Immediate implant placement using cerabone® and collagen fleece - Dr. D. Jelušić

Immediate implantation with maxresorb® inject - Dr. D. Jelušić

Preoperative Ortopantomogram of the teeth planned for extraction

Restoration of all four incisors with two maxgraft® bonering - Dr. B Giesenhagen

Initial situation pre-op: Central incisors with mobility 3

cerabone® and mucoderm® for immediacy in esthetic zone -Dr. M Motta

Initial view of the case. Discoloration of 1.1 and mild class I gingival recession

Multiple socket preservation in the maxilla with collacone® max – Dr. D. Jelušić

Pre-operative OPG, teeth 24, 25, and 26 planned for extraction

cerabone® and mucoderm® for immediate implantation in the aesthetic area - Dr. D. Robles

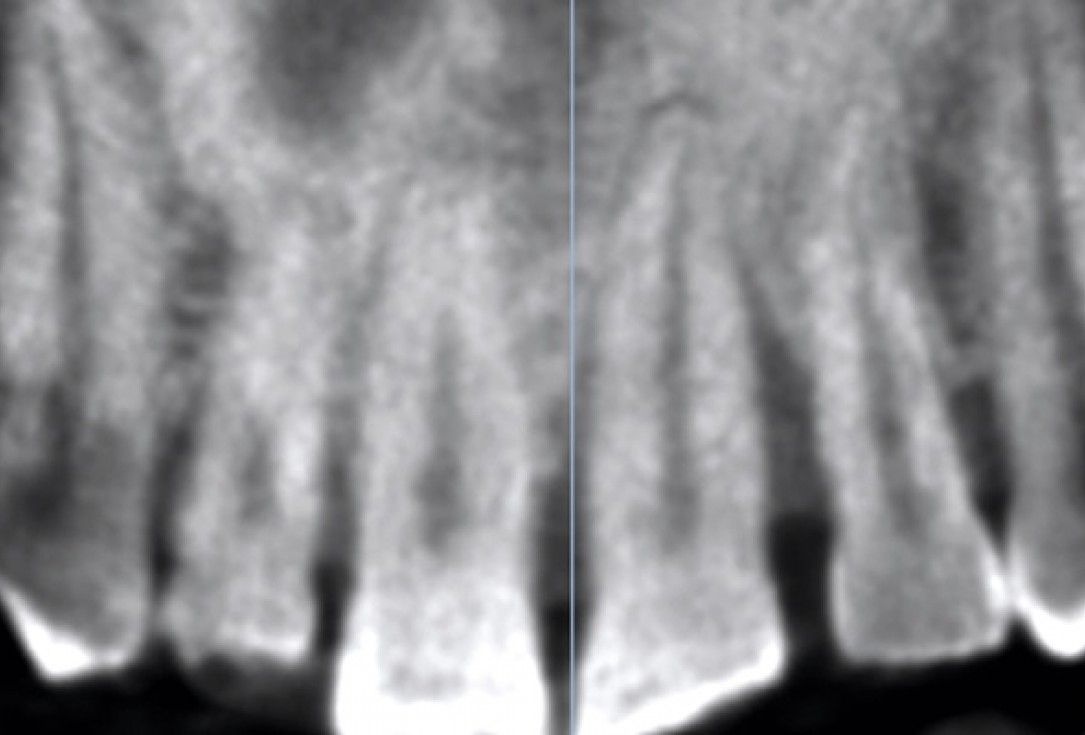
Initial clinical situation - Central incisors with dental destruction and periapical pathology