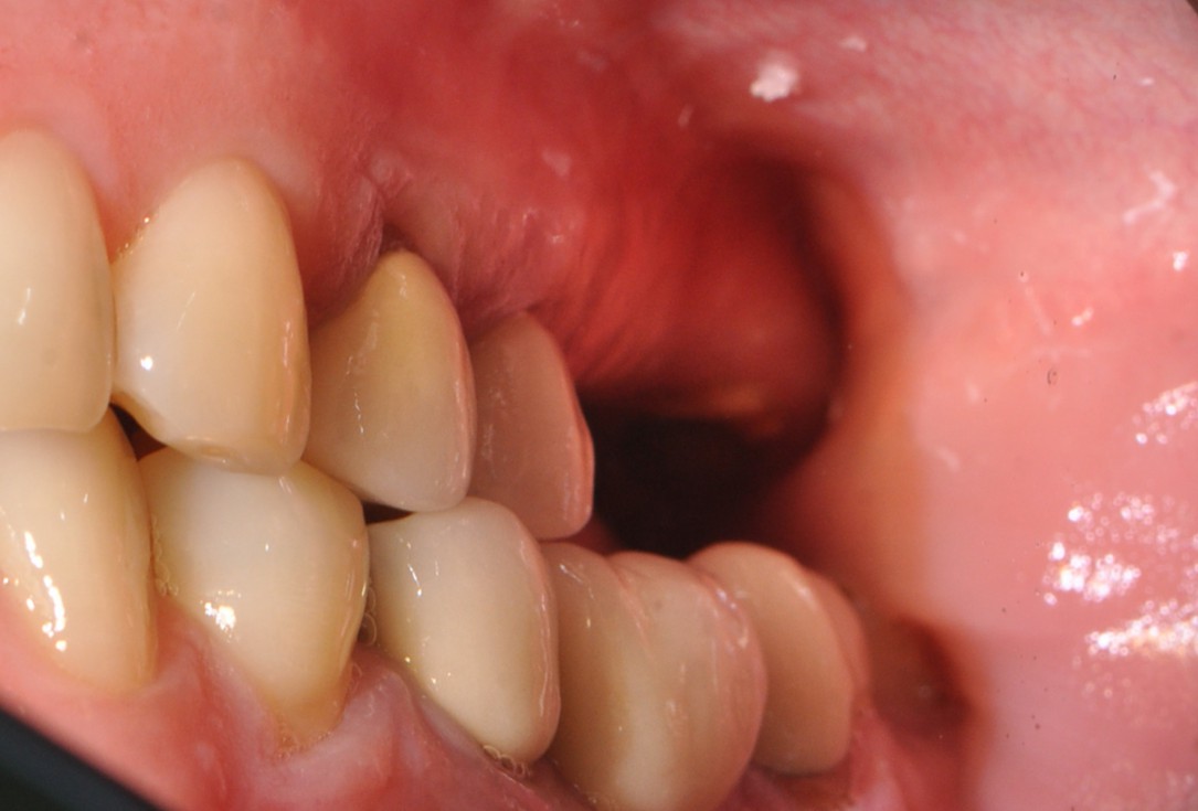
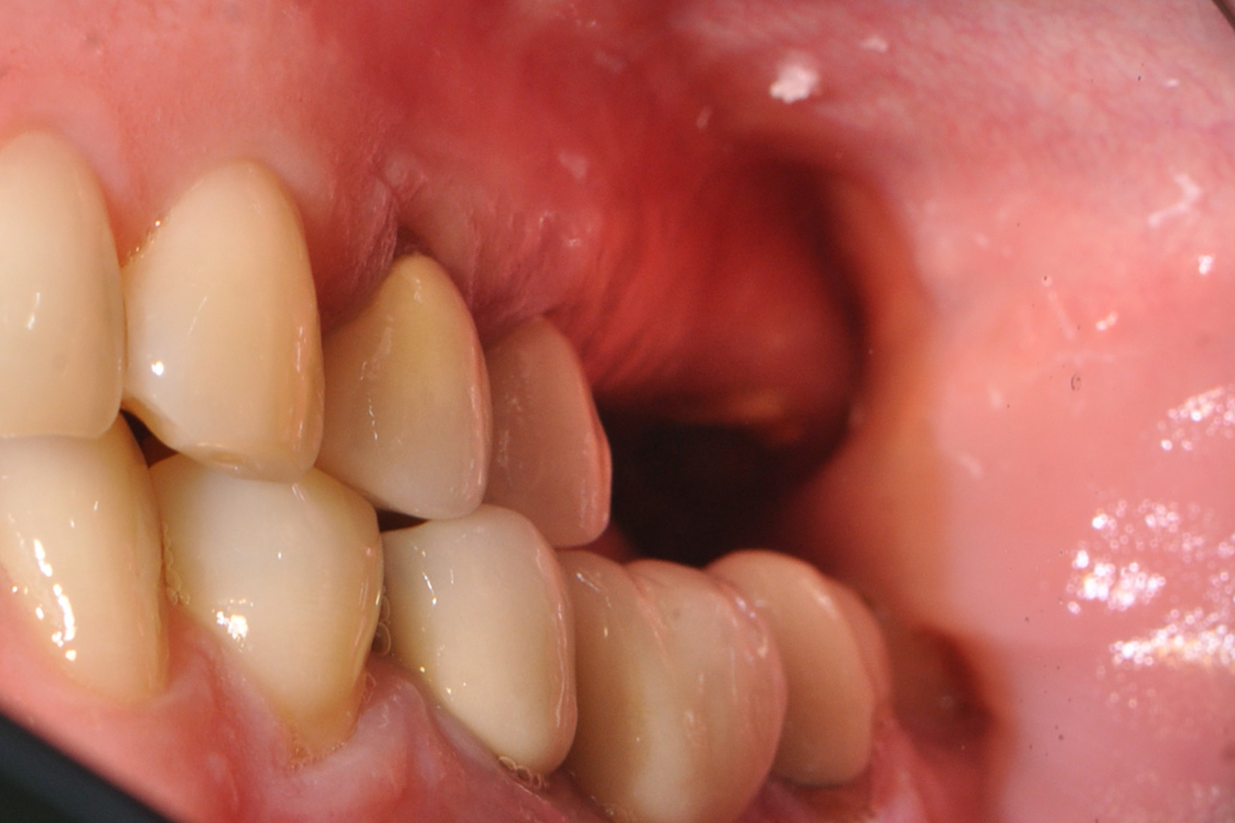
One-stage sinus lift - Dr. V. Kalenchuk