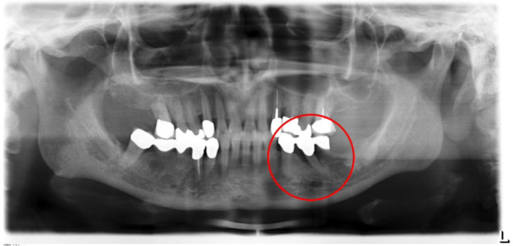
01/02 - Radiographic view before periodontal regenerative therapy with Straumann® Emdogain®. A deep intrabony defect appeared mesially and distally on the left mandibular first premolar. Pre-surgical probing measured 8 mm. The defect morphology presented as well-contained.
Contained intrabony defect treated using Straumann® Emdogain® - Prof. Dr. Dr. A. Kasaj
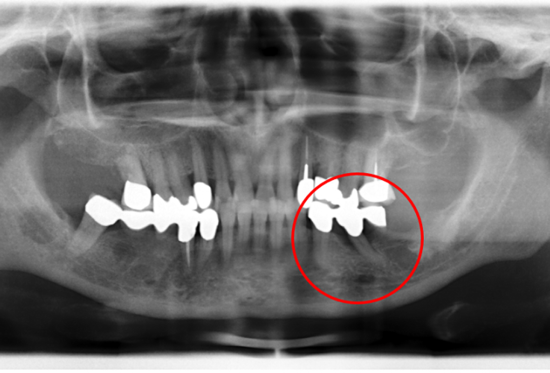
02/02 - Radiographic presentation of the defect 4 years following regenerative periodontal therapy with Straumann® Emdogain®. The radiograph demonstrated a complete defect fill and stable results.
Contained intrabony defect treated using Straumann® Emdogain® - Prof. Dr. Dr. A. Kasaj