Application of mucoderm® for soft tissue management around single implants at second stage surgery Dr. C. De Annuntiis
-
1/17 - Initial clinical situation showing tooth 45 not worth preservingApplication of mucoderm® for soft tissue management around single implants at second stage surgery Dr. C. De Annuntiis
-
2/17 - Occlusal view of initial clinical situationApplication of mucoderm® for soft tissue management around single implants at second stage surgery Dr. C. De Annuntiis
-
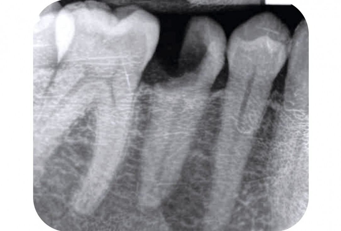
3/17 - X- ray presenting defectApplication of mucoderm® for soft tissue management around single implants at second stage surgery Dr. C. De Annuntiis
-
4/17 - Atraumatic tooth extractionApplication of mucoderm® for soft tissue management around single implants at second stage surgery Dr. C. De Annuntiis
-
5/17 - Healing of the extraction socket at 3 monthsApplication of mucoderm® for soft tissue management around single implants at second stage surgery Dr. C. De Annuntiis
-
6/17 - Control X-rayApplication of mucoderm® for soft tissue management around single implants at second stage surgery Dr. C. De Annuntiis
-
7/17 - Buccal view: interproximal tissues are stableApplication of mucoderm® for soft tissue management around single implants at second stage surgery Dr. C. De Annuntiis
-
8/17 - Crestal incision for implant placementApplication of mucoderm® for soft tissue management around single implants at second stage surgery Dr. C. De Annuntiis
-
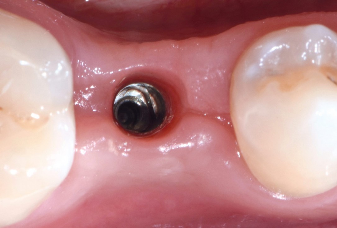
9/17 - Implant placementApplication of mucoderm® for soft tissue management around single implants at second stage surgery Dr. C. De Annuntiis
-
10/17 - Healing at 2 months: insufficient buccal volumeApplication of mucoderm® for soft tissue management around single implants at second stage surgery Dr. C. De Annuntiis
-
11/17 - Implant surrounded by bone: it´s possible to augment just soft tissueApplication of mucoderm® for soft tissue management around single implants at second stage surgery Dr. C. De Annuntiis
-
12/17 - Application of mucoderm® and fixation of the matrix to the lingual flapApplication of mucoderm® for soft tissue management around single implants at second stage surgery Dr. C. De Annuntiis
-
13/17 - Tension free wound closure, note a little area left exposedApplication of mucoderm® for soft tissue management around single implants at second stage surgery Dr. C. De Annuntiis
-
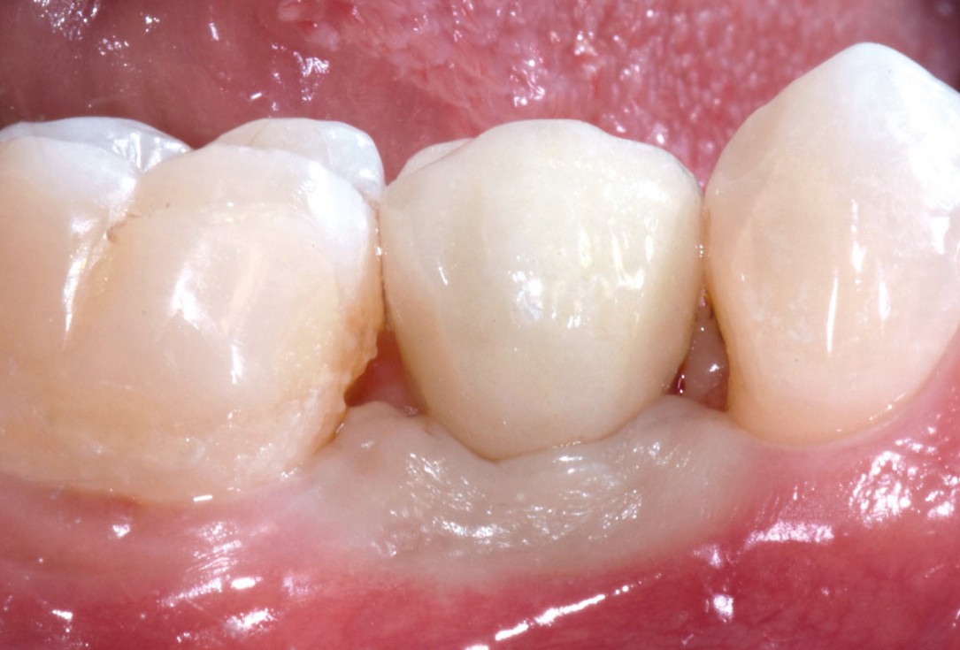
14/17 - Aesthetically healed soft tissue after 1 monthApplication of mucoderm® for soft tissue management around single implants at second stage surgery Dr. C. De Annuntiis
-
15/17 - Provisional crown placed to shape the soft tissueApplication of mucoderm® for soft tissue management around single implants at second stage surgery Dr. C. De Annuntiis
-
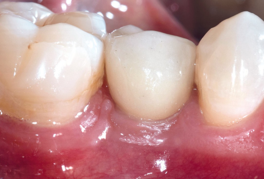
16/17 - Follow up at 2 years presenting stable soft tissues with final restorationApplication of mucoderm® for soft tissue management around single implants at second stage surgery Dr. C. De Annuntiis
-
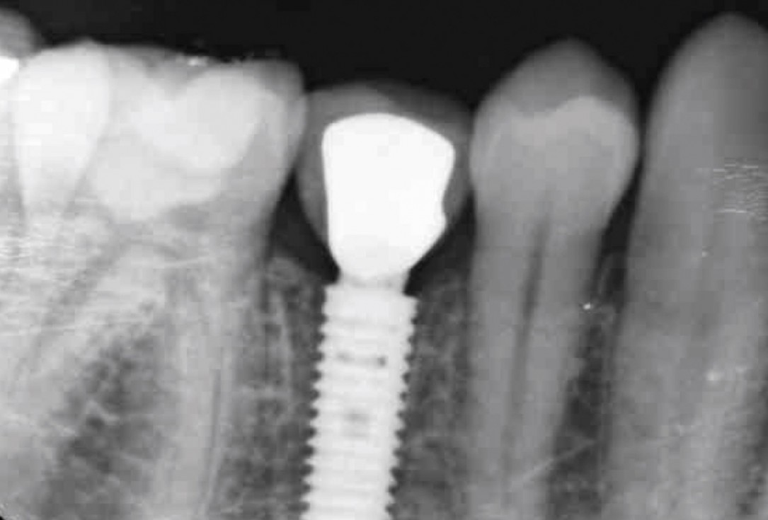
17/17 - X-ray at 2 years presenting stable hard tissuesApplication of mucoderm® for soft tissue management around single implants at second stage surgery Dr. C. De Annuntiis
Extraction of tooth 44
Pre-surgical clinical situation. Multiple adjacent gingival recessions at teeth 12,13 and 14.
Initial clinical situation. Multiple adjacent gingival recessions in regio 11-13.
Pre-operative clinical situation. Gingival recession at the first premolar.
Insufficient keratinized mucosa and extremely shallow vestibule on the maxilla
Initial clinical situation
Initial clinical situation
Initial clinical situation with lack of keratinized tissue
Lack of sufficient keratinized mucosa following extensive horizontal ridge augmentation
Pre-operative clinical situation. Multiple adjacent gingival recessions.
Longitudinal fracture on the root resected tooth 21 with visible buccal fistula
Tooth extraction due to root fracture
Drilling template for guided implant placement
Clinical situation before extraction
Initial situation: missing teeth #11 & 12 and badly broken #21 root
Initial clinical situation with Miller class 1 recession
Initial view of the case. Discoloration of 1.1 and mild class I gingival recession
Preoperative situation – Maxillary defect in area 14-16 (loss of implant 16 due to periimplantitis, tooth 14 extracted recently and area 15 already edentulous for a while)
Initial clinical situation shows an odontogenic fibroma that was growing for years
Initial clinical situation with pronounced vertical and horizontal bone defect
Initial clinical situation - Central incisors with dental destruction and periapical pathology
Situation before extraction of the teeth
Multiple adjacent gingival recessions.
Pre-surgical situation. Multiple adjacent gingival recessions at teeth 12, 13 and 14.
Pre-operative clinical view. Multiple adjacent gingival recessions.
Initial clinical situation with narrow ridge
Pre-operative clinical situation. Gingival recessions at teeth 11 and 21.
Initial clinical situation
X-ray shows a 3-dimensional periondontal defect
Clinical situation before surgery
Baseline clinical situation, frontal view.
X-ray showing endodontic failure of the molar
Initial clinical situation showing severe soft tissue loss
Alveolar socket before soft and hard tissue augmentation
Clinical situation
Initial clinical situation showing strongly compromised tooth 21
Initial view of the clinical case: Class III malocclusion
Treatment plan: Regenerative corticotomy (PAOO)
Initial clinical view of the case. Soft tissue dehiscence around implants 26.
Initial situation displaying insufficient bone width
Occlusal view of attached maxgraft® cortico at the buccal site
Initial situation before surgery. Patient lost central incisors 1 month ago due to endodontic failures
Initial clinical situation
Gingival recession at tooth 13. Free gingival graft (FGG) of a previous surgery for root coverage visible.
Initial clinical situation
Pre-surgical clinical situation. Deep gingival recessions at both upper canine.
Initial clinical situation with traumatic loss of tooth 21
Pre-operative clinical situation. Shallow multiple adjacent gingival recessions in the first quadrant.
Initial clinical situation
X-ray of initial clinical situation
Multiple adjacent recessions in the upper jaw.
recession on tooth 11
Full-thickness flap preparation bucally and lingually
Intact socket following atraumatic tooth extraction
X-ray control before tooth extraction
Bone defect in area 11-21 due to two lost implants (periimplantitis) after 15 years of function
Pre-operative clinical situation: changed color in the gingiva in the front maxilla
Initial clinical situation showing tooth 45 not worth preserving
Initial situation - A young female 34 years old lost her front teeth in an surfing accident and she had a 5 unit bridge supported by her upper left lateral and right canine. The restoration failed and both supporting crowns have exposed and leaking margins.
Clinical view 8 weeks after extraction of teeth 25 and 26
















