-
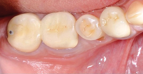
1/11 - Tooth extraction due to root fracture
Sealing of an extraction socket with mucoderm® - Dr. M. Frosecchi
-
2/11 - Atraumatic tooth extraction with intact bony walls
Sealing of an extraction socket with mucoderm® - Dr. M. Frosecchi
-
3/11 - Blood clot stabilization with mucoderm®
Sealing of an extraction socket with mucoderm® - Dr. M. Frosecchi
-
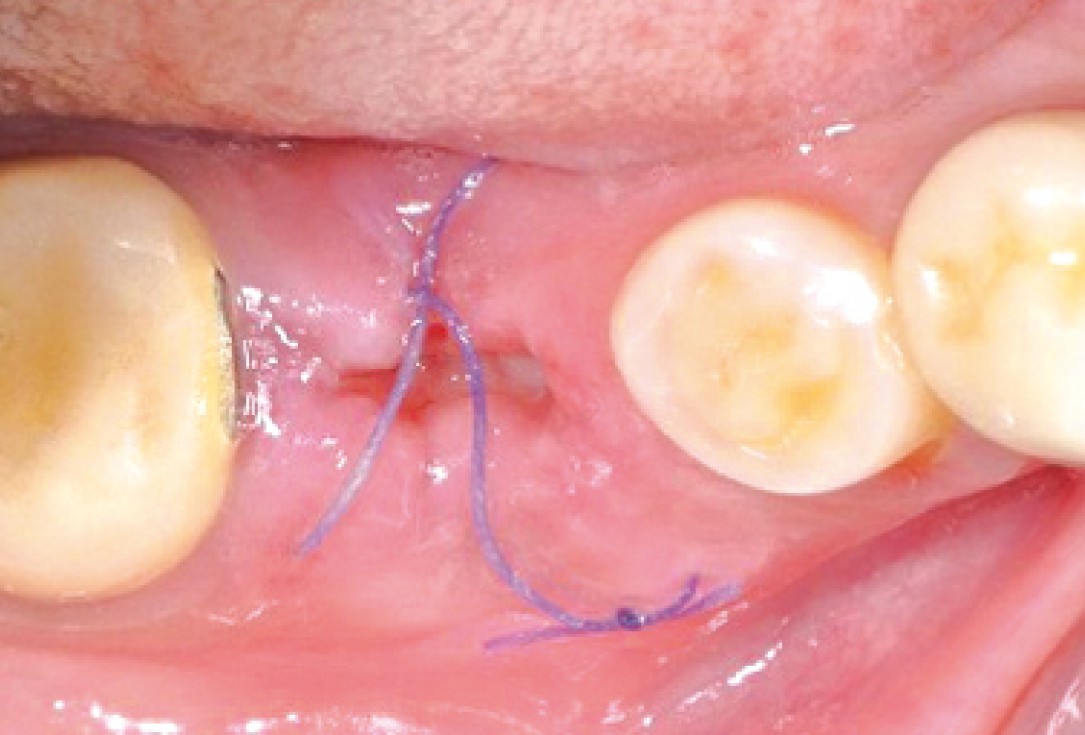
4/11 - Fixation with a cross-suture
Sealing of an extraction socket with mucoderm® - Dr. M. Frosecchi
-
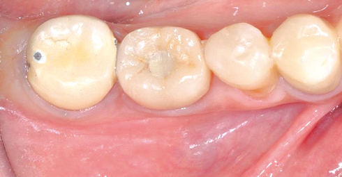
5/11 - Situation at 7 days postoperative
Sealing of an extraction socket with mucoderm® - Dr. M. Frosecchi
-
6/11 - Situation at 60 days postoperative
Sealing of an extraction socket with mucoderm® - Dr. M. Frosecchi
-
7/11 - Implant insertion
Sealing of an extraction socket with mucoderm® - Dr. M. Frosecchi
-
8/11 - Application of the healing cap
Sealing of an extraction socket with mucoderm® - Dr. M. Frosecchi
-
9/11 - Soft tissue conditioning
Sealing of an extraction socket with mucoderm® - Dr. M. Frosecchi
-
10/11 - Placement of ceramic crown
Sealing of an extraction socket with mucoderm® - Dr. M. Frosecchi
-
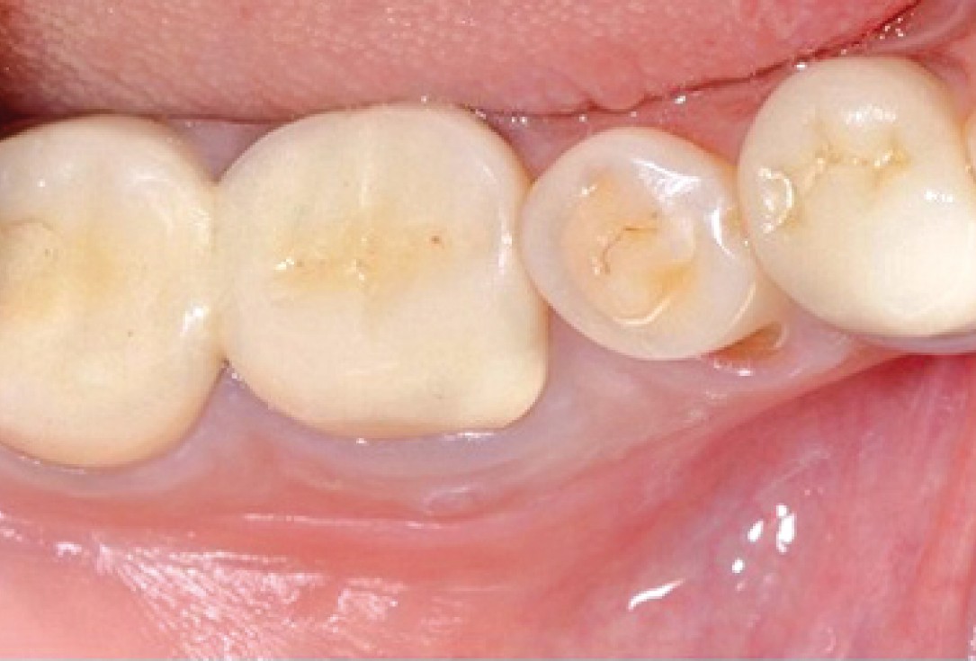
11/11 - Final restoration
Sealing of an extraction socket with mucoderm® - Dr. M. Frosecchi