Treatment of a soft tissue deficiency with mucoderm® - Dr. F. Rojas-Vizcaya
-
1/12 - Initial clinical situation showing severe soft tissue lossTreatment of a soft tissue deficiency with mucoderm® - Dr. F. Rojas-Vizcaya
-
2/12 - Flap preparationTreatment of a soft tissue deficiency with mucoderm® - Dr. F. Rojas-Vizcaya
-
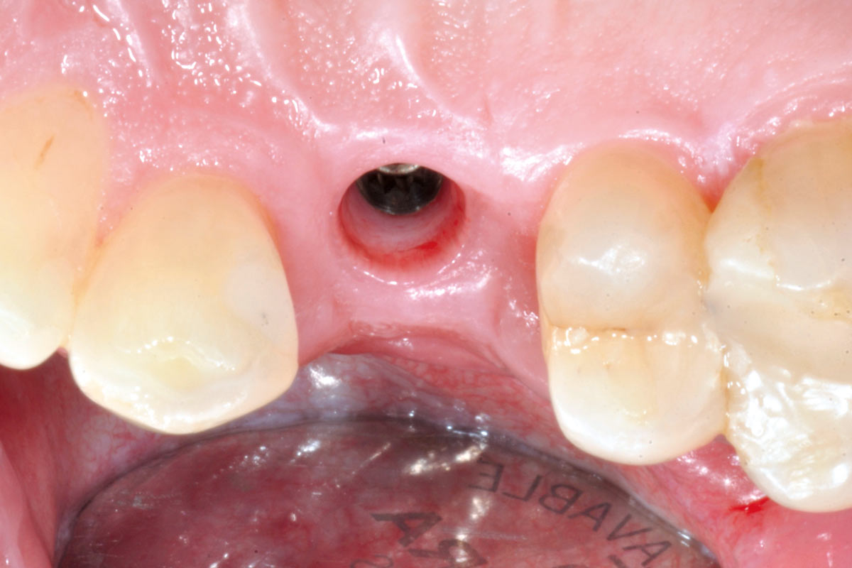
3/12 - Implant placementTreatment of a soft tissue deficiency with mucoderm® - Dr. F. Rojas-Vizcaya
-
4/12 - Punching the hydrated mucoderm®Treatment of a soft tissue deficiency with mucoderm® - Dr. F. Rojas-Vizcaya
-
5/12 - Insertion of mucoderm® into the defectTreatment of a soft tissue deficiency with mucoderm® - Dr. F. Rojas-Vizcaya
-
6/12 - Horizontal positioning of mucoderm®Treatment of a soft tissue deficiency with mucoderm® - Dr. F. Rojas-Vizcaya
-
7/12 - Fixation of the matrix with the healing capTreatment of a soft tissue deficiency with mucoderm® - Dr. F. Rojas-Vizcaya
-
8/12 - Horizontal and vertical augmentation of the defectTreatment of a soft tissue deficiency with mucoderm® - Dr. F. Rojas-Vizcaya
-
9/12 - Fixation of mucoderm® with suturesTreatment of a soft tissue deficiency with mucoderm® - Dr. F. Rojas-Vizcaya
-
10/12 - Wound closureTreatment of a soft tissue deficiency with mucoderm® - Dr. F. Rojas-Vizcaya
-
11/12 - Wound closure lateral viewTreatment of a soft tissue deficiency with mucoderm® - Dr. F. Rojas-Vizcaya
-
12/12 - Healed soft tissue at 4 monthsTreatment of a soft tissue deficiency with mucoderm® - Dr. F. Rojas-Vizcaya
X-ray of initial clinical situation
Initial clinical situation
Initial clinical situation
Full-thickness flap preparation bucally and lingually
Initial clinical situation
Initial clinical situation
Initial clinical situation with narrow ridge
Initial clinical situation showing tooth 45 not worth preserving
Drilling template for guided implant placement
recession on tooth 11
Initial clinical situation
X-ray shows a 3-dimensional periondontal defect
Bone defect in area 11-21 due to two lost implants (periimplantitis) after 15 years of function
Probing demonstrates peri-implant pocket depth of 8 mm











