-
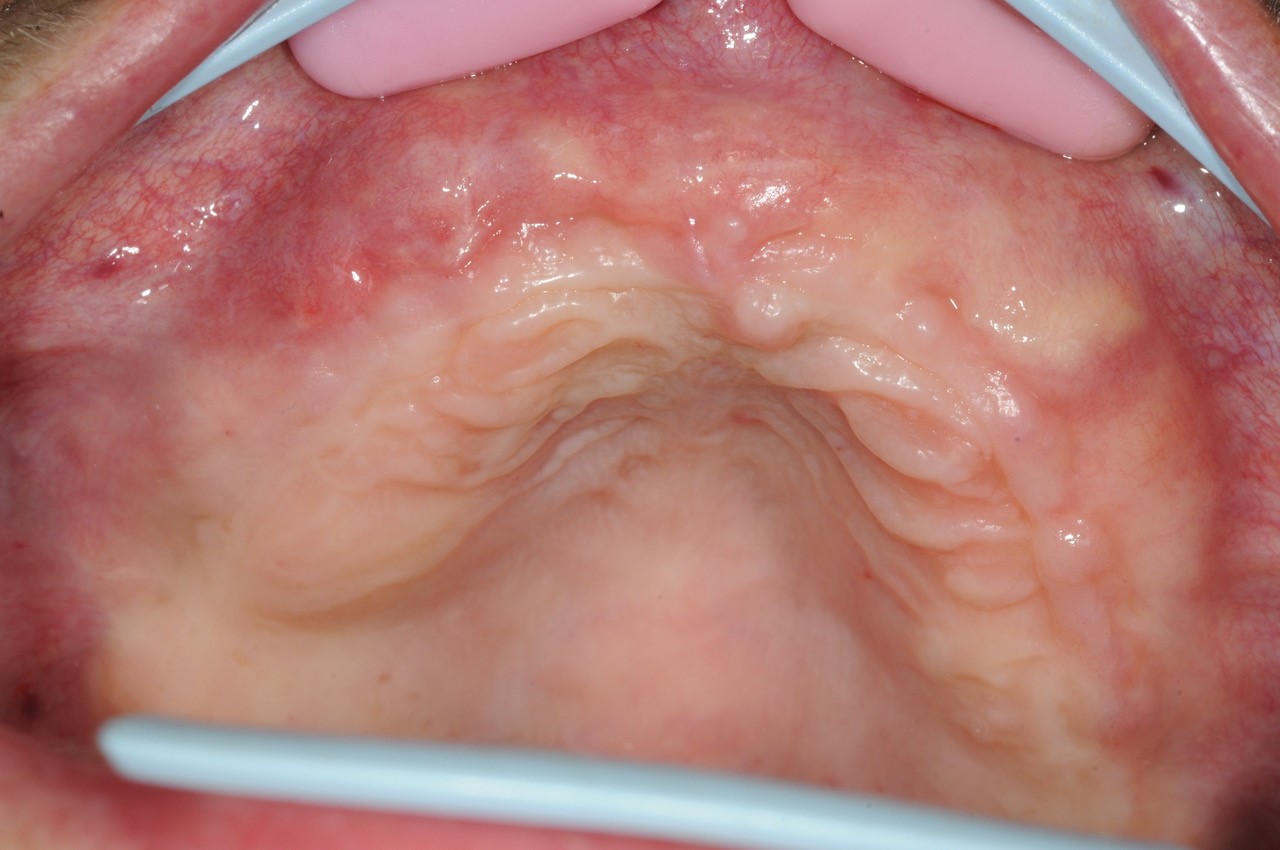
1/21 - Initial situation with severe maxillary atrophy
Reconstruction of maxillary ridge with maxgraft® block - Amit Patel
-
2/21 - Initial situation with severe maxillary atrophy
Reconstruction of maxillary ridge with maxgraft® block - Amit Patel
-
3/21 - CT scan pre-op: Thin maxillary ridge
Reconstruction of maxillary ridge with maxgraft® block - Amit Patel
-
4/21 - maxgraft® block 10x10x10mm
Reconstruction of maxillary ridge with maxgraft® block - Amit Patel
-
5/21 - Rehydration and cutted into three blocks for multiple sites
Reconstruction of maxillary ridge with maxgraft® block - Amit Patel
-
6/21 - Pre-drill and countersink screws
Reconstruction of maxillary ridge with maxgraft® block - Amit Patel
-
7/21 - Fixation of first maxgraft® block
Reconstruction of maxillary ridge with maxgraft® block - Amit Patel
-
8/21 - Fixation with two screws
Reconstruction of maxillary ridge with maxgraft® block - Amit Patel
-
09/21 - Fixation of multiple blocks with osteosynthesis screws
Reconstruction of maxillary ridge with maxgraft® block - Amit Patel
-
10/21 - Fixation of multiple blocks with screws / crestal view
Reconstruction of maxillary ridge with maxgraft® block - Amit Patel
-
11/21 - Soft tissue mobilisation
Reconstruction of maxillary ridge with maxgraft® block - Amit Patel
-
12/21 - Filling up voids with bovine bone substitute and covering the site with collagen membranes
Reconstruction of maxillary ridge with maxgraft® block - Amit Patel
-
13/21 - Single sutures and apical matress sutures to reduce tension from the lip
Reconstruction of maxillary ridge with maxgraft® block - Amit Patel
-
14/21 - 4 weeks post-op removal of sutures in order to prevent late dehiscence
Reconstruction of maxillary ridge with maxgraft® block - Amit Patel
-
15/21 - 6 months post-op uneventful healing
Reconstruction of maxillary ridge with maxgraft® block - Amit Patel
-
16/21 - 6 months post-op uneventful healing / crestal view
Reconstruction of maxillary ridge with maxgraft® block - Amit Patel
-
17/21 - CT scan 6 months post-op: Stable bone with Ø 8mm width
Reconstruction of maxillary ridge with maxgraft® block - Amit Patel
-
18/21 - 6 months post-op: situation at re-entry shows stable bone
Reconstruction of maxillary ridge with maxgraft® block - Amit Patel
-
19/21 - Stable bone with approx. 3 mm horizontal bone gain
Reconstruction of maxillary ridge with maxgraft® block - Amit Patel
-
20/21 - Stable bone with approx. 3 mm horizontal bone gain
Reconstruction of maxillary ridge with maxgraft® block - Amit Patel
-
21/21 - Before and after CT scan: approx. 3 mm bone gain
Reconstruction of maxillary ridge with maxgraft® block - Amit Patel