-
01/13 - The patient presented with a terminal fracture of the crown tooth number 12
Immediate implant placement in the maxilla with contour GBR - Dr. K. Loukas
-
02/13 - The CBCT revealed adequate bone width and no pathology in the area, immediate implant placement was agreed
Immediate implant placement in the maxilla with contour GBR - Dr. K. Loukas
-
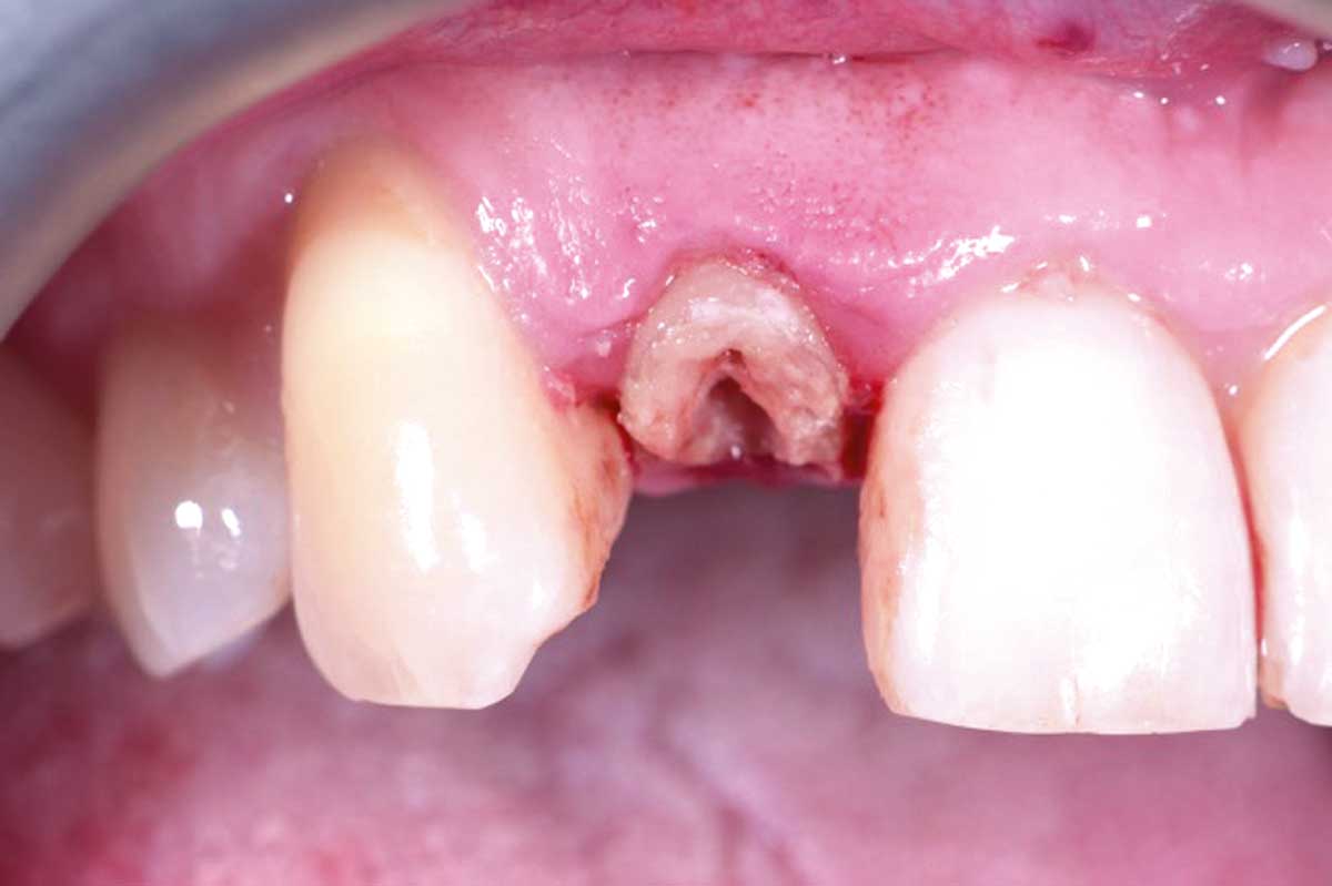
03/13 - Root condition, gingival zenith higher than the 11, intact distal papilla and some recession in mesial papilla
Immediate implant placement in the maxilla with contour GBR - Dr. K. Loukas
-
04/13 - Vertical extraction of tooth 12
Immediate implant placement in the maxilla with contour GBR - Dr. K. Loukas
-
05/13 - Full muco-periostal flap elevation
Immediate implant placement in the maxilla with contour GBR - Dr. K. Loukas
-
06/13 - Implant (3.3 BL x 12 mm) inserted in correct 3D prosthetic position, a 3 mm distance gap was left in the crestal section; Compared to CBCT apical concavity was more intense
Immediate implant placement in the maxilla with contour GBR - Dr. K. Loukas
-
07/13 - Autogenous chips applied in contact with the implant, cerabone® mixed with autogenous chips was applied inside and outside; A long conical healing abutment was used in situ
Immediate implant placement in the maxilla with contour GBR - Dr. K. Loukas
-
08/13 - Application of a double layer of the resorbable collprotect® membrane
Immediate implant placement in the maxilla with contour GBR - Dr. K. Loukas
-
09/13 - Closure with PTFE sutures
Immediate implant placement in the maxilla with contour GBR - Dr. K. Loukas
-
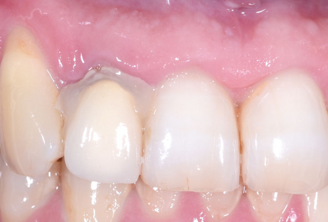
10/13 - Clinical view after 8 weeks of healing
Immediate implant placement in the maxilla with contour GBR - Dr. K. Loukas
-
11/13 - After 10 weeks delivery of the screw retained crown with a CAD CAM milled abutment
Immediate implant placement in the maxilla with contour GBR - Dr. K. Loukas
-
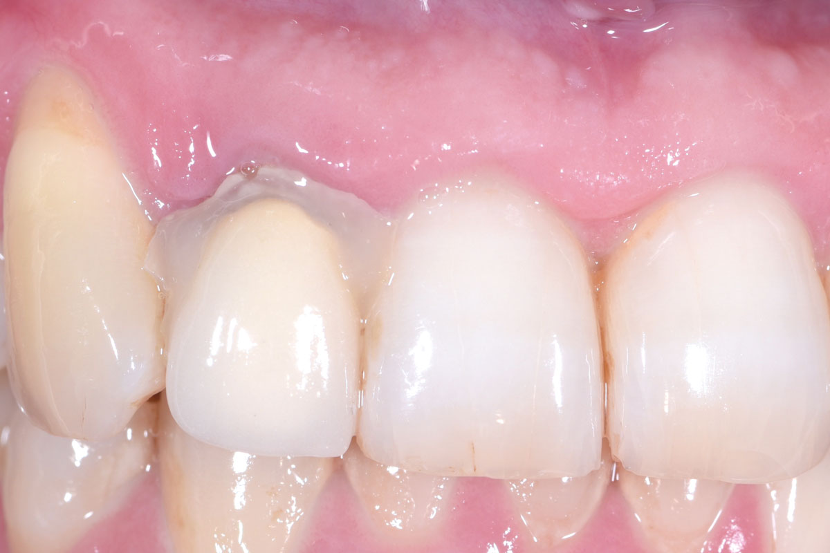
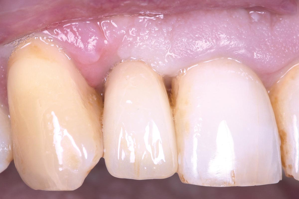
12/13 - Clinical situation 4 months post surgery: Excellent hard and soft tissue adaptation, papilla closing bilaterally
Immediate implant placement in the maxilla with contour GBR - Dr. K. Loukas
-
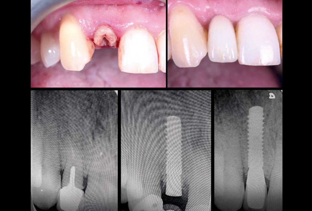
13/13 - Before and after comparison: Clinical and radiologic view
Immediate implant placement in the maxilla with contour GBR - Dr. K. Loukas