Regeneration at LR6 with cerabone® and collprotect® membrane using simple papilla preservation technique - Dr. D. Chatzopoulou
-
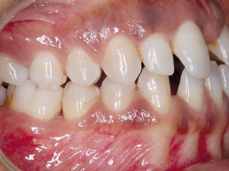
01/08 - PPD of 9mm at mesial of LR6Regeneration at LR6 with cerabone® and collprotect® membrane using simple papilla preservation technique - Dr. D. Chatzopoulou
-
02/08 - Raised flap showing the defectRegeneration at LR6 with cerabone® and collprotect® membrane using simple papilla preservation technique - Dr. D. Chatzopoulou
-
03/08 - Defect filled with cerabone® and collprotect® membraneRegeneration at LR6 with cerabone® and collprotect® membrane using simple papilla preservation technique - Dr. D. Chatzopoulou
-
04/08 - Flap suturedRegeneration at LR6 with cerabone® and collprotect® membrane using simple papilla preservation technique - Dr. D. Chatzopoulou
-
05/08 - Healing at 6 weeks post-operationRegeneration at LR6 with cerabone® and collprotect® membrane using simple papilla preservation technique - Dr. D. Chatzopoulou
-
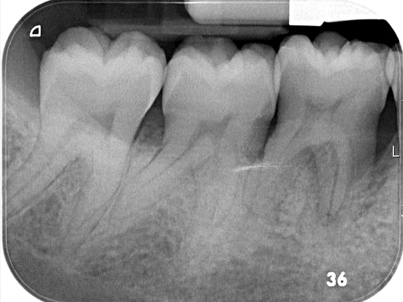
06/08 - Pre-operative radiographRegeneration at LR6 with cerabone® and collprotect® membrane using simple papilla preservation technique - Dr. D. Chatzopoulou
-
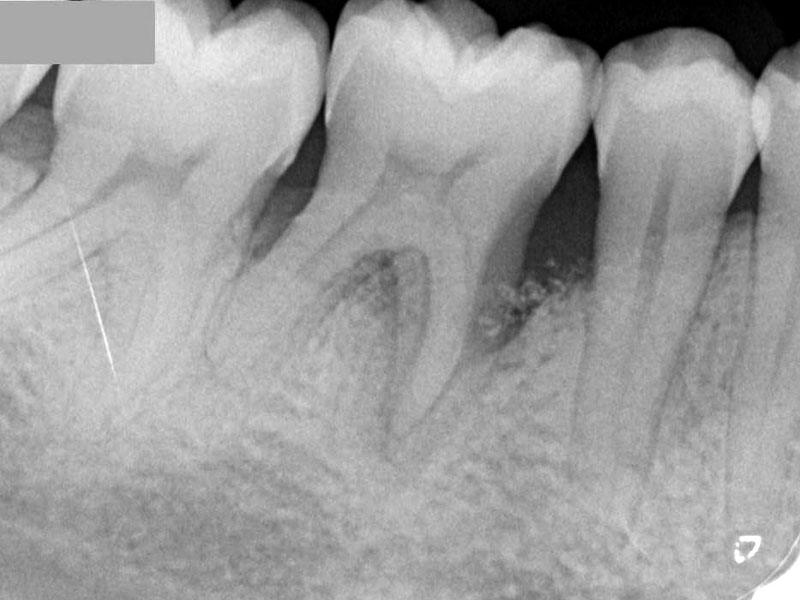
07/08 - 6 months post-operative radiographRegeneration at LR6 with cerabone® and collprotect® membrane using simple papilla preservation technique - Dr. D. Chatzopoulou
-
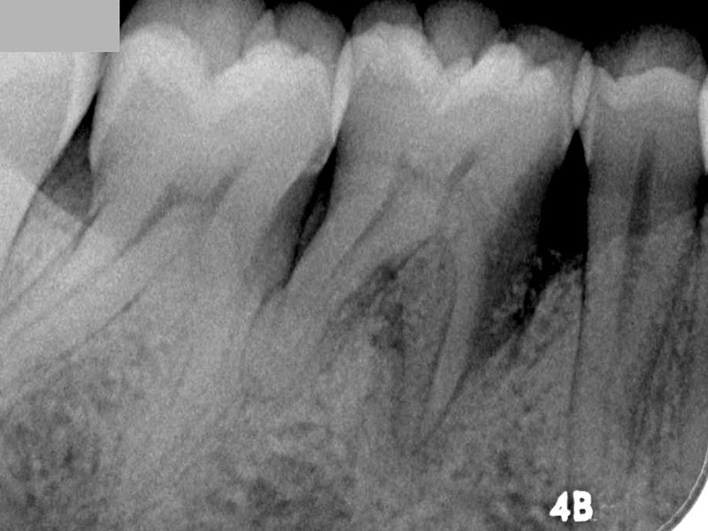
08/08 - 12 months post-operative radiographRegeneration at LR6 with cerabone® and collprotect® membrane using simple papilla preservation technique - Dr. D. Chatzopoulou
Initial clinical situation. Atrophic maxillary ridge.
Initial x-ray showing bone loss around implants placed 5 years ago in another dental clinic
Initial view of the case. Discoloration of 1.1 and mild class I gingival recession
Situation after tooth removal.
Initial clinical situation with gum recession and labial bone loss eight weeks following tooth extraction
Three implants placed in a narrow posterior mandible
Pre-operative clinical situation.
Clinical situation with narrow alveolar ridge in the lower jaw
Initial clinical situation showing bone wall defect.
Initial clinical situation.
Pre-surgical situation.
Initial situation: missing teeth #11 & 12 and badly broken #21 root
Pre-operative OPG shows deep vertical intrabony defects on the distal aspects of teeth 13 and 14.
Instable bridge situation with abscess formation at tooth #15 after apicoectomy
Initial clinical situation.
Implant insertion in atrophic alveolar ridge
Preoperative clinical situation
Pre-operative OPG
Pre-operative X-ray. Hopless tooth 21.
Pre-surgical situation. Teeth 26 and 27 missing.
Extraction of tooth 21 after endodontic treatment
Pre-surgical probing reveals a deep intrabony defect on the distal aspect of the upper canine.
Initial clinical situation with single tooth gap in regio 21
Pre-operative radiographic view. Intrabony defect on the distal aspect of the lateral incisor.
Clinical situation before extraction and implantation
Pre-operative radiographic view.







