-
01/12 - Initial situation with fractured central incisors
Immediate implant placement and periimplant bone augmentation using cerabone® - Dr. R. Kern
-
02/12 - Situation after tooth removal
Immediate implant placement and periimplant bone augmentation using cerabone® - Dr. R. Kern
-
03/12 - Temporary abutments in place
Immediate implant placement and periimplant bone augmentation using cerabone® - Dr. R. Kern
-
04/12 - Temporary restoration
Immediate implant placement and periimplant bone augmentation using cerabone® - Dr. R. Kern
-
05/12 - Soft tissue situation. Buccal soft tissue augmentation planned at 21
Immediate implant placement and periimplant bone augmentation using cerabone® - Dr. R. Kern
-
06/12 - Connective tissue graft in preparation for application
Immediate implant placement and periimplant bone augmentation using cerabone® - Dr. R. Kern
-
07/12 - Connective tissue graft applied and periimplant bone augmentation using small cerabone® granules
Immediate implant placement and periimplant bone augmentation using cerabone® - Dr. R. Kern
-
08/12 - Post-surgery
Immediate implant placement and periimplant bone augmentation using cerabone® - Dr. R. Kern
-
09/12 - Situation 90 days post-operative, occlusal view
Immediate implant placement and periimplant bone augmentation using cerabone® - Dr. R. Kern
-
10/12 - Situation 90 days post-operative, lateral view
Immediate implant placement and periimplant bone augmentation using cerabone® - Dr. R. Kern
-
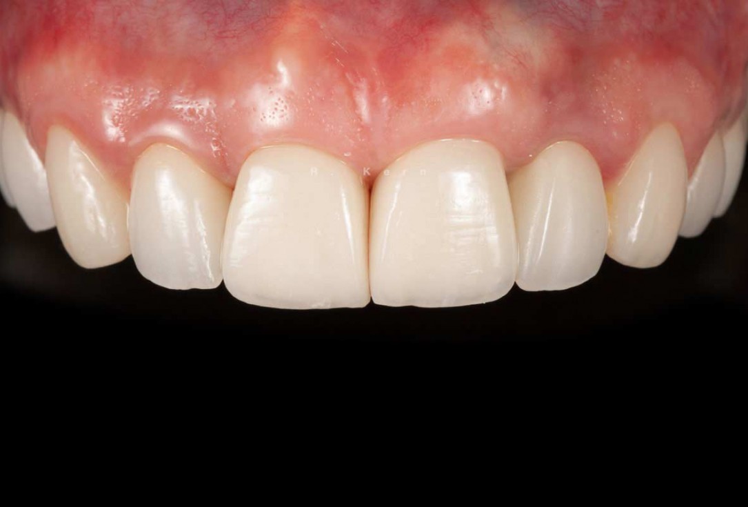
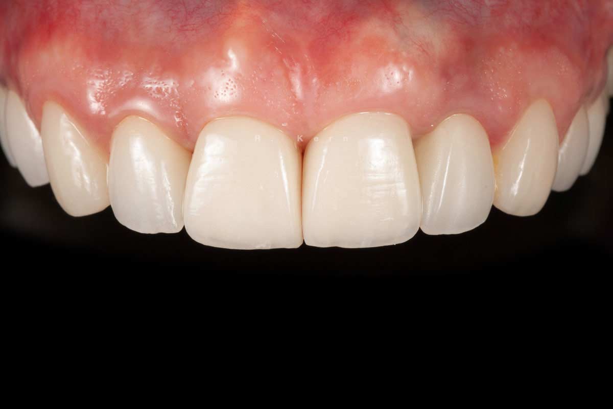
11/12 - Final restoration
Immediate implant placement and periimplant bone augmentation using cerabone® - Dr. R. Kern
-
12/12 - Radiographic follow-up
Immediate implant placement and periimplant bone augmentation using cerabone® - Dr. R. Kern