-
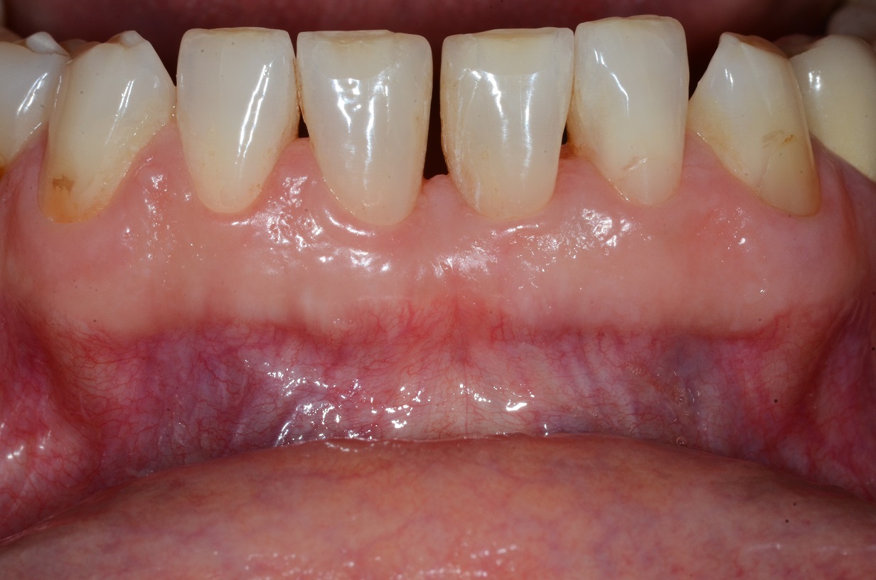
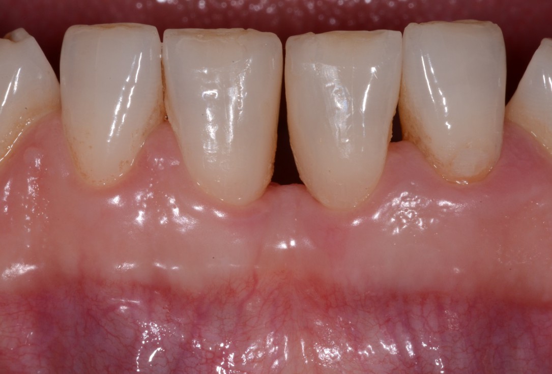
01/13 - Baseline clincial situation and pre-surgical probing.
Wide intrabony defect treated with the modified papilla preservation flap in conjunction with Straumann® Emdogain® and autogenous bone - Dr. B. Molnar
-
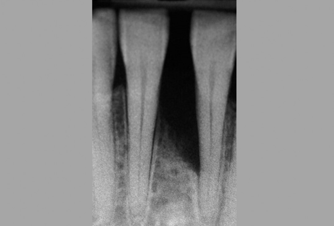
02/13 - Baseline radiograph.
Wide intrabony defect treated with the modified papilla preservation flap in conjunction with Straumann® Emdogain® and autogenous bone - Dr. B. Molnar
-
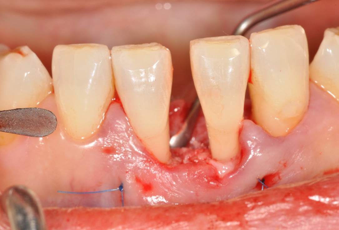
03/13 - Flap elevation and presentation of the defect.
Wide intrabony defect treated with the modified papilla preservation flap in conjunction with Straumann® Emdogain® and autogenous bone - Dr. B. Molnar
-
04/13 - Soft tissue augmentation using an autogenous connective tissue graft.
Wide intrabony defect treated with the modified papilla preservation flap in conjunction with Straumann® Emdogain® and autogenous bone - Dr. B. Molnar
-
05/13 - Application of Straumann® Emdogain® onto the denuded root surface.
Wide intrabony defect treated with the modified papilla preservation flap in conjunction with Straumann® Emdogain® and autogenous bone - Dr. B. Molnar
-
06/13 - Grafting of the bone defect using autogenous bone chips.
Wide intrabony defect treated with the modified papilla preservation flap in conjunction with Straumann® Emdogain® and autogenous bone - Dr. B. Molnar
-
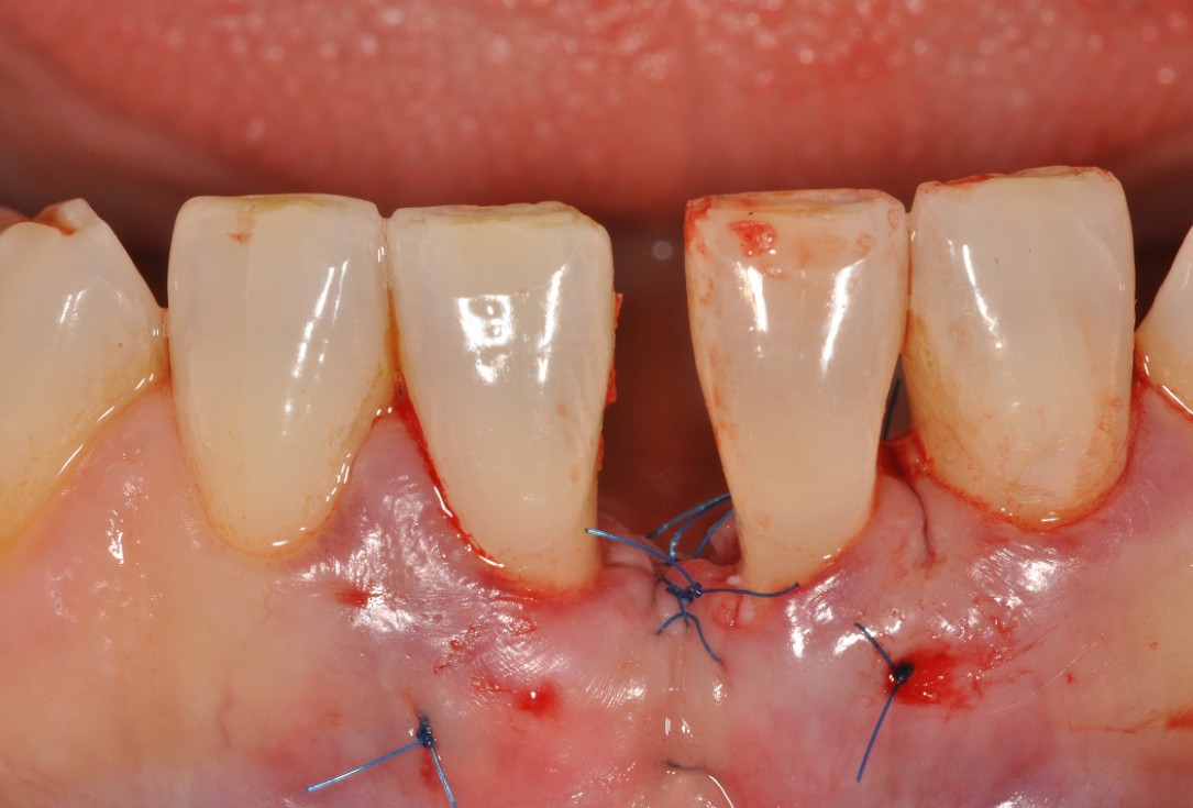
07/13 - Suturing.
Wide intrabony defect treated with the modified papilla preservation flap in conjunction with Straumann® Emdogain® and autogenous bone - Dr. B. Molnar
-
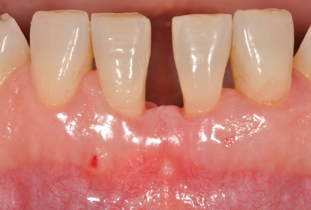
08/13 - Suture removal 10 days post-operative.
Wide intrabony defect treated with the modified papilla preservation flap in conjunction with Straumann® Emdogain® and autogenous bone - Dr. B. Molnar
-
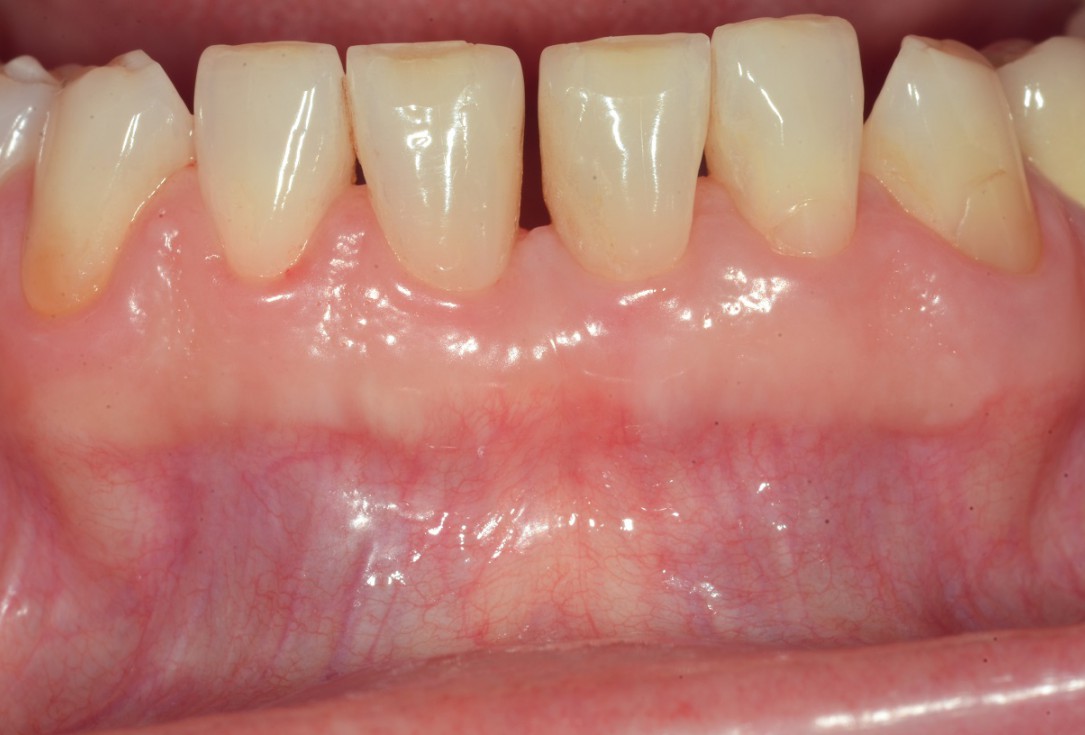
09/13 - Direct composite veneering and clinical situation 6 months post-operative.
Wide intrabony defect treated with the modified papilla preservation flap in conjunction with Straumann® Emdogain® and autogenous bone - Dr. B. Molnar
-
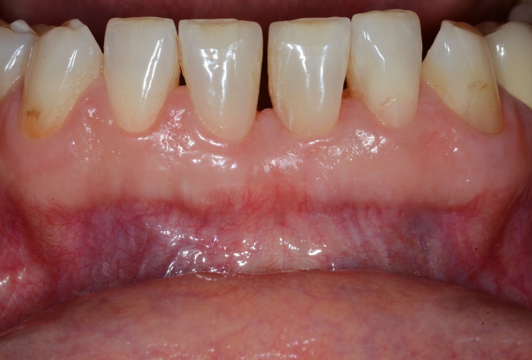
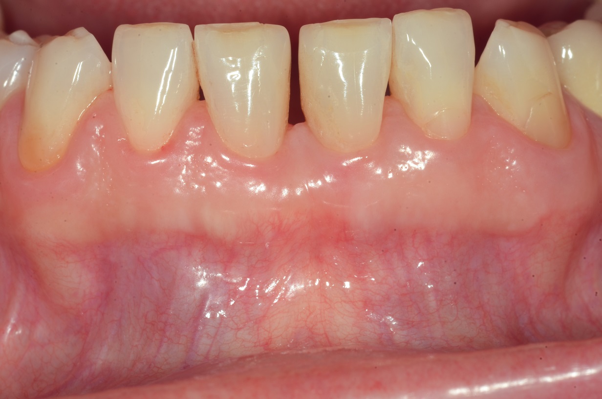
10/13 - Clinical situation 3 years post-operative.
Wide intrabony defect treated with the modified papilla preservation flap in conjunction with Straumann® Emdogain® and autogenous bone - Dr. B. Molnar
-
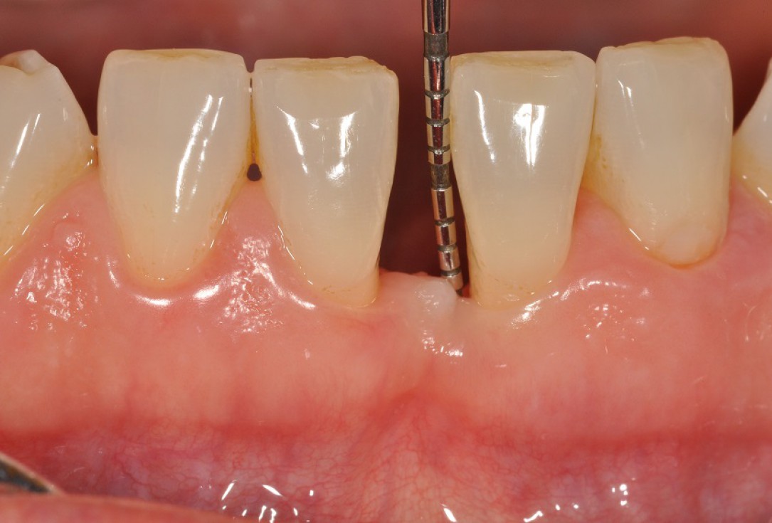
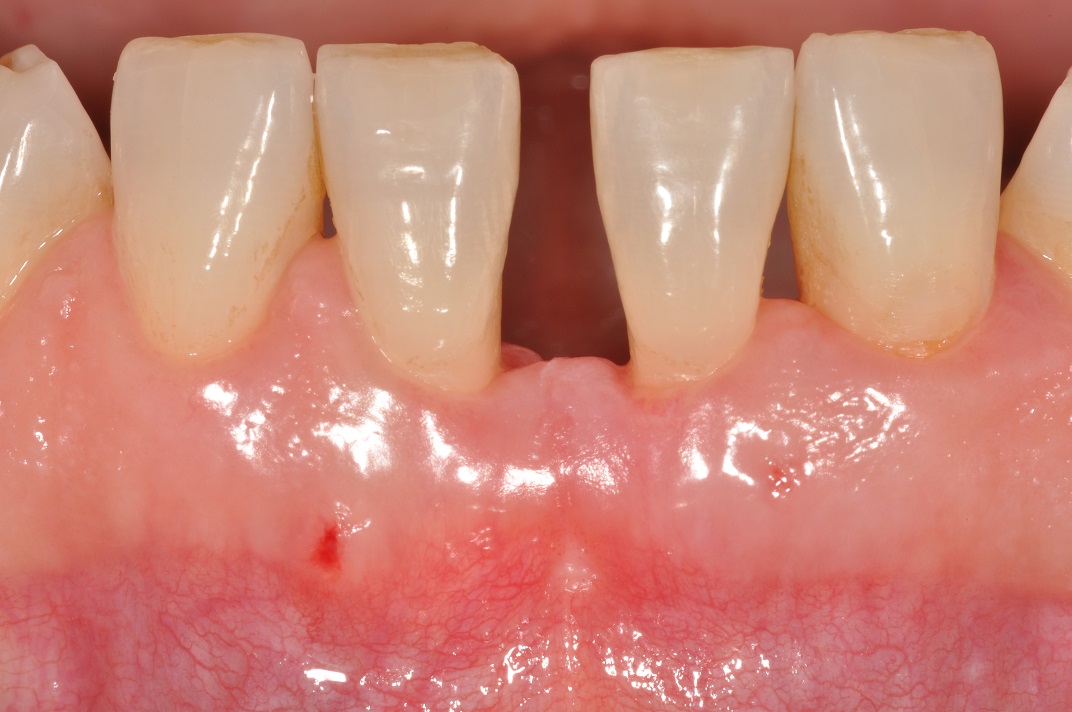
11/13 - Clinical situation 5 years post-operative.
Wide intrabony defect treated with the modified papilla preservation flap in conjunction with Straumann® Emdogain® and autogenous bone - Dr. B. Molnar
-
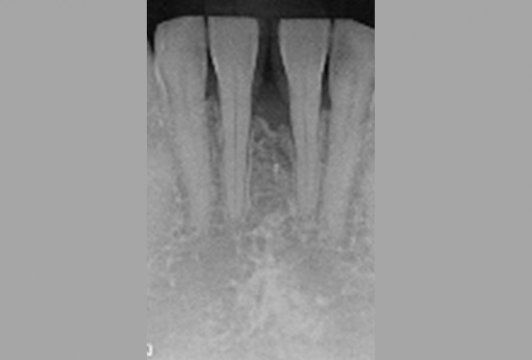
12/13 - Radiograph 3 years post-operative.
Wide intrabony defect treated with the modified papilla preservation flap in conjunction with Straumann® Emdogain® and autogenous bone - Dr. B. Molnar
-
13/13 - Radiographic bone fill 5 years post-operative.
Wide intrabony defect treated with the modified papilla preservation flap in conjunction with Straumann® Emdogain® and autogenous bone - Dr. B. Molnar