-
01/20 - Pre-operative situation.
Implant placement and ridge augmentation using autologous bone, cerabone® and permamem® - Dr. I. Bellanco
-
02/20 - Intra-operative view.
Implant placement and ridge augmentation using autologous bone, cerabone® and permamem® - Dr. I. Bellanco
-
03/20 - Occlusal view.
Implant placement and ridge augmentation using autologous bone, cerabone® and permamem® - Dr. I. Bellanco
-
04/20 - Implant placement.
Implant placement and ridge augmentation using autologous bone, cerabone® and permamem® - Dr. I. Bellanco
-
05/20 - Application of permamem®. Placement palatally in preparation for defect covering.
Implant placement and ridge augmentation using autologous bone, cerabone® and permamem® - Dr. I. Bellanco
-
06/20 - Mixing of small cerabone® granules and autologous bone chips in the ratio 50:50.
Implant placement and ridge augmentation using autologous bone, cerabone® and permamem® - Dr. I. Bellanco
-
07/20 - Buccal and crestal augmentation with the prepared bone graft.
Implant placement and ridge augmentation using autologous bone, cerabone® and permamem® - Dr. I. Bellanco
-
08/20 - Occlusal view.
Implant placement and ridge augmentation using autologous bone, cerabone® and permamem® - Dr. I. Bellanco
-
09/20 - Folding of the membrane over the augmented site and fixation of permamem® using titanium pins.
Implant placement and ridge augmentation using autologous bone, cerabone® and permamem® - Dr. I. Bellanco
-
10/20 - Occlusal view.
Implant placement and ridge augmentation using autologous bone, cerabone® and permamem® - Dr. I. Bellanco
-
11/20 - After suturing to achieve primary wound closure.
Implant placement and ridge augmentation using autologous bone, cerabone® and permamem® - Dr. I. Bellanco
-
12/20 - Situation 6 months post-operative.
Implant placement and ridge augmentation using autologous bone, cerabone® and permamem® - Dr. I. Bellanco
-
13/20 - After re-entry. Removal of permamem®.
Implant placement and ridge augmentation using autologous bone, cerabone® and permamem® - Dr. I. Bellanco
-
14/20 - After membrane removal. Occlusal view.
Implant placement and ridge augmentation using autologous bone, cerabone® and permamem® - Dr. I. Bellanco
-
15/20 - Lateral view.
Implant placement and ridge augmentation using autologous bone, cerabone® and permamem® - Dr. I. Bellanco
-
16/20 - After inseration of the healing caps.
Implant placement and ridge augmentation using autologous bone, cerabone® and permamem® - Dr. I. Bellanco
-
17/20 - Occlusal view.
Implant placement and ridge augmentation using autologous bone, cerabone® and permamem® - Dr. I. Bellanco
-
18/20 - Healing 2 months later.
Implant placement and ridge augmentation using autologous bone, cerabone® and permamem® - Dr. I. Bellanco
-
19/20 - Occlusal view.
Implant placement and ridge augmentation using autologous bone, cerabone® and permamem® - Dr. I. Bellanco
-
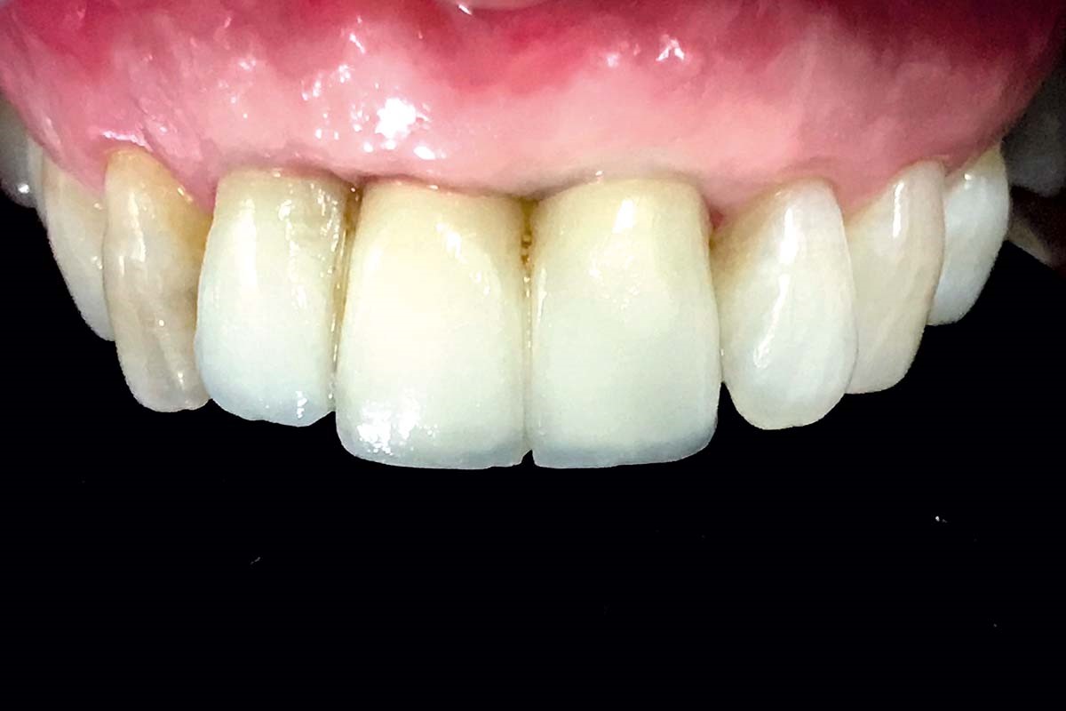
20/20 - Final prosthetic restoration.
Implant placement and ridge augmentation using autologous bone, cerabone® and permamem® - Dr. I. Bellanco