-
01/14 - Extended horizontal and vertical defect of the maxilla following tumor resection and reconstruction with a scapula graft
Block augmentation with maxresorb®, collprotect® membrane & autologous bone blocks - Prof. Dr. Dr. D. Rothamel
-
02/14 - Fixation of monocancellous bone splints from the iliac crest
Block augmentation with maxresorb®, collprotect® membrane & autologous bone blocks - Prof. Dr. Dr. D. Rothamel
-
03/14 - maxresorb® particles mixed with cancellous bone from the iliac crest in a 1:1 ratio
Block augmentation with maxresorb®, collprotect® membrane & autologous bone blocks - Prof. Dr. Dr. D. Rothamel
-
04/14 - Filling of the space between host bone and cortical splints with the mixture
Block augmentation with maxresorb®, collprotect® membrane & autologous bone blocks - Prof. Dr. Dr. D. Rothamel
-
05/14 - Placement of further cortical splints at buccal aspect
Block augmentation with maxresorb®, collprotect® membrane & autologous bone blocks - Prof. Dr. Dr. D. Rothamel
-
06/14 - Coverage of the augmentation site with collprotect® membrane
Block augmentation with maxresorb®, collprotect® membrane & autologous bone blocks - Prof. Dr. Dr. D. Rothamel
-
07/14 - Postoperative OPG
Block augmentation with maxresorb®, collprotect® membrane & autologous bone blocks - Prof. Dr. Dr. D. Rothamel
-
08/14 - X-ray showing the formation of new bone matrix 4 months postoperatively
Block augmentation with maxresorb®, collprotect® membrane & autologous bone blocks - Prof. Dr. Dr. D. Rothamel
-
09/14 - Good graft incorporation and volume stability at re-entry 4 months postoperatively
Block augmentation with maxresorb®, collprotect® membrane & autologous bone blocks - Prof. Dr. Dr. D. Rothamel
-
10/14 - Surgical guide for implant insertion in the endentoulus jaw
Block augmentation with maxresorb®, collprotect® membrane & autologous bone blocks - Prof. Dr. Dr. D. Rothamel
-
11/14 - Surgical guide in situ
Block augmentation with maxresorb®, collprotect® membrane & autologous bone blocks - Prof. Dr. Dr. D. Rothamel
-
12/14 - Insertion of 4 implants
Block augmentation with maxresorb®, collprotect® membrane & autologous bone blocks - Prof. Dr. Dr. D. Rothamel
-
13/14 - Placement of bars for fixation of the prosthesis
Block augmentation with maxresorb®, collprotect® membrane & autologous bone blocks - Prof. Dr. Dr. D. Rothamel
-
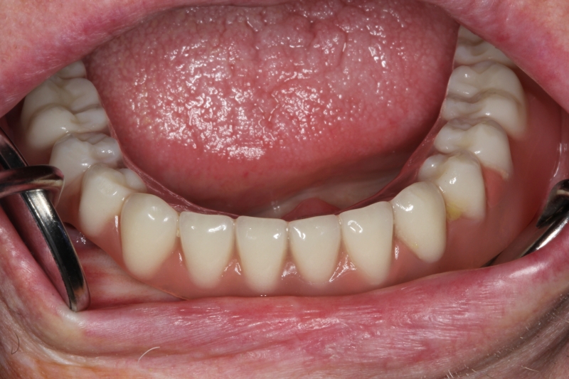
14/14 - Final prosthetic restoration
Block augmentation with maxresorb®, collprotect® membrane & autologous bone blocks - Prof. Dr. Dr. D. Rothamel