Sinus lift with simultaneous bone splitting & implantation - Dr. F. Kistler

botiss maxresorb® and collprotect® membrane for bone splitting - case by Dr J Neugebauer

Surgical presentation of the alveolar ridge with reduced amount of horizontal bone available

Immediate implantation with maxresorb® - Dr. M. Frosecchi

X-ray control before tooth extraction

Bone augementation with maxresorb® - Dr. R. Cutts

Initial situation: Inflammated tooth #12

botiss cerabone® & Jason® membrane for GBR - Clinical case by Prof. Dr. Dr. D. Rothamel

Instable bridge situation with abscess formation at tooth #15 after apicoectomy

botiss cerabone® & Jason® membrane for GBR - Clinical case by Dr. S. Kovalevsky

Implant insertion in atrophic alveolar ridge

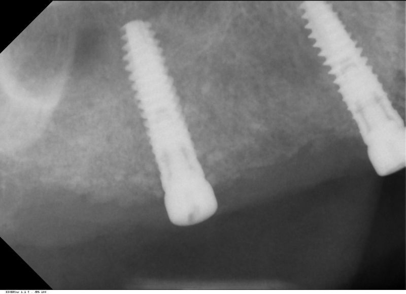
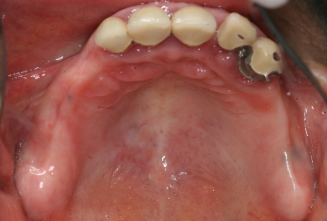
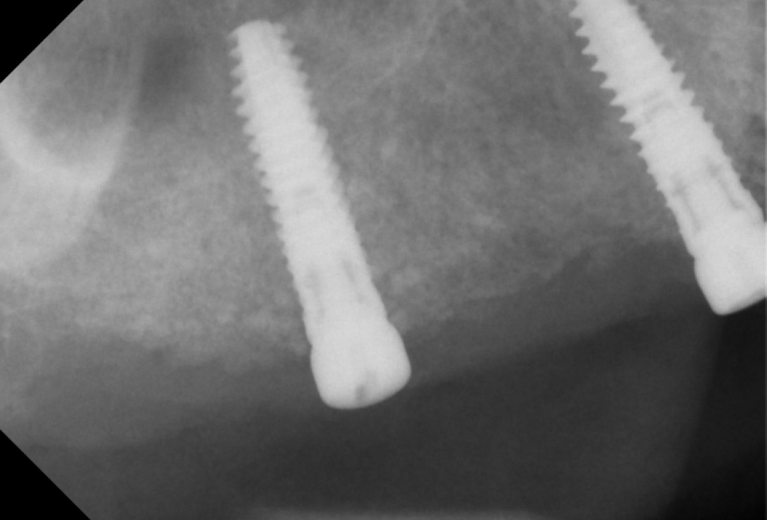
Restoration of all four incisors with two maxgraft® bonering - Dr. B Giesenhagen

Initial situation pre-op: Central incisors with mobility 3

Ridge splitting with maxresorb® and collprotect® membrane - Dr. J. Neugebauer

Surgical presentation of the alveolar ridge with reduced amount of horizontal bone available

Lateral sinus lift with maxresorb® and collprotect® membrane - Dr. Frank Kistler

DVT control after sinusitis surgery, residual bone height 1 mm

Two-stage sinus lift with maxresorb® and collprotect® - Dr. Steffen Kistler

DVT control after sinusitis surgery, residual bone height 1 mm

Regeneration of a 9 mm vertical bone defect with cerabone®, autologous bone and S-PRF –  Dr. A. Eslava

Initial x-ray showing bone loss around implants placed 5 years ago in another dental clinic

GBR with cerabone® and Jason® membrane in the front tooth region - Dr. H. Maghaireh

Initial clinical situation with gum recession and labial bone loss eight weeks following tooth extraction