GBR with maxresorb® & Jason® membrane - Prof. Dr. Dr. D. Rothamel

botiss maxresorb® and collprotect® membrane for bone splitting - case by Dr J Neugebauer

Surgical presentation of the alveolar ridge with reduced amount of horizontal bone available

Lateral sinus lift with maxresorb® and collprotect® membrane - Dr. Frank Kistler

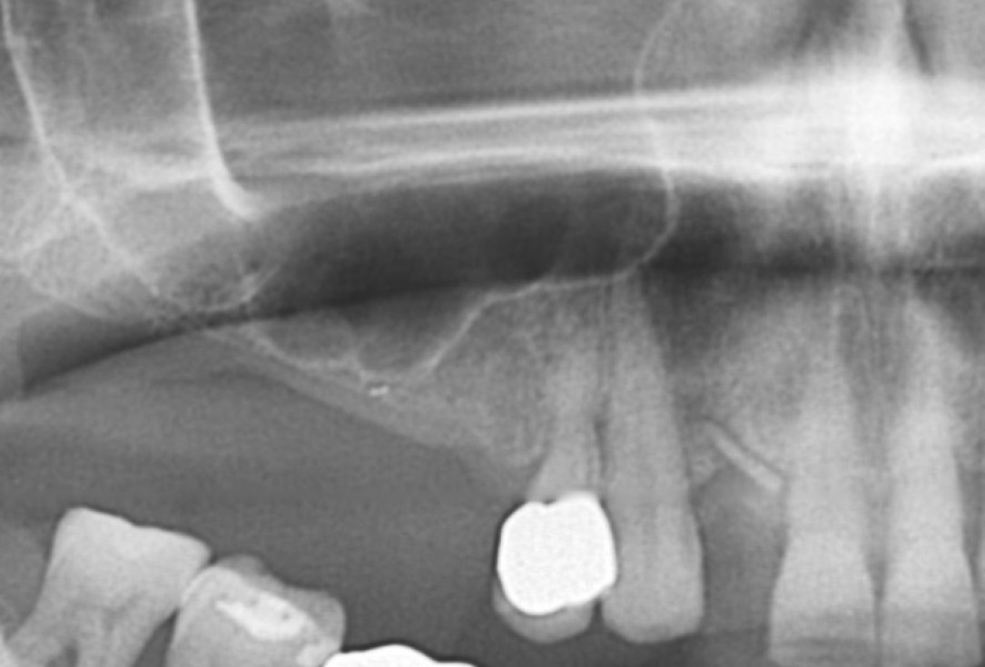
DVT control after sinusitis surgery, residual bone height 1 mm

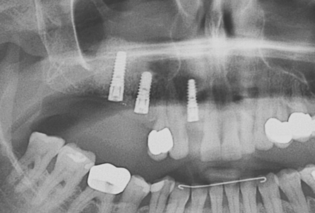
Two-stage sinus lift with maxresorb® and collprotect® - Dr. Steffen Kistler

DVT control after sinusitis surgery, residual bone height 1 mm

GBR with maxresorb® and collprotect® membrane - Dr. G. Bayer

DVT image showing the reduced amount of bone available in the area of the mental foramen

Bone augementation with maxresorb® - Dr. R. Cutts

Initial situation: Inflammated tooth #12