Non-contained intrabony defect treated using cerabone®, collprotect® membrane and Straumann® Emdogain® - Dr. T. Schwaar (2)
-
01/11 - Pre-operative radiograph.Non-contained intrabony defect treated using cerabone®, collprotect® membrane and Straumann® Emdogain® - Dr. T. Schwaar (2)
-
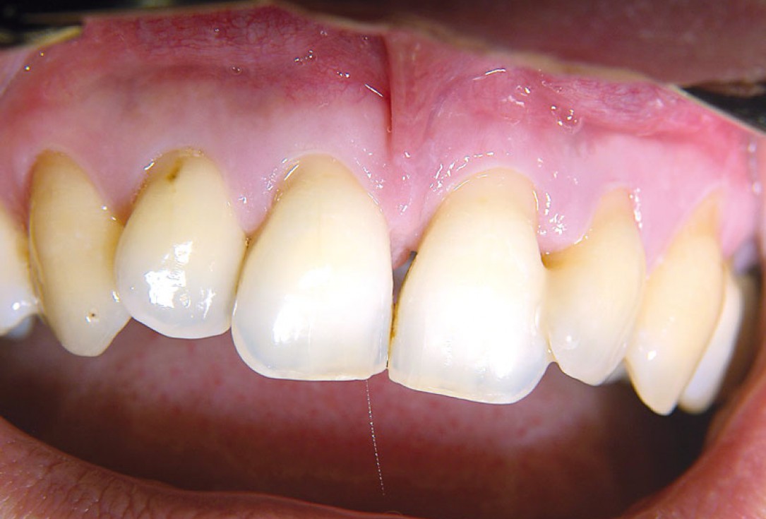
02/11 - Baseline clinical situation.Non-contained intrabony defect treated using cerabone®, collprotect® membrane and Straumann® Emdogain® - Dr. T. Schwaar (2)
-
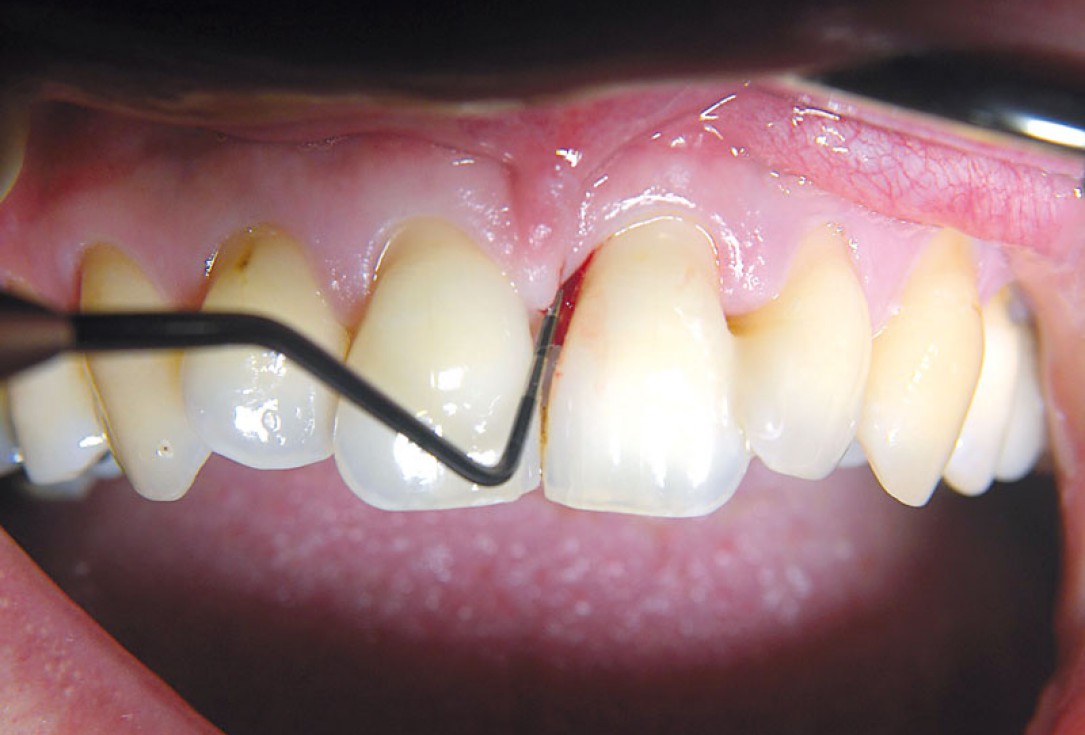
03/11 - Pre-surgical probing.Non-contained intrabony defect treated using cerabone®, collprotect® membrane and Straumann® Emdogain® - Dr. T. Schwaar (2)
-
04/11 - Deep intrabony defect on the mesial aspect of tooth 21.Non-contained intrabony defect treated using cerabone®, collprotect® membrane and Straumann® Emdogain® - Dr. T. Schwaar (2)
-
05/11 - Straumann® Emdogain® applied on the cleaned and pre-conditioned root surface.Non-contained intrabony defect treated using cerabone®, collprotect® membrane and Straumann® Emdogain® - Dr. T. Schwaar (2)
-
06/11 - Application of small cerabone® granules.Non-contained intrabony defect treated using cerabone®, collprotect® membrane and Straumann® Emdogain® - Dr. T. Schwaar (2)
-
07/11 - Coverage of the bone defect and the bone grafting material with collprotect® membrane.Non-contained intrabony defect treated using cerabone®, collprotect® membrane and Straumann® Emdogain® - Dr. T. Schwaar (2)
-
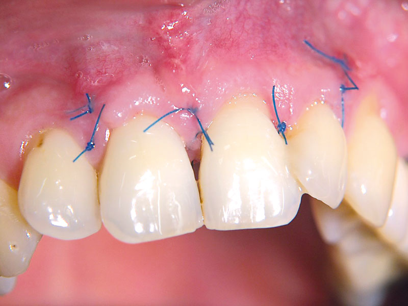
08/11 - Suturing of the membrane.Non-contained intrabony defect treated using cerabone®, collprotect® membrane and Straumann® Emdogain® - Dr. T. Schwaar (2)
-
09/11 - Flap closure.Non-contained intrabony defect treated using cerabone®, collprotect® membrane and Straumann® Emdogain® - Dr. T. Schwaar (2)
-
10/11 - Clinical situation 3 weeks post-surgical.Non-contained intrabony defect treated using cerabone®, collprotect® membrane and Straumann® Emdogain® - Dr. T. Schwaar (2)
-
11/11 - Radiograph 5 months post-surgical.Non-contained intrabony defect treated using cerabone®, collprotect® membrane and Straumann® Emdogain® - Dr. T. Schwaar (2)
Initial clinical situation. Atrophic maxillary ridge.
Initial x-ray showing bone loss around implants placed 5 years ago in another dental clinic
Initial view of the case. Discoloration of 1.1 and mild class I gingival recession
Situation after tooth removal.
Instable bridge situation with abscess formation at tooth #15 after apicoectomy
Initial clinical situation.
Implant insertion in atrophic alveolar ridge
Preoperative clinical situation
Pre-operative OPG
Initial clinical situation.
Pre-surgical situation.
Initial situation: missing teeth #11 & 12 and badly broken #21 root
Pre-operative OPG shows deep vertical intrabony defects on the distal aspects of teeth 13 and 14.
Extraction of tooth 21 after endodontic treatment
Pre-surgical probing reveals a deep intrabony defect on the distal aspect of the upper canine.
Initial clinical situation with single tooth gap in regio 21
Pre-operative radiographic view. Intrabony defect on the distal aspect of the lateral incisor.
Clinical situation before extraction and implantation
Pre-operative radiographic view.
Situation after tooth extraction.
Pre-operative X-ray. Hopless tooth 21.
Pre-surgical situation. Teeth 26 and 27 missing.
Initial clinical situation with gum recession and labial bone loss eight weeks following tooth extraction
Three implants placed in a narrow posterior mandible
Pre-operative clinical situation.
Clinical situation with narrow alveolar ridge in the lower jaw
Initial clinical situation showing bone wall defect.










