Peri-implant soft tissue augmentation for pontic with mucoderm® - Dr. M. Frosecchi
-
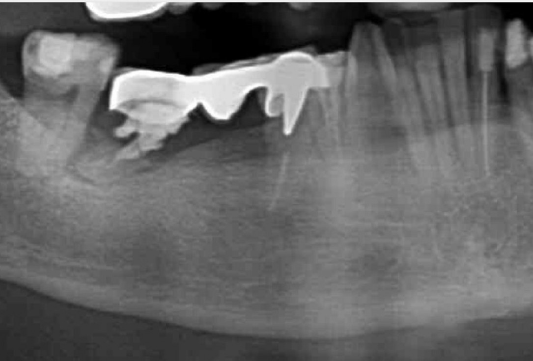
1/9 - X-ray of initial clinical situationPeri-implant soft tissue augmentation for pontic with mucoderm® - Dr. M. Frosecchi
-
2/9 - Lost ridge bone and keratinized tissue after tooth extractionPeri-implant soft tissue augmentation for pontic with mucoderm® - Dr. M. Frosecchi
-
3/9 - Primary stability of two placed Straumann® BLT implantsPeri-implant soft tissue augmentation for pontic with mucoderm® - Dr. M. Frosecchi
-
4/9 - mucoderm® cut in two halves and inserted buccally to increase the tissue thicknessPeri-implant soft tissue augmentation for pontic with mucoderm® - Dr. M. Frosecchi
-
5/9 - Second half of the mucoderm® is positioned to correct the anatomical shape of the soft tissuePeri-implant soft tissue augmentation for pontic with mucoderm® - Dr. M. Frosecchi
-
6/9 - Tension-free wound closure with a slightly exposed areaPeri-implant soft tissue augmentation for pontic with mucoderm® - Dr. M. Frosecchi
-
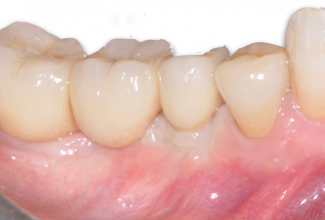
7/9 - Healing 3 months post-op with a larger layer of keratinized tissuePeri-implant soft tissue augmentation for pontic with mucoderm® - Dr. M. Frosecchi
-
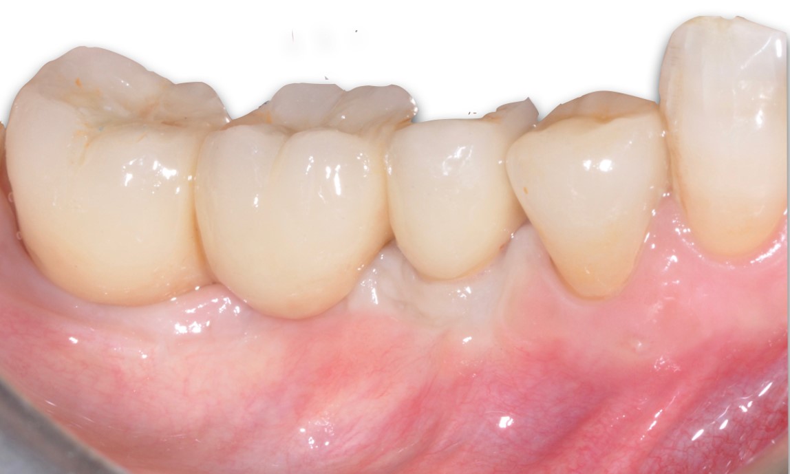
8/9 - Placement of a standard metal-ceramic bridgePeri-implant soft tissue augmentation for pontic with mucoderm® - Dr. M. Frosecchi
-
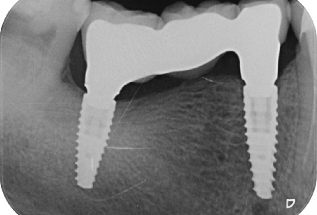
9/9 - X-ray control shows stable tissue for ponticPeri-implant soft tissue augmentation for pontic with mucoderm® - Dr. M. Frosecchi
Initial view of the case. Discoloration of 1.1 and mild class I gingival recession
Initial situation: missing teeth #11 & 12 and badly broken #21 root
Drilling template for guided implant placement
Initial clinical situation showing strongly compromised tooth 21
Pre-surgical clinical situation. Deep gingival recessions at both upper canine.
Pre-surgical situation. Multiple adjacent gingival recessions at teeth 12, 13 and 14.
Multiple adjacent gingival recessions.
X-ray shows a 3-dimensional periondontal defect
Initial clinical situation with lack of keratinized tissue
Bone defect in area 11-21 due to two lost implants (periimplantitis) after 15 years of function
Intact socket following atraumatic tooth extraction
Full-thickness flap preparation bucally and lingually
Initial clinical situation
Alveolar socket before soft and hard tissue augmentation
Clinical situation before surgery
Initial clinical situation
Initial clinical situation with traumatic loss of tooth 21
Longitudinal fracture on the root resected tooth 21 with visible buccal fistula
X-ray showing endodontic failure of the molar
Initial clinical situation with Miller class 1 recession
Initial clinical situation
Initial clinical situation
Pre-operative clinical situation. Gingival recessions at teeth 11 and 21.
Gingival recession at tooth 13. Free gingival graft (FGG) of a previous surgery for root coverage visible.
recession on tooth 11
Insufficient keratinized mucosa and extremely shallow vestibule on the maxilla
Initial clinical situation
Tooth extraction due to root fracture








