-
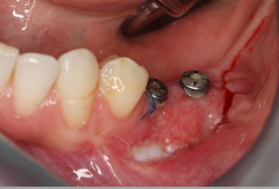
1/5 - Initial clinical situation with loss of attached gingiva around the implants and shallow vestibule
Augmentation of the peri-implant attached gingiva in the posterior mandible with mucoderm®- Dr. Dr. A. Stricker
-
2/5 - Fixation of mucoderm® to the periosteum with cross-sutures and open-healing
Augmentation of the peri-implant attached gingiva in the posterior mandible with mucoderm®- Dr. Dr. A. Stricker
-
3/5 - Wound healing 2 weeks post-operative
Augmentation of the peri-implant attached gingiva in the posterior mandible with mucoderm®- Dr. Dr. A. Stricker
-
4/5 - Healing 4 weeks post-operative
Augmentation of the peri-implant attached gingiva in the posterior mandible with mucoderm®- Dr. Dr. A. Stricker
-
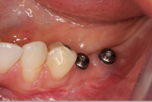
5/5 - Newly formed soft tissue 3 months post-operative
Augmentation of the peri-implant attached gingiva in the posterior mandible with mucoderm®- Dr. Dr. A. Stricker