-
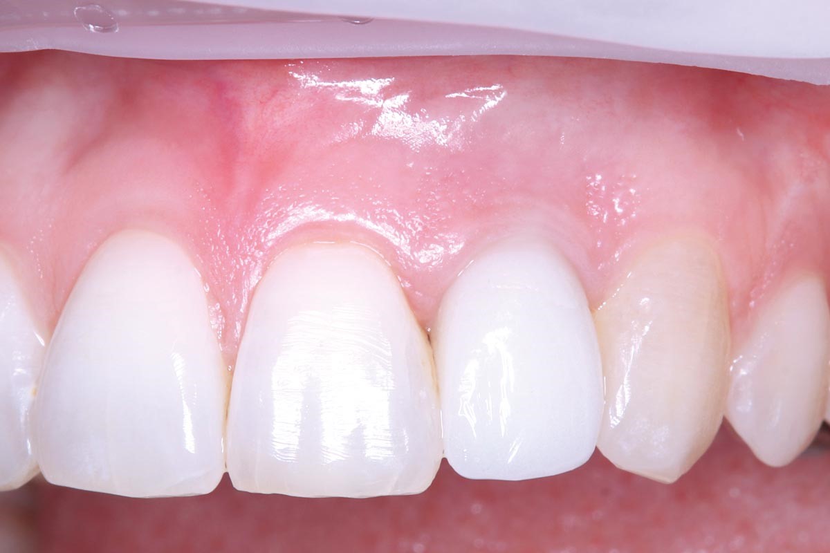
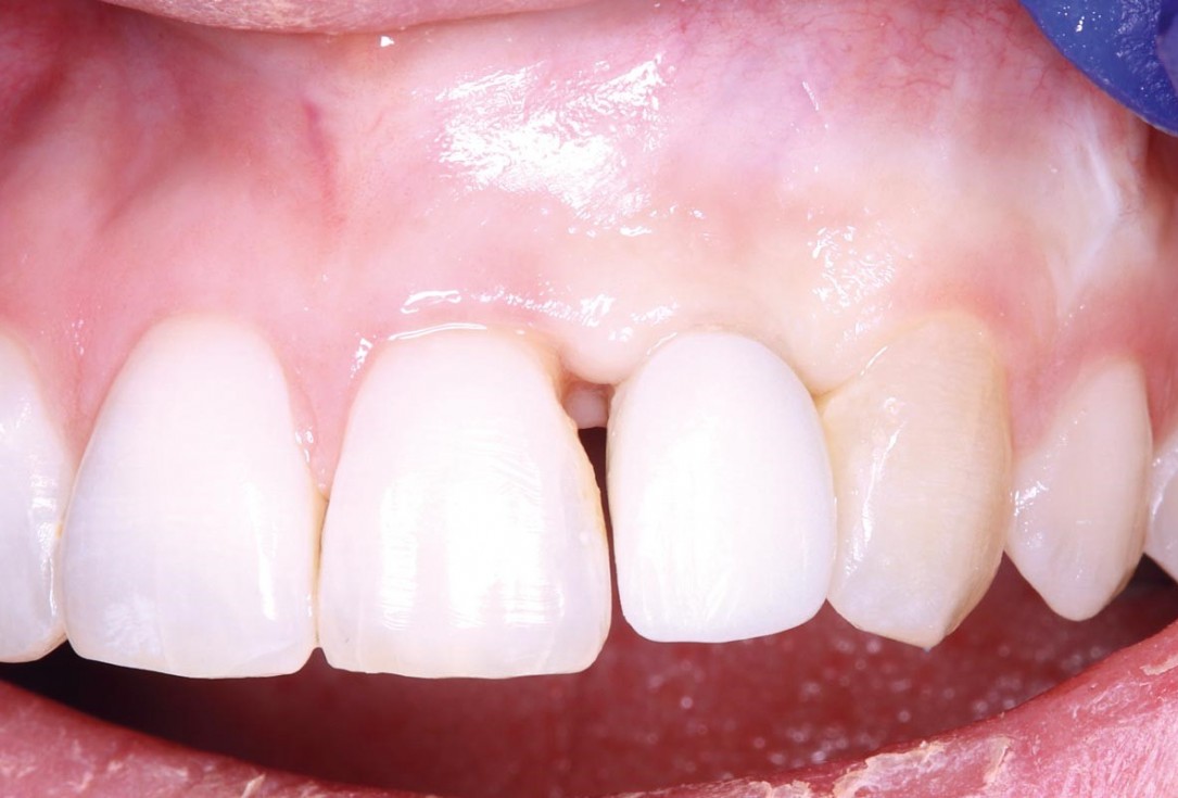
01/14 - Initial situation - endodontically failing tooth 22, very thin biotype, high lip line and esthetic expectations
Simultaneous GBR and implantation using maxgraft® granules and autologous bone - Dr. A. Jones
-
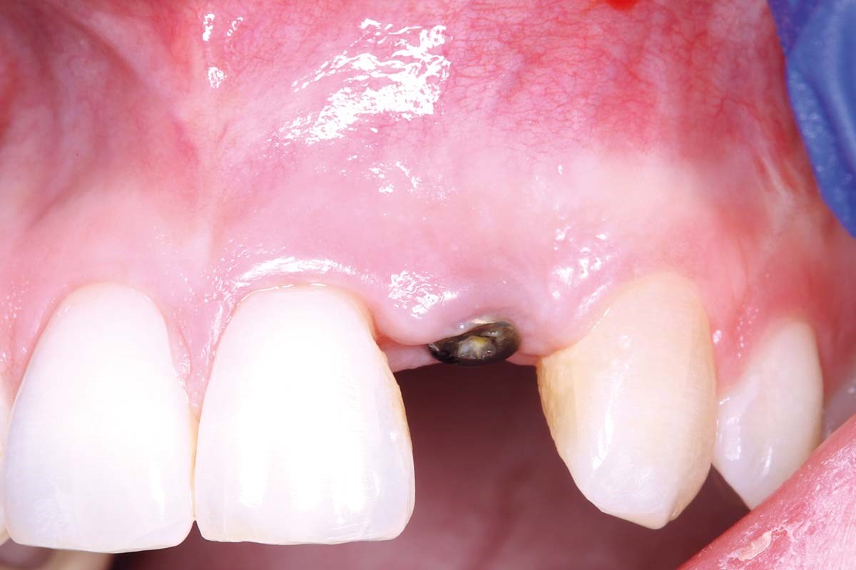
02/14 - Tooth was first extracted and left to heal for three months
Simultaneous GBR and implantation using maxgraft® granules and autologous bone - Dr. A. Jones
-
03/14 - Implant placement (3.3x14 mm)
Simultaneous GBR and implantation using maxgraft® granules and autologous bone - Dr. A. Jones
-
04/14 - Implant placement (3.3x14 mm), occlusal view
Simultaneous GBR and implantation using maxgraft® granules and autologous bone - Dr. A. Jones
-
05/14 - GBR with first layer of autogenous bone
Simultaneous GBR and implantation using maxgraft® granules and autologous bone - Dr. A. Jones
-
06/14 - Second layer of maxgraft® cortico-cancellous granules
Simultaneous GBR and implantation using maxgraft® granules and autologous bone - Dr. A. Jones
-
07/14 - Jason® membrane fixed with tacks and sutures
Simultaneous GBR and implantation using maxgraft® granules and autologous bone - Dr. A. Jones
-
08/14 - Jason® membrane fixed with tacks and sutures
Simultaneous GBR and implantation using maxgraft® granules and autologous bone - Dr. A. Jones
-
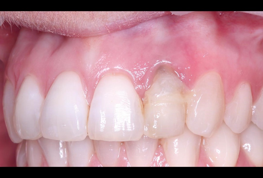
09/14 - Exposure and temporary crown placed three months later
Simultaneous GBR and implantation using maxgraft® granules and autologous bone - Dr. A. Jones
-
10/14 - Exposure and temporary crown placed three months later
Simultaneous GBR and implantation using maxgraft® granules and autologous bone - Dr. A. Jones
-
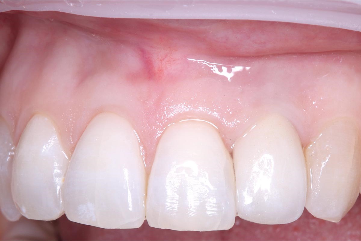
11/14 - Additional two months for tissue maturation and papilla creation
Simultaneous GBR and implantation using maxgraft® granules and autologous bone - Dr. A. Jones
-
12/14 - Additional two months for tissue maturation and papilla creation
Simultaneous GBR and implantation using maxgraft® granules and autologous bone - Dr. A. Jones
-
13/14 - Occlusal view of tissue maturation
Simultaneous GBR and implantation using maxgraft® granules and autologous bone - Dr. A. Jones
-
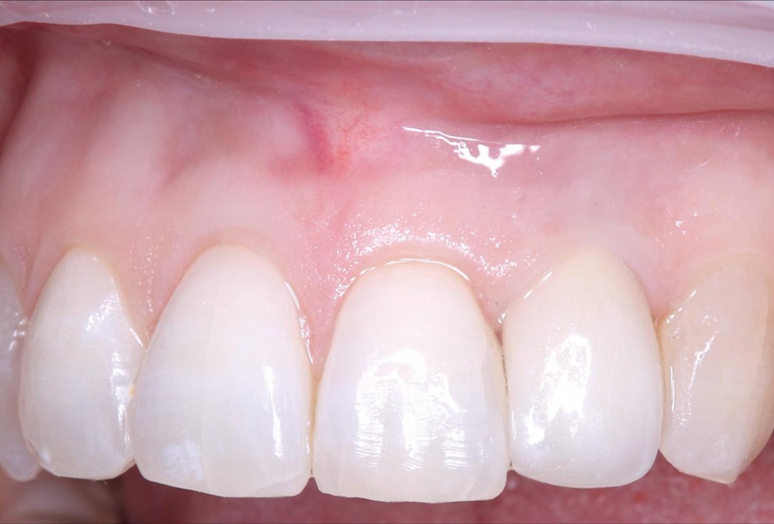
14/14 - Definitive restoration fitted
Simultaneous GBR and implantation using maxgraft® granules and autologous bone - Dr. A. Jones