-
1/13 - Pre-operative OPG, teeth 24, 25, and 26 planned for extraction
Multiple socket preservation in the maxilla with collacone® max – Dr. D. Jelušić
-
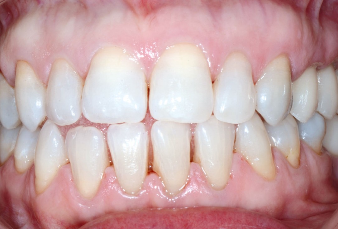
2/13 - Clinical situation before teeth extraction
Multiple socket preservation in the maxilla with collacone® max – Dr. D. Jelušić
-
3/13 - Clinical situation after extraction of teeth 24, 25, and 26
Multiple socket preservation in the maxilla with collacone® max – Dr. D. Jelušić
-
4/13 - Placement of three implants
Multiple socket preservation in the maxilla with collacone® max – Dr. D. Jelušić
-
5/13 - Immediate placement of healing abutments
Multiple socket preservation in the maxilla with collacone® max – Dr. D. Jelušić
-
6/13 - Preparation of two collacone® max
Multiple socket preservation in the maxilla with collacone® max – Dr. D. Jelušić
-
7/13 - Placement of cut collacone® max around the implant
Multiple socket preservation in the maxilla with collacone® max – Dr. D. Jelušić
-
8/13 - Tension-free wound closure
Multiple socket preservation in the maxilla with collacone® max – Dr. D. Jelušić
-
9/13 - Control x-ray image after implant placement
Multiple socket preservation in the maxilla with collacone® max – Dr. D. Jelušić
-
10/13 - Uneventful healing after 6 months
Multiple socket preservation in the maxilla with collacone® max – Dr. D. Jelušić
-
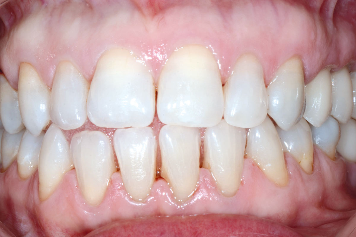
11/13 - Final prosthetic restoration one month later
Multiple socket preservation in the maxilla with collacone® max – Dr. D. Jelušić
-
12/13 - Control OPG after 7 months
Multiple socket preservation in the maxilla with collacone® max – Dr. D. Jelušić
-
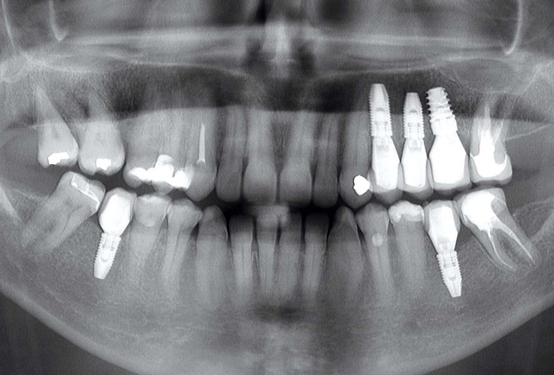
13/13 - Control x-ray image of the placed implants after 7 months
Multiple socket preservation in the maxilla with collacone® max – Dr. D. Jelušić