-
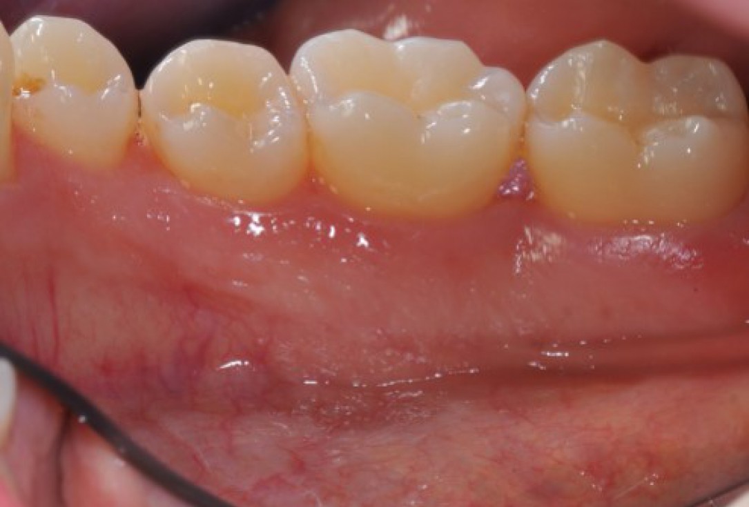
01/22 - Pre-surgical clinical situation, buccal view.
Deep intrabony defects treated using Straumann® Emdogain® - Dr. M. Stefanini
-
02/22 - Pre-surgical clinical situation, lingual view.
Deep intrabony defects treated using Straumann® Emdogain® - Dr. M. Stefanini
-
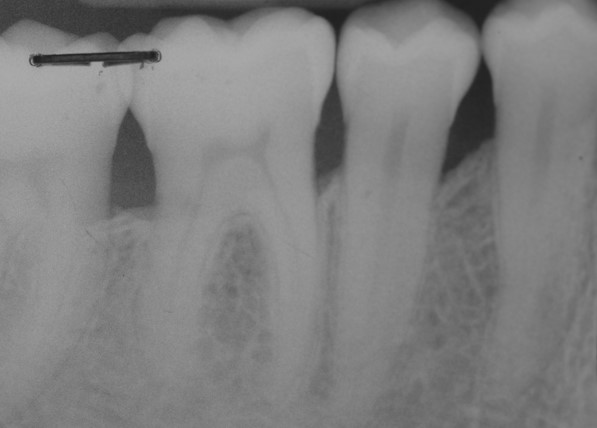
03/22 - Pre-operative radiograph. Deep intrabony defect visible on the distal aspect of tooth 46.
Deep intrabony defects treated using Straumann® Emdogain® - Dr. M. Stefanini
-
04/22 - Pre-operative radiograph. Deep intrabony defect visible mesially to tooth 45.
Deep intrabony defects treated using Straumann® Emdogain® - Dr. M. Stefanini
-
05/22 - Access flap (simplified papilla preservation technique between #44 and #45 and amplified papilla preservation technique between #47 and# 46). Buccal view.
Deep intrabony defects treated using Straumann® Emdogain® - Dr. M. Stefanini
-
06/22 - Access flap (simplified papilla preservation technique between #44 and #45 and amplified papilla preservation technique between #47 and# 46). Lingual view.
Deep intrabony defects treated using Straumann® Emdogain® - Dr. M. Stefanini
-
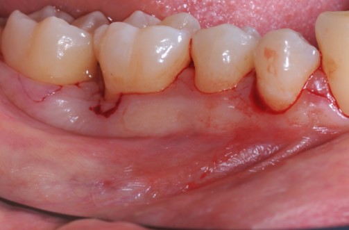
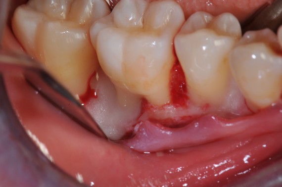
07/22 - Intra-operative view reveals deep non-contained intrabony defects distally to tooth 46 (PPD 10 mm) and on the mesial aspect of tooth 45 (PPD 6 mm). Buccal view.
Deep intrabony defects treated using Straumann® Emdogain® - Dr. M. Stefanini
-
08/22 - Intra-operative view reveals deep non-contained intrabony defects distally to tooth 46 (PPD 10 mm) and on the mesial aspect of tooth 45 (PPD 6 mm). Lingual view.
Deep intrabony defects treated using Straumann® Emdogain® - Dr. M. Stefanini
-
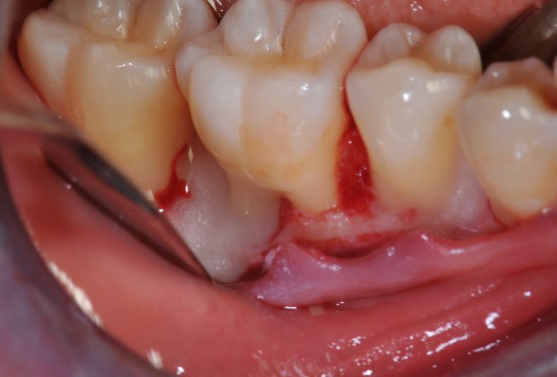
09/22 - Application of Straumann® PrefGel® all over the exposed root surfaces.
Deep intrabony defects treated using Straumann® Emdogain® - Dr. M. Stefanini
-
10/22 - After thorough rinsing, application of Straumann® Emdogain® onto the exposed root surface.
Deep intrabony defects treated using Straumann® Emdogain® - Dr. M. Stefanini
-
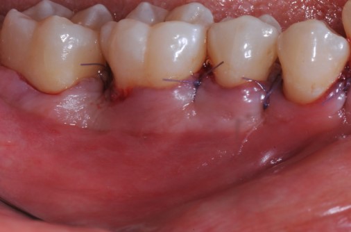
11/22 - Coronal advancement of the flap and suturing to achieve primary wound closure. Buccal view.
Deep intrabony defects treated using Straumann® Emdogain® - Dr. M. Stefanini
-
12/22 - Coronal advancement of the flap and suturing to achieve primary wound closure. Lingual view.
Deep intrabony defects treated using Straumann® Emdogain® - Dr. M. Stefanini
-
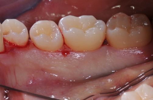
13/22 - Removal of the sutures 14 days post-operative. Buccal view.
Deep intrabony defects treated using Straumann® Emdogain® - Dr. M. Stefanini
-
14/22 - Removal of the sutures 14 days post-operative. Lingual view.
Deep intrabony defects treated using Straumann® Emdogain® - Dr. M. Stefanini
-
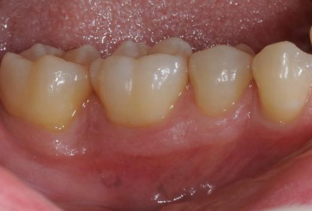
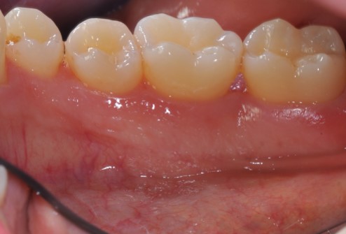
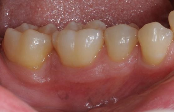
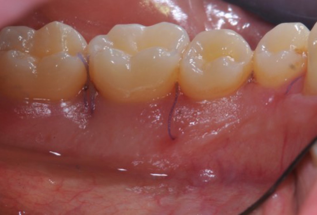
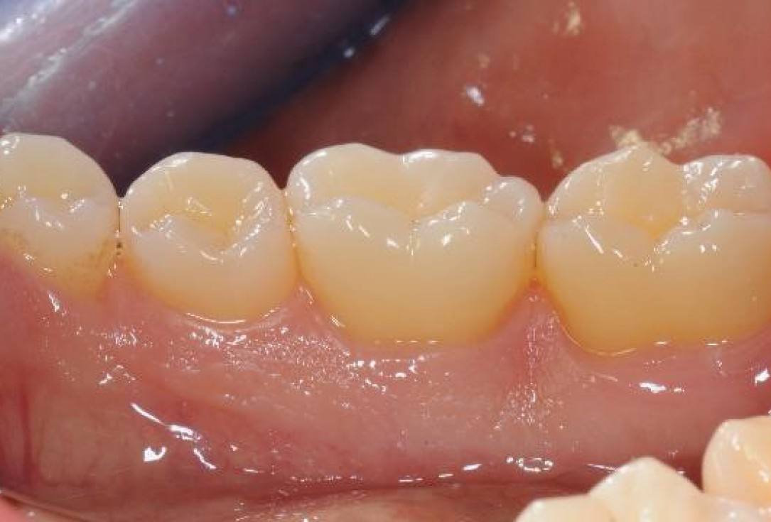
15/22 - Clinical situation 12 months post-operative. Buccal view.
Deep intrabony defects treated using Straumann® Emdogain® - Dr. M. Stefanini
-
16/22 - Clinical situation 12 months post-operative. Lingual view.
Deep intrabony defects treated using Straumann® Emdogain® - Dr. M. Stefanini
-
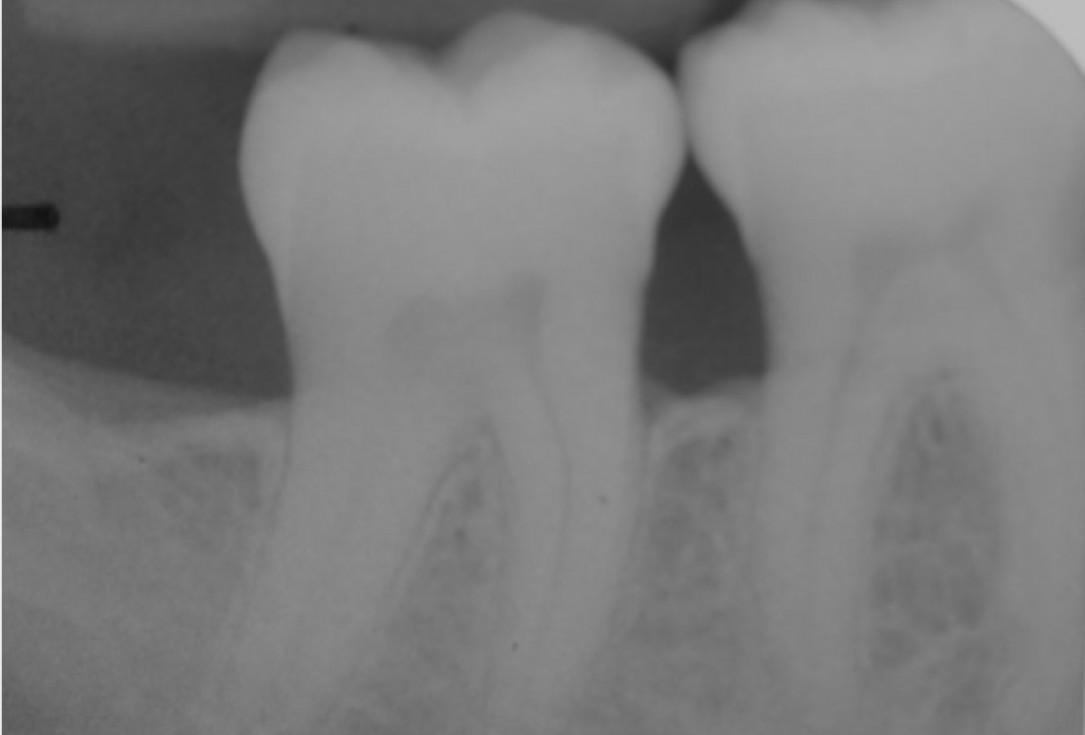
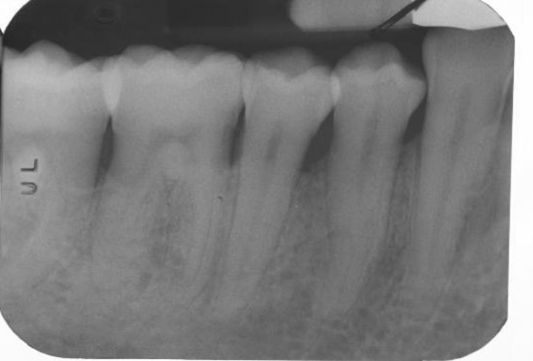
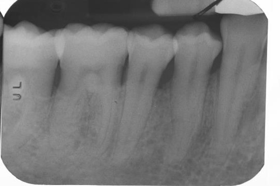
17/22 - Radiographic follow up 12 months post-operative. The radiograph demonstrates a complete defect fill and a stable result.
Deep intrabony defects treated using Straumann® Emdogain® - Dr. M. Stefanini
-
18/22 - Radiographic follow up 12 months post-operative. The radiograph demonstrates a complete defect fill and a stable result.
Deep intrabony defects treated using Straumann® Emdogain® - Dr. M. Stefanini
-
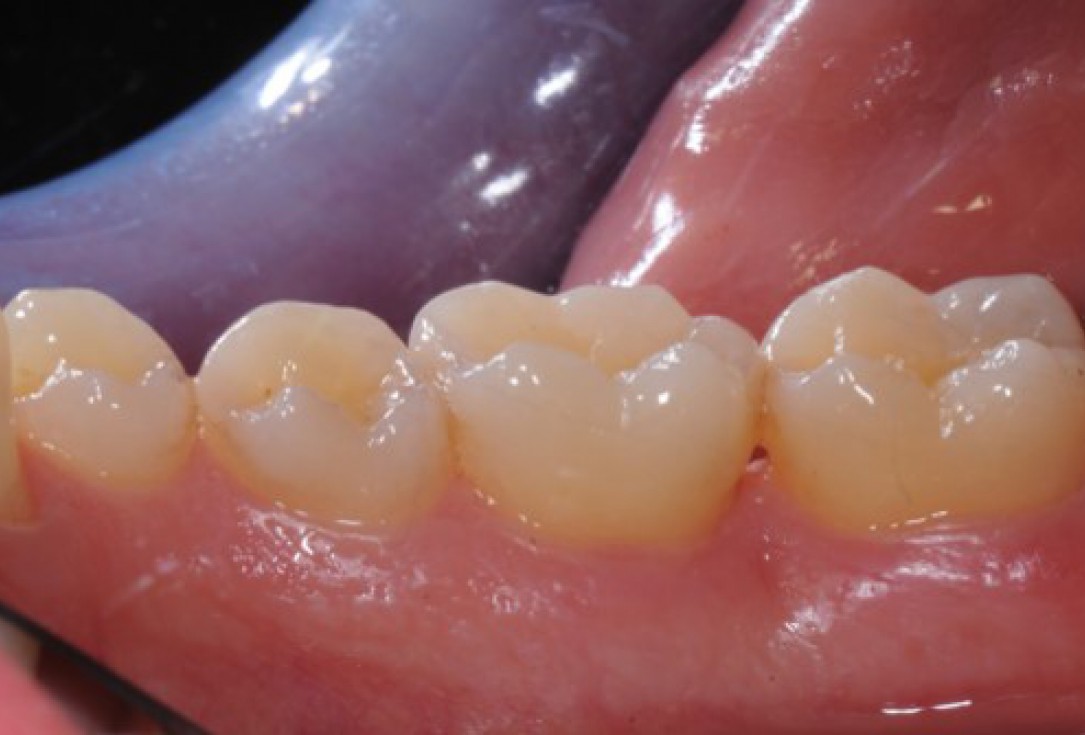
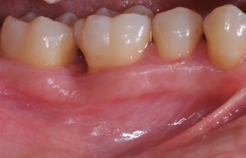
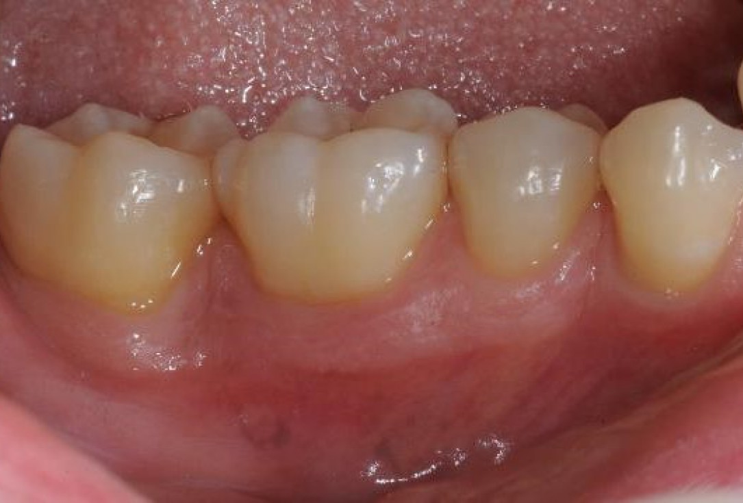
19/22 - Long term follow up: clinical situation 6 years post-operative. Buccal view.
Deep intrabony defects treated using Straumann® Emdogain® - Dr. M. Stefanini
-
20/22 - Long term follow up: clinical situation 6 years post-operative. Lingual view.
Deep intrabony defects treated using Straumann® Emdogain® - Dr. M. Stefanini
-
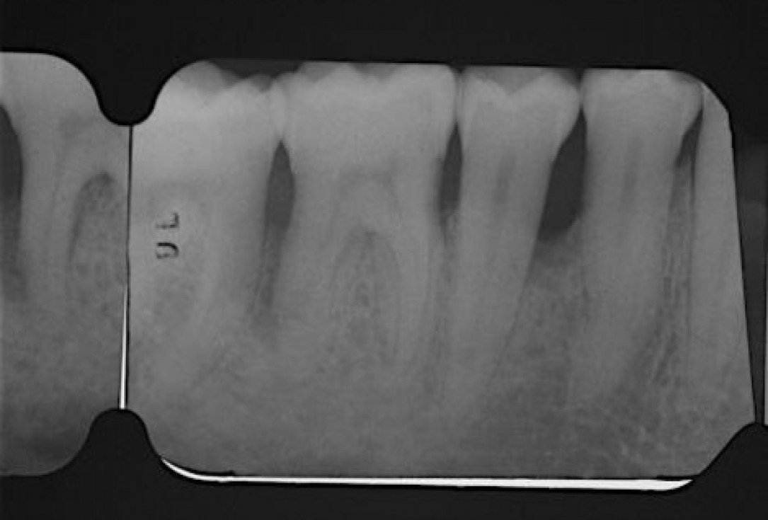
21/22 - Long term follow up: radiographic situation 6 years post-operative.
Deep intrabony defects treated using Straumann® Emdogain® - Dr. M. Stefanini
-
22/22 - Long term follow up: radiographic situation 6 years post-operative.
Deep intrabony defects treated using Straumann® Emdogain® - Dr. M. Stefanini