-
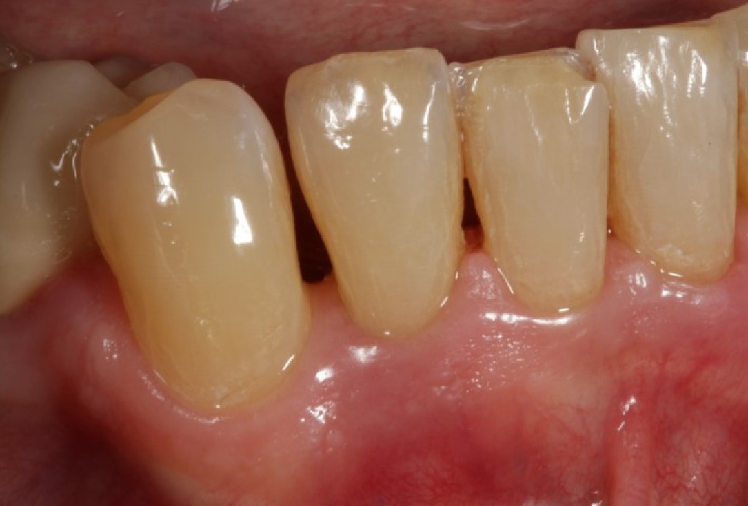
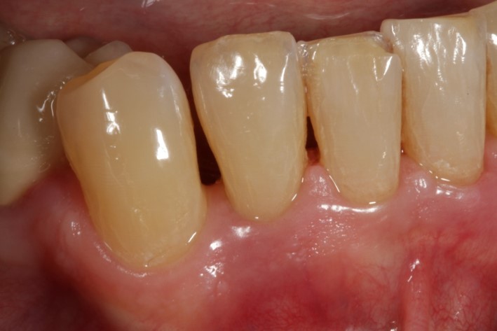
01/08 - Pre-operative clinical situation.
Non-contained intrabony defect treated using Straumann® Emdogain® and a synthetic bone grafting material - Prof. Dr. Dr. A. Kasaj
-
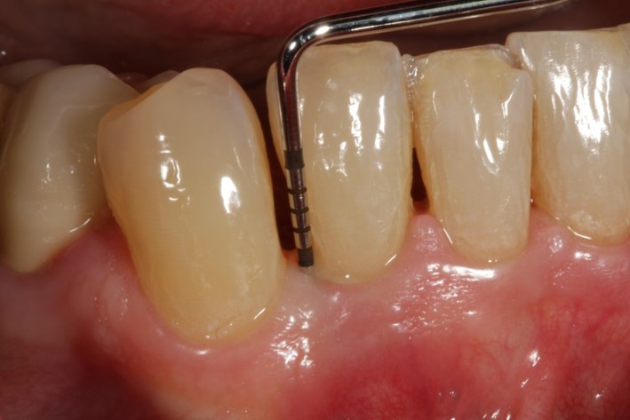
02/08 - Pre-surgical probing reveals a deep intrabony defect on the distal aspect of tooth 42.
Non-contained intrabony defect treated using Straumann® Emdogain® and a synthetic bone grafting material - Prof. Dr. Dr. A. Kasaj
-
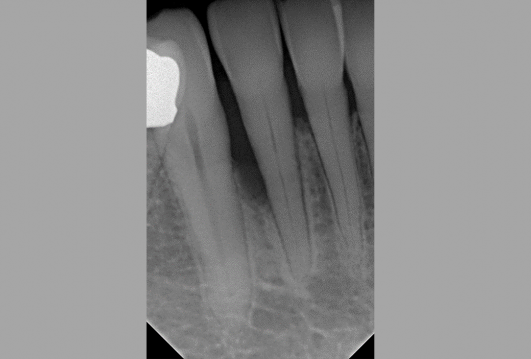
03/08 - Radiograph showing a deep intrabony defect on the distal aspect of tooth 42.
Non-contained intrabony defect treated using Straumann® Emdogain® and a synthetic bone grafting material - Prof. Dr. Dr. A. Kasaj
-
04/08 - Intra-operative view of the defect area.
Non-contained intrabony defect treated using Straumann® Emdogain® and a synthetic bone grafting material - Prof. Dr. Dr. A. Kasaj
-
05/08 - Application of Straumann® Emdogain® to the exposed root surface.
Non-contained intrabony defect treated using Straumann® Emdogain® and a synthetic bone grafting material - Prof. Dr. Dr. A. Kasaj
-
06/08 - Application of a particulate synthetic bone grafting material.
Non-contained intrabony defect treated using Straumann® Emdogain® and a synthetic bone grafting material - Prof. Dr. Dr. A. Kasaj
-
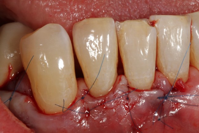
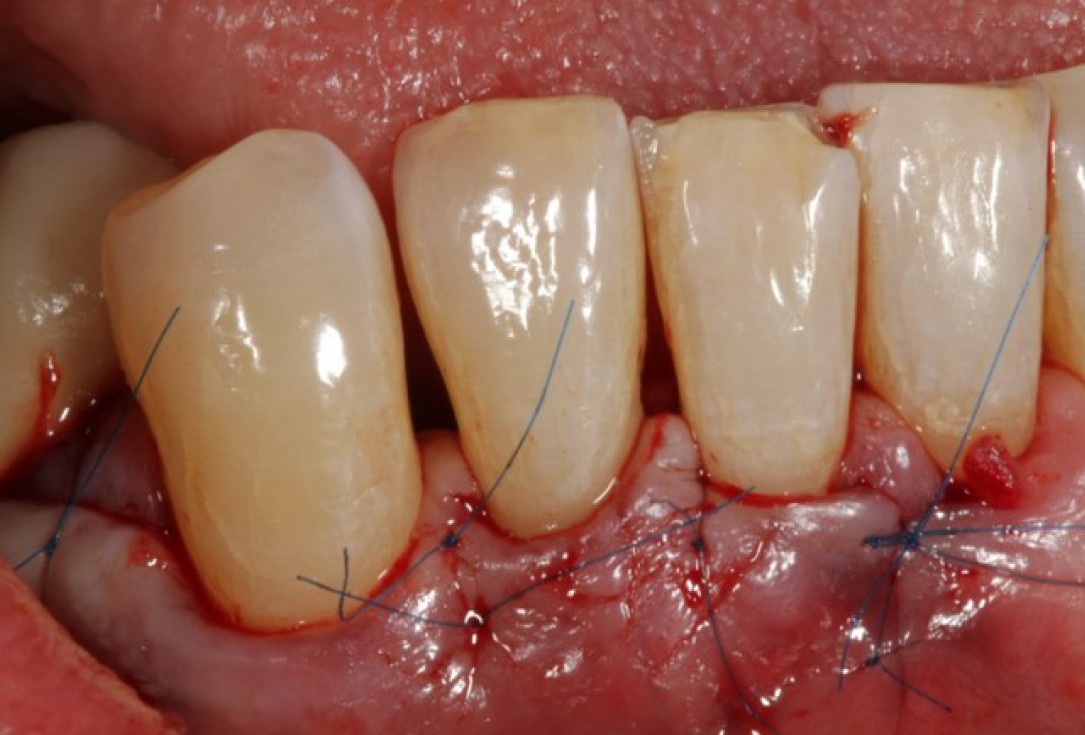
07/08 - Flap repositioning and suturing.
Non-contained intrabony defect treated using Straumann® Emdogain® and a synthetic bone grafting material - Prof. Dr. Dr. A. Kasaj
-
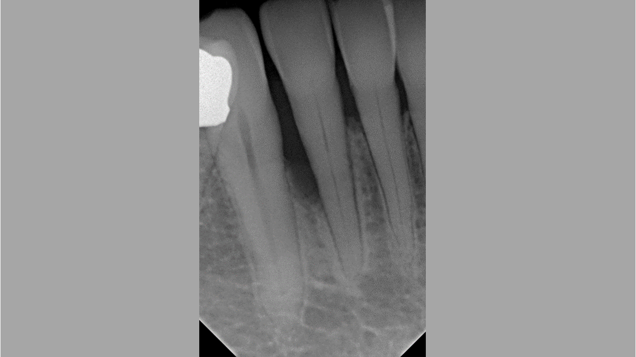
08/08 - Radiograph 12 months post-operative.
Non-contained intrabony defect treated using Straumann® Emdogain® and a synthetic bone grafting material - Prof. Dr. Dr. A. Kasaj