-
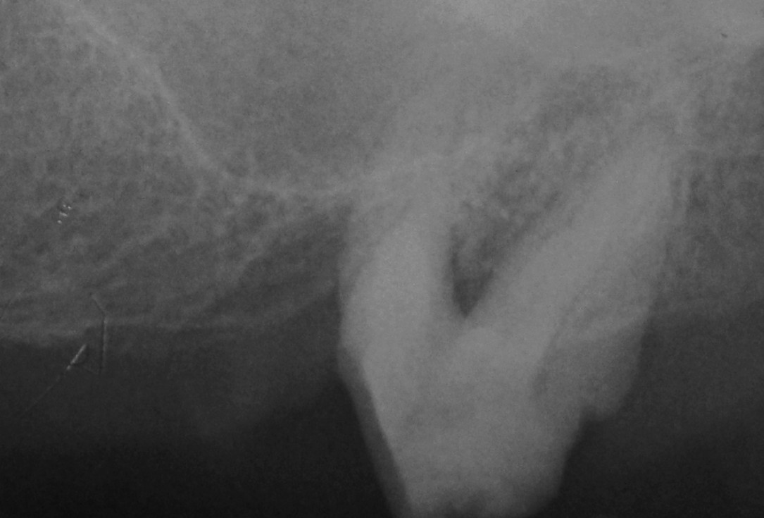
01/06 - Pre-operative radiograph.
Treatment of a periodontal bone defect adjacent to an edentulous site using Straumann® Emdogain® - Prof. Dr. P. Windisch
-
02/06 - Pre-surgical probing.
Treatment of a periodontal bone defect adjacent to an edentulous site using Straumann® Emdogain® - Prof. Dr. P. Windisch
-
03/06 - Pre-surgical probing to determine furcation involvement.
Treatment of a periodontal bone defect adjacent to an edentulous site using Straumann® Emdogain® - Prof. Dr. P. Windisch
-
04/06 - Flap elevation by a midcrestal incision and application of Straumann® Emdogain® to the defect site.
Treatment of a periodontal bone defect adjacent to an edentulous site using Straumann® Emdogain® - Prof. Dr. P. Windisch
-
05/06 - Suturing.
Treatment of a periodontal bone defect adjacent to an edentulous site using Straumann® Emdogain® - Prof. Dr. P. Windisch
-
06/06 - Radiograph 5 years post-operative.
Treatment of a periodontal bone defect adjacent to an edentulous site using Straumann® Emdogain® - Prof. Dr. P. Windisch