-
01/10 - Alveolar socket before soft and hard tissue augmentation
Socket augmentation using mucoderm®, maxgraft® and Straumann® Emdogain® - Dr. A. Puišys
-
02/10 - mucoderm® cut into shape
Socket augmentation using mucoderm®, maxgraft® and Straumann® Emdogain® - Dr. A. Puišys
-
03/10 - mucoderm® placed inside the alveole for buccal soft tissue augmentation
Socket augmentation using mucoderm®, maxgraft® and Straumann® Emdogain® - Dr. A. Puišys
-
04/10 - Occlusal view
Socket augmentation using mucoderm®, maxgraft® and Straumann® Emdogain® - Dr. A. Puišys
-
05/10 - Socket augmented with maxgraft® granules coated with Straumann® Emdogain®
Socket augmentation using mucoderm®, maxgraft® and Straumann® Emdogain® - Dr. A. Puišys
-
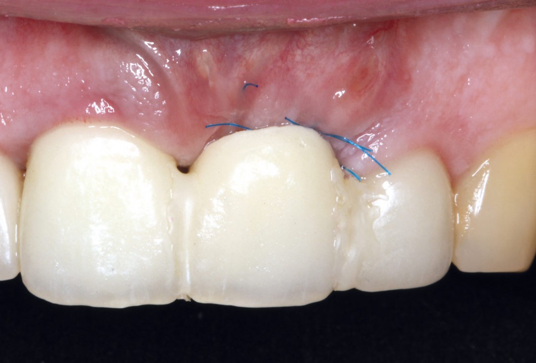
06/10 - Suturing; mucoderm® partially left exposed
Socket augmentation using mucoderm®, maxgraft® and Straumann® Emdogain® - Dr. A. Puišys
-
07/10 - Lateral view
Socket augmentation using mucoderm®, maxgraft® and Straumann® Emdogain® - Dr. A. Puišys
-
08/10 - Situation one week later
Socket augmentation using mucoderm®, maxgraft® and Straumann® Emdogain® - Dr. A. Puišys
-
09/10 - Situation four months post-operative
Socket augmentation using mucoderm®, maxgraft® and Straumann® Emdogain® - Dr. A. Puišys
-
10/10 - Radiographic control after implant placement
Socket augmentation using mucoderm®, maxgraft® and Straumann® Emdogain® - Dr. A. Puišys