Socket preservation with permamem® and maxgraft® granules - Dr. P. Di Capua

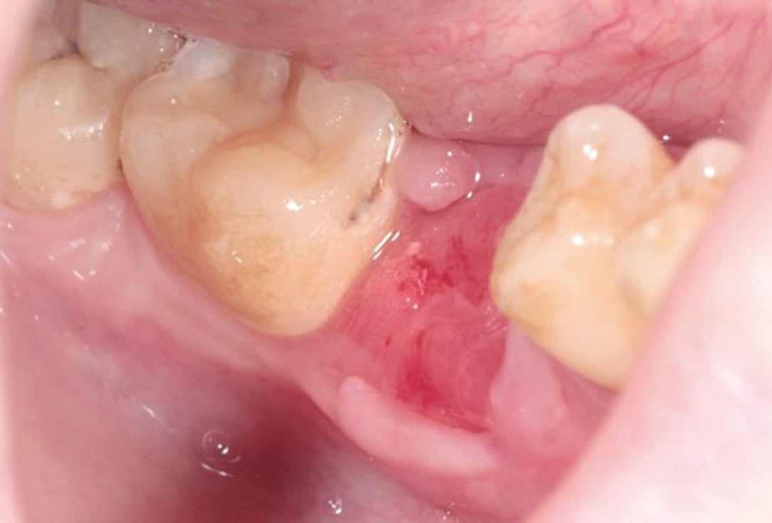
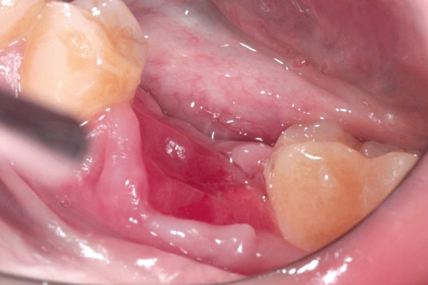
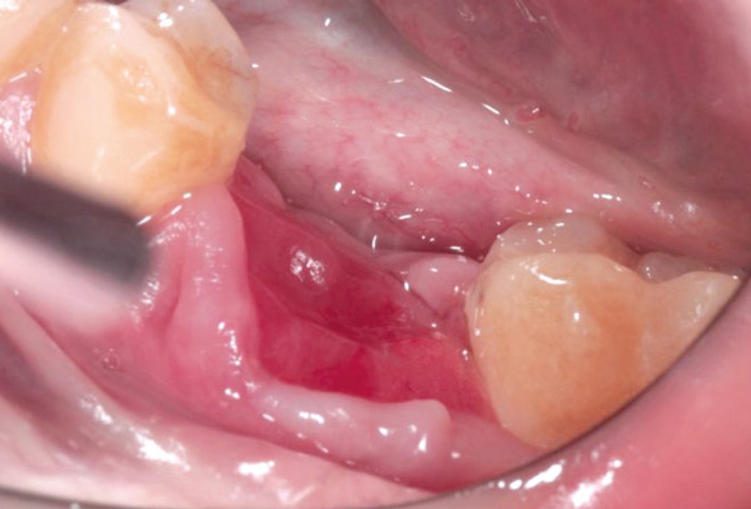
Socket preservation with permamem® - Dr. R. Rannula

Situation after tooth extraction.

Delayed implant placement with GBR and soft tissue augmentation at the aesthetic area  -  2 years follow up – Dr. H. Maghaireh & Dr. V. Ivancheva

Initial situation - broken and missing upper right central incisor (UR1). This tooth was removed long time ago and there were signs of bone loss and resorption due to the bone remodelling. Patient was also undergoing orthodontic treatment due to the loss of mesio-distal space.