Immediate implant placement using maxresorb® - Dr. Alejandro Signorio

Immediate implantation with maxresorb® inject - Dr. D. Jelušić

Preoperative Ortopantomogram of the teeth planned for extraction

Restoration of all four incisors with two maxgraft® bonering - Dr. B Giesenhagen

Initial situation pre-op: Central incisors with mobility 3

Immediate implant placement in the maxilla with contour GBR - Dr. K. Loukas

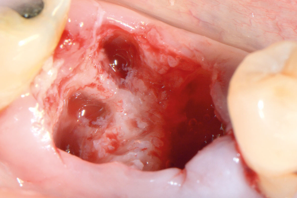
The patient presented with a terminal fracture of the crown tooth number 12

Treatment of a double root fracture in the aesthetic zone with cerabone® – Dr. J. M. Abarca

47 years old patient referred by another dentist after suffering a fall while fishing

Covering of an immediately placed implant with permamem® - Prof. Z. Mazor

Immediately placed implant covered with permamem®. permamem® passively immobilized by sutures and intentionally left exposed to the oral cavity.

Immediate implant placement using cerabone® and collagen fleece - Dr. D. Jelušić

Pre-operative situation showing tooth 21 with deep periodontal pocket. Tooth presented with mobility grade III.

cerabone® and mucoderm® for immediacy in esthetic zone -Dr. M Motta

Initial view of the case. Discoloration of 1.1 and mild class I gingival recession

Multiple socket preservation in the maxilla with collacone® max – Dr. D. Jelušić

Pre-operative OPG, teeth 24, 25, and 26 planned for extraction

cerabone® and mucoderm® for immediate implantation in the aesthetic area - Dr. D. Robles

Initial clinical situation - Central incisors with dental destruction and periapical pathology