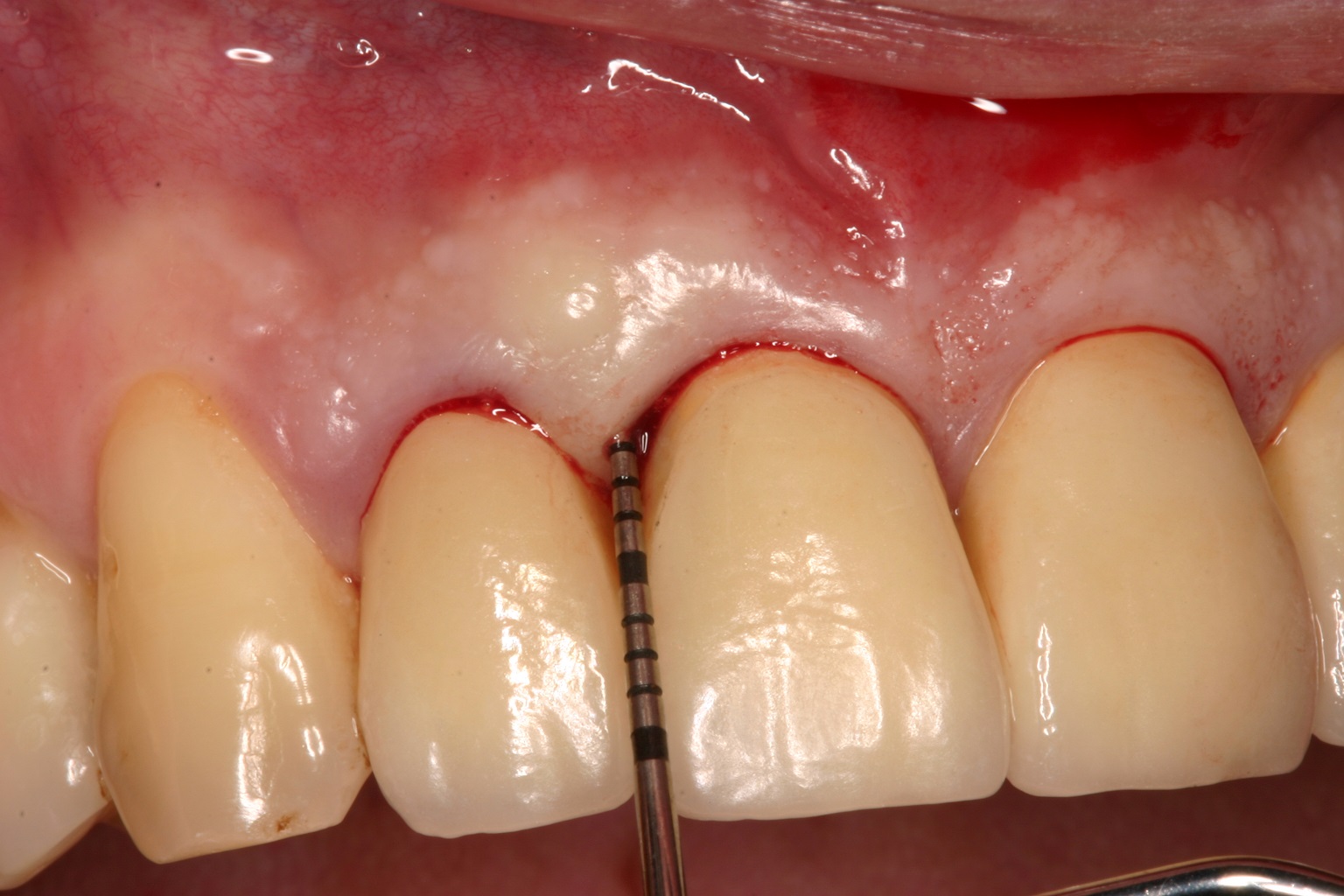
07/08 - Post-surgical probing (12 months) shows 3 mm PPD.Non-contained intrabony defect treated with the simplified papilla preservation flap in conjunction with Straumann® Emdogain® and a particulate bone grafting material - Prof. Dr. Dr. A. Kasaj
-
08/08 - Radiograph of the defect 12 months post-operative shows a defect fill.Non-contained intrabony defect treated with the simplified papilla preservation flap in conjunction with Straumann® Emdogain® and a particulate bone grafting material - Prof. Dr. Dr. A. Kasaj
Alveolar socket before soft and hard tissue augmentation
Pre-operative OPG shows deep vertical intrabony defects on the distal aspects of teeth 13 and 14.
Radiographic view before periodontal regenerative therapy with Straumann® Emdogain®. A deep intrabony defect appeared mesially and distally on the left mandibular first premolar. Pre-surgical probing measured 8 mm. The defect morphology presented as well-contained.
Baseline clincial situation and pre-surgical probing.
Pre-operative radiographic view.
Pre-operative clinical situation. Gingival recessions at teeth 11 and 21.
Pre-surgical situation. Multiple adjacent gingival recessions at teeth 12, 13 and 14.
Pre-operative clinical view. Multiple adjacent gingival recessions.
Initial clinical situation
Pre-operative X-ray. Hopless tooth 21.
Pre-operative clinical situation.
Pre-operative radiograph. Intrabony defect on the mesial aspect of tooth 14.
Pre-surgical clinical situation. Deep gingival recessions at both upper canine.
Pre-operative clinical situation. Multiple adjacent gingival recessions.
Pre-operative clinical situation. Shallow multiple adjacent gingival recessions in the first quadrant.
Initial situation: bone loss due to lack of physical load of bridge retained region 11
Pre-operative radiographic view. Intrabony defect on the distal aspect of the lateral incisor.
Situation after tooth removal.
Pre-operative clinical situation.
Pre-surgical clinical situation, buccal view.
Baseline clinical situation. Recession depth of 6 mm at tooth 31.
Initial situation: 40 year old female patient with extensive scar tissue after several surgeries restored with a Rochette bridge







