-
01/19 - Initial clinical situation with gum recession and labial bone loss eight weeks following tooth extraction
GBR with cerabone® and Jason® membrane in the front tooth region - Dr. H. Maghaireh
-
02/19 - Elevation of a buccal mucoperiosteal flap
GBR with cerabone® and Jason® membrane in the front tooth region - Dr. H. Maghaireh
-
03/19 - Placement of a Straumann 4.1 x 14 mm Roxolid SLA BLT implant within the prosthetic envelop after removal of granulation tissue
GBR with cerabone® and Jason® membrane in the front tooth region - Dr. H. Maghaireh
-
04/19 - Exposed implant threads were covered with autogenous bone chips harvested with a bone scraper from adjacent area
GBR with cerabone® and Jason® membrane in the front tooth region - Dr. H. Maghaireh
-
05/19 - Cutting of Jason® membrane with a template
GBR with cerabone® and Jason® membrane in the front tooth region - Dr. H. Maghaireh
-
06/19 - Hydration of cerabone® (0.5-1.0 mm) with saline
GBR with cerabone® and Jason® membrane in the front tooth region - Dr. H. Maghaireh
-
07/19 - Application of cerabone® (0.5-1.0 mm) to create convexity
GBR with cerabone® and Jason® membrane in the front tooth region - Dr. H. Maghaireh
-
08/19 - Application of cerabone® (0.5-1.0 mm) to create convexity
GBR with cerabone® and Jason® membrane in the front tooth region - Dr. H. Maghaireh
-
09/19 - Application of cerabone® (0.5-1.0 mm) to create convexity
GBR with cerabone® and Jason® membrane in the front tooth region - Dr. H. Maghaireh
-
10/19 - Coverage of the augmented area with Jason® membrane
GBR with cerabone® and Jason® membrane in the front tooth region - Dr. H. Maghaireh
-
11/19 - Augmentation site covered with Jason® membrane
GBR with cerabone® and Jason® membrane in the front tooth region - Dr. H. Maghaireh
-
12/19 - Flap closure following a transmucosal approach
GBR with cerabone® and Jason® membrane in the front tooth region - Dr. H. Maghaireh
-
13/19 - Placement of a temporary fixed adhesive Rochette
GBR with cerabone® and Jason® membrane in the front tooth region - Dr. H. Maghaireh
-
14/19 - Clinical situation after 12 weeks healing time
GBR with cerabone® and Jason® membrane in the front tooth region - Dr. H. Maghaireh
-
15/19 - Clinical situation after removal of the healing abutment
GBR with cerabone® and Jason® membrane in the front tooth region - Dr. H. Maghaireh
-
16/19 - Peri-implant soft tissue after sculpturing with a lab made screw retained temporary crown
GBR with cerabone® and Jason® membrane in the front tooth region - Dr. H. Maghaireh
-
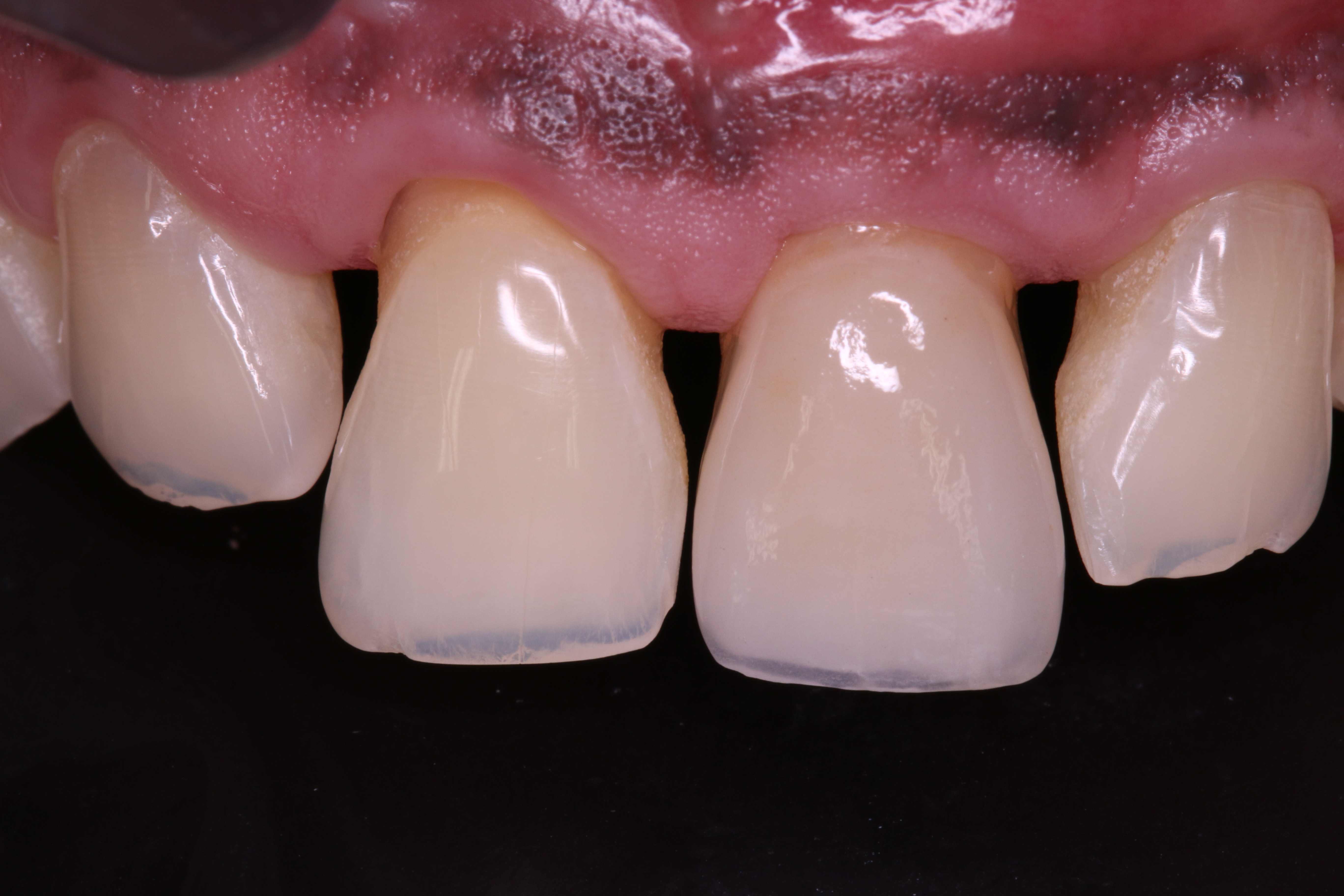
17/19 - Fitting of the final crown 10 weeks later
GBR with cerabone® and Jason® membrane in the front tooth region - Dr. H. Maghaireh
-
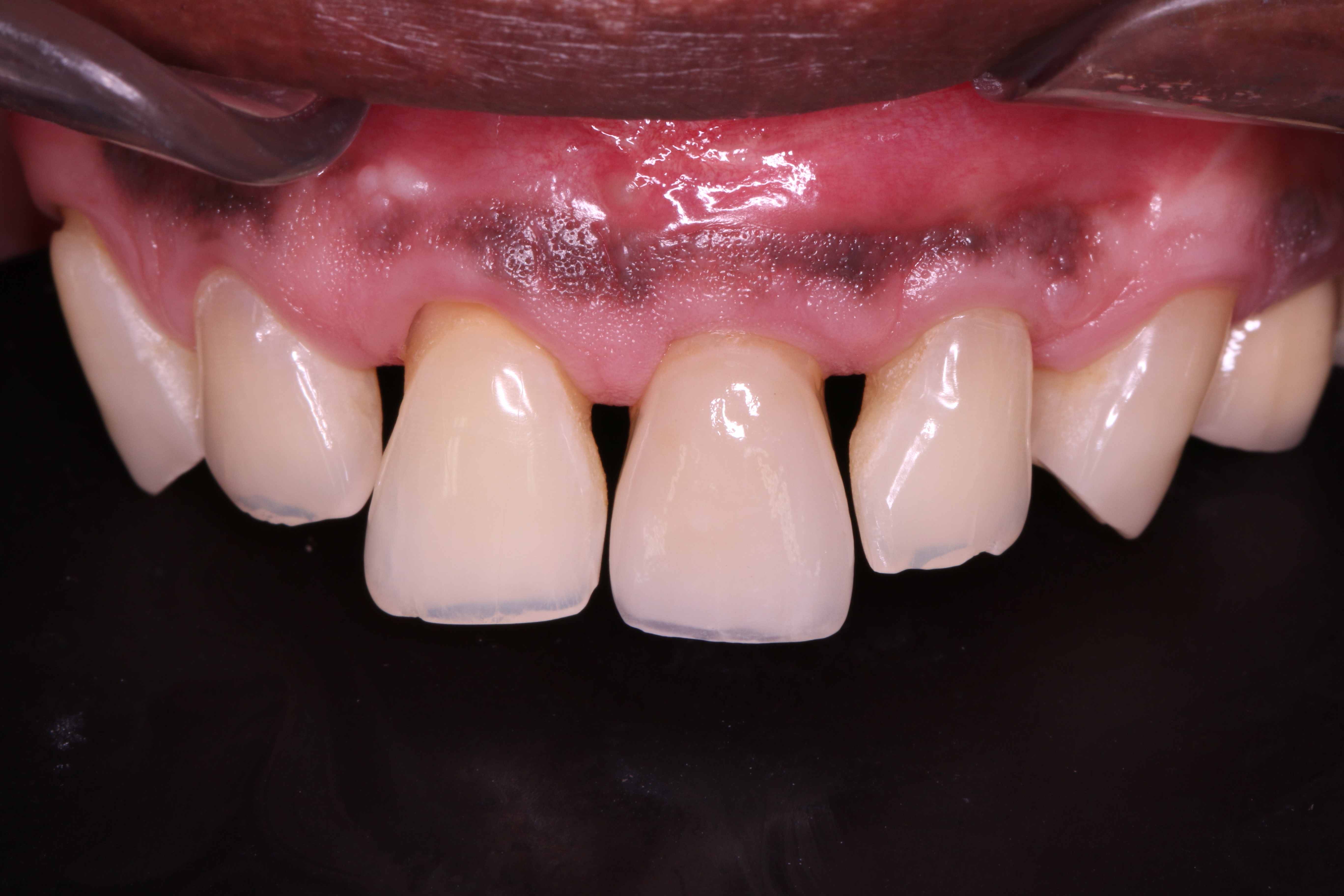
18/19 - Fitting of the final crown 10 weeks later
GBR with cerabone® and Jason® membrane in the front tooth region - Dr. H. Maghaireh
-
19/19 - Peri-implant bone stability one year post-op
GBR with cerabone® and Jason® membrane in the front tooth region - Dr. H. Maghaireh