Restoration of all four incisors with maxgraft® bonebuilder - Dr. Dr. Dr. O. Blume
-
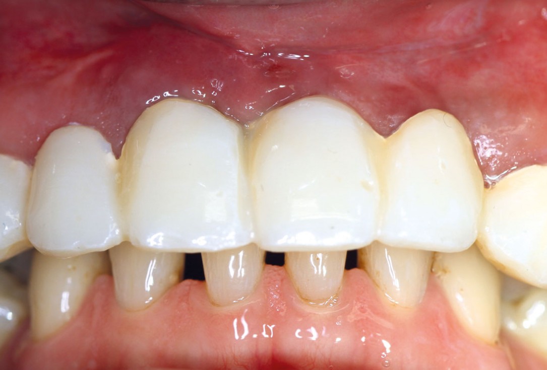
1/17 - Pre-operative clinical situation: changed color in the gingiva in the front maxillaRestoration of all four incisors with maxgraft® bonebuilder - Dr. Dr. Dr. O. Blume
-
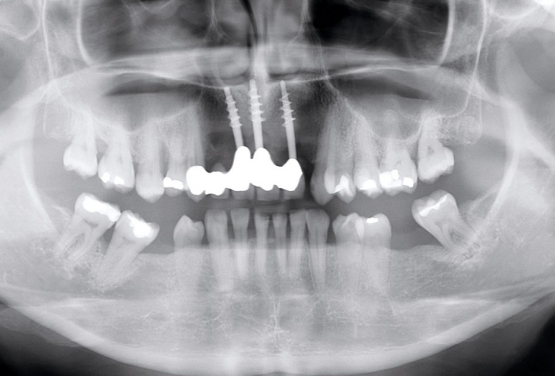
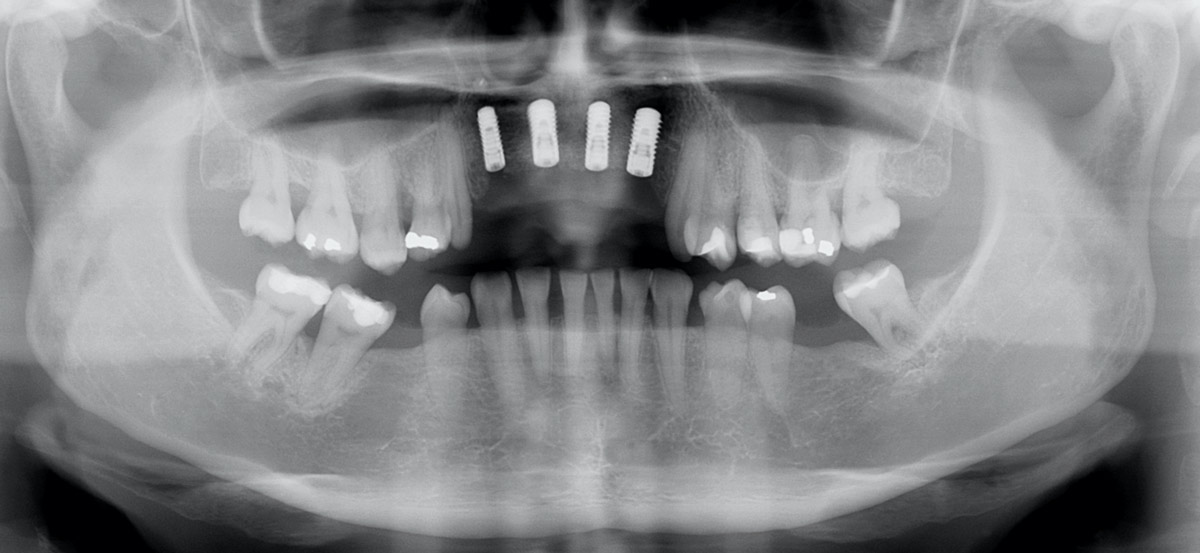
2/17 - Pre-operative x-ray scan: severe bone loss around three failing implantsRestoration of all four incisors with maxgraft® bonebuilder - Dr. Dr. Dr. O. Blume
-
3/17 - Complex bone defect with partial loss of the buccal wall after implant extractionRestoration of all four incisors with maxgraft® bonebuilder - Dr. Dr. Dr. O. Blume
-
4/17 - X-ray scan after extraction of failing implantsRestoration of all four incisors with maxgraft® bonebuilder - Dr. Dr. Dr. O. Blume
-
5/17 - Virtual three-dimensional reconstruction of the defect and bone block designRestoration of all four incisors with maxgraft® bonebuilder - Dr. Dr. Dr. O. Blume
-
6/17 - Customized CAD/CAM designed allogenic bone block: maxgraft® bonebuilderRestoration of all four incisors with maxgraft® bonebuilder - Dr. Dr. Dr. O. Blume
-
7/17 - Special “pillar incision” design used in bone augmentation procedureRestoration of all four incisors with maxgraft® bonebuilder - Dr. Dr. Dr. O. Blume
-
8/17 - Tissue situation before re-entryRestoration of all four incisors with maxgraft® bonebuilder - Dr. Dr. Dr. O. Blume
-
9/17 - Re-entry six months after GBR procedure: grafted area shows sufficient bone volume and vital tissue for implant placementRestoration of all four incisors with maxgraft® bonebuilder - Dr. Dr. Dr. O. Blume
-
10/17 - During implant placement, biopsies were taken for histological analysisRestoration of all four incisors with maxgraft® bonebuilder - Dr. Dr. Dr. O. Blume
-
11/17 - Four implants were inserted (Straumann Bone Level Roxolid®)Restoration of all four incisors with maxgraft® bonebuilder - Dr. Dr. Dr. O. Blume
-
12/17 - Vestibuloplasty was performed after implant placement using mucoderm®Restoration of all four incisors with maxgraft® bonebuilder - Dr. Dr. Dr. O. Blume
-
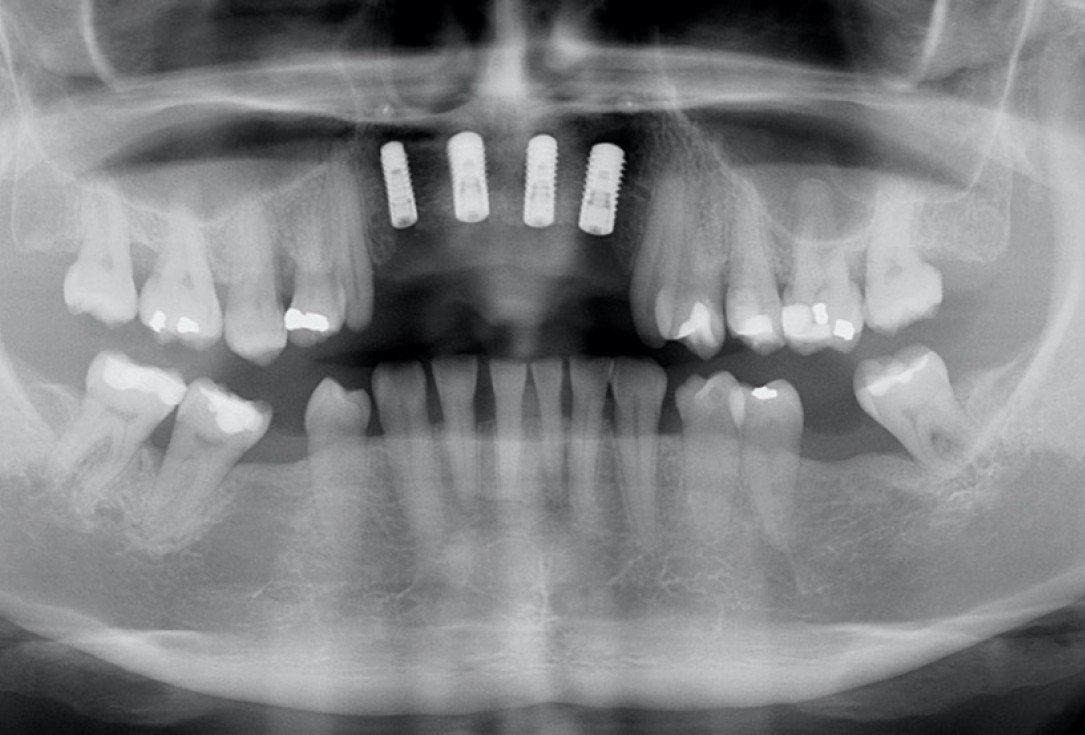
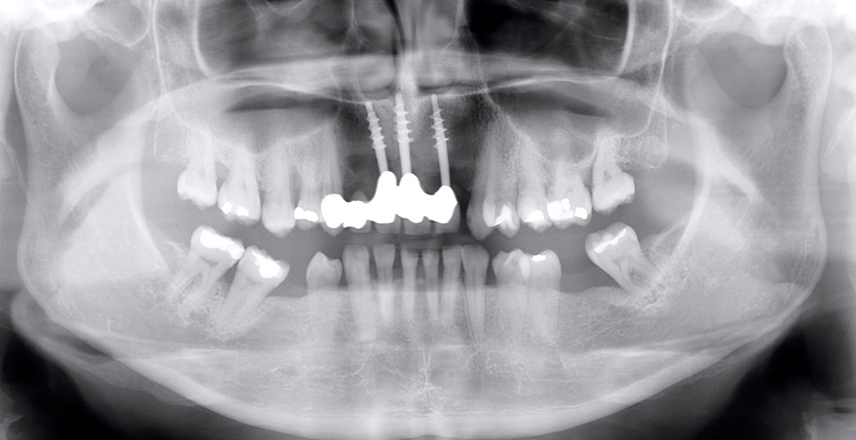
13/17 - X-ray scan after implant insertionRestoration of all four incisors with maxgraft® bonebuilder - Dr. Dr. Dr. O. Blume
-
14/17 - Re-entry: vital bone tissue around implantsRestoration of all four incisors with maxgraft® bonebuilder - Dr. Dr. Dr. O. Blume
-
15/17 - Implants were uncovered three months after placementRestoration of all four incisors with maxgraft® bonebuilder - Dr. Dr. Dr. O. Blume
-
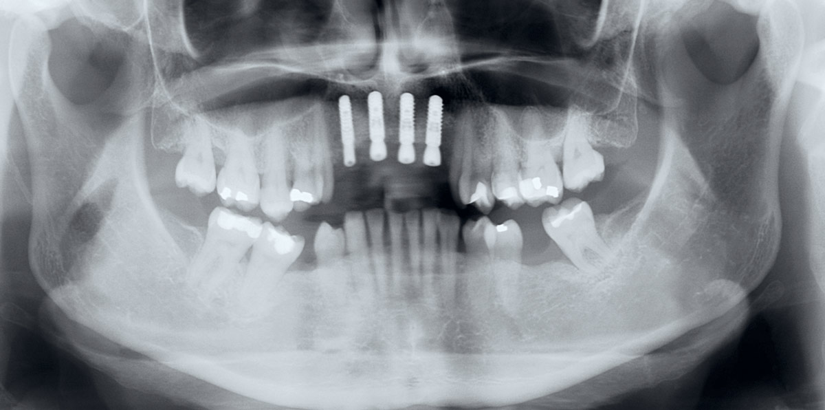
16/17 - X-ray scan after uncovering the implantsRestoration of all four incisors with maxgraft® bonebuilder - Dr. Dr. Dr. O. Blume
-
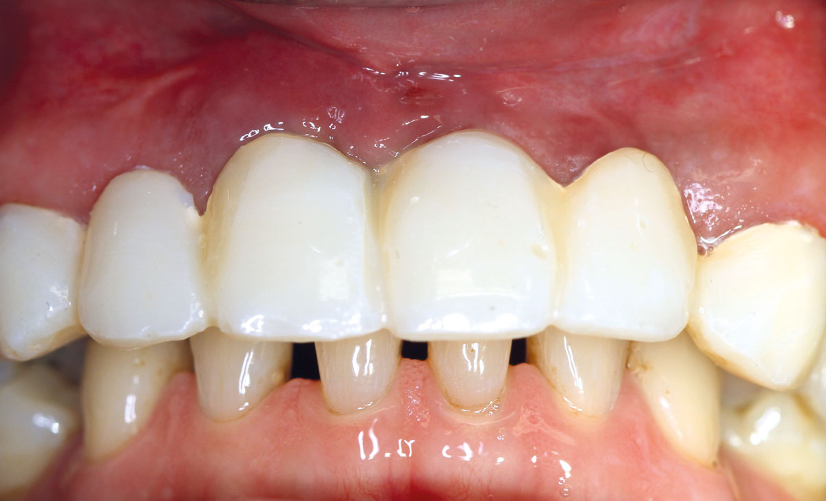
17/17 - Temporary provisionRestoration of all four incisors with maxgraft® bonebuilder - Dr. Dr. Dr. O. Blume
Extraction of tooth 44
Pre-surgical clinical situation. Multiple adjacent gingival recessions at teeth 12,13 and 14.
Initial clinical situation. Multiple adjacent gingival recessions in regio 11-13.
Pre-operative clinical situation. Gingival recession at the first premolar.
Insufficient keratinized mucosa and extremely shallow vestibule on the maxilla
Initial clinical situation
Initial clinical situation
Initial clinical situation with lack of keratinized tissue
Lack of sufficient keratinized mucosa following extensive horizontal ridge augmentation
Pre-operative clinical situation. Multiple adjacent gingival recessions.
Longitudinal fracture on the root resected tooth 21 with visible buccal fistula
Tooth extraction due to root fracture
Drilling template for guided implant placement
Clinical situation before extraction
Initial situation: missing teeth #11 & 12 and badly broken #21 root
Initial clinical situation with Miller class 1 recession
Initial view of the case. Discoloration of 1.1 and mild class I gingival recession
Preoperative situation – Maxillary defect in area 14-16 (loss of implant 16 due to periimplantitis, tooth 14 extracted recently and area 15 already edentulous for a while)
Initial clinical situation shows an odontogenic fibroma that was growing for years
Initial clinical situation with pronounced vertical and horizontal bone defect
Initial clinical situation - Central incisors with dental destruction and periapical pathology
Situation before extraction of the teeth
Multiple adjacent gingival recessions.
Pre-surgical situation. Multiple adjacent gingival recessions at teeth 12, 13 and 14.
Pre-operative clinical view. Multiple adjacent gingival recessions.
Initial clinical situation with narrow ridge
Pre-operative clinical situation. Gingival recessions at teeth 11 and 21.
Initial clinical situation
X-ray shows a 3-dimensional periondontal defect
Clinical situation before surgery
Baseline clinical situation, frontal view.
X-ray showing endodontic failure of the molar
Initial clinical situation showing severe soft tissue loss
Alveolar socket before soft and hard tissue augmentation
Clinical situation
Initial clinical situation showing strongly compromised tooth 21
Initial view of the clinical case: Class III malocclusion
Treatment plan: Regenerative corticotomy (PAOO)
Initial clinical view of the case. Soft tissue dehiscence around implants 26.
Initial situation displaying insufficient bone width
Occlusal view of attached maxgraft® cortico at the buccal site
Initial situation before surgery. Patient lost central incisors 1 month ago due to endodontic failures
Initial clinical situation
Gingival recession at tooth 13. Free gingival graft (FGG) of a previous surgery for root coverage visible.
Initial clinical situation
Pre-surgical clinical situation. Deep gingival recessions at both upper canine.
Initial clinical situation with traumatic loss of tooth 21
Pre-operative clinical situation. Shallow multiple adjacent gingival recessions in the first quadrant.
Initial clinical situation
X-ray of initial clinical situation
Multiple adjacent recessions in the upper jaw.
recession on tooth 11
Full-thickness flap preparation bucally and lingually
Intact socket following atraumatic tooth extraction
X-ray control before tooth extraction
Bone defect in area 11-21 due to two lost implants (periimplantitis) after 15 years of function
Pre-operative clinical situation: changed color in the gingiva in the front maxilla
Initial clinical situation showing tooth 45 not worth preserving
Initial situation - A young female 34 years old lost her front teeth in an surfing accident and she had a 5 unit bridge supported by her upper left lateral and right canine. The restoration failed and both supporting crowns have exposed and leaking margins.
Clinical view 8 weeks after extraction of teeth 25 and 26
















