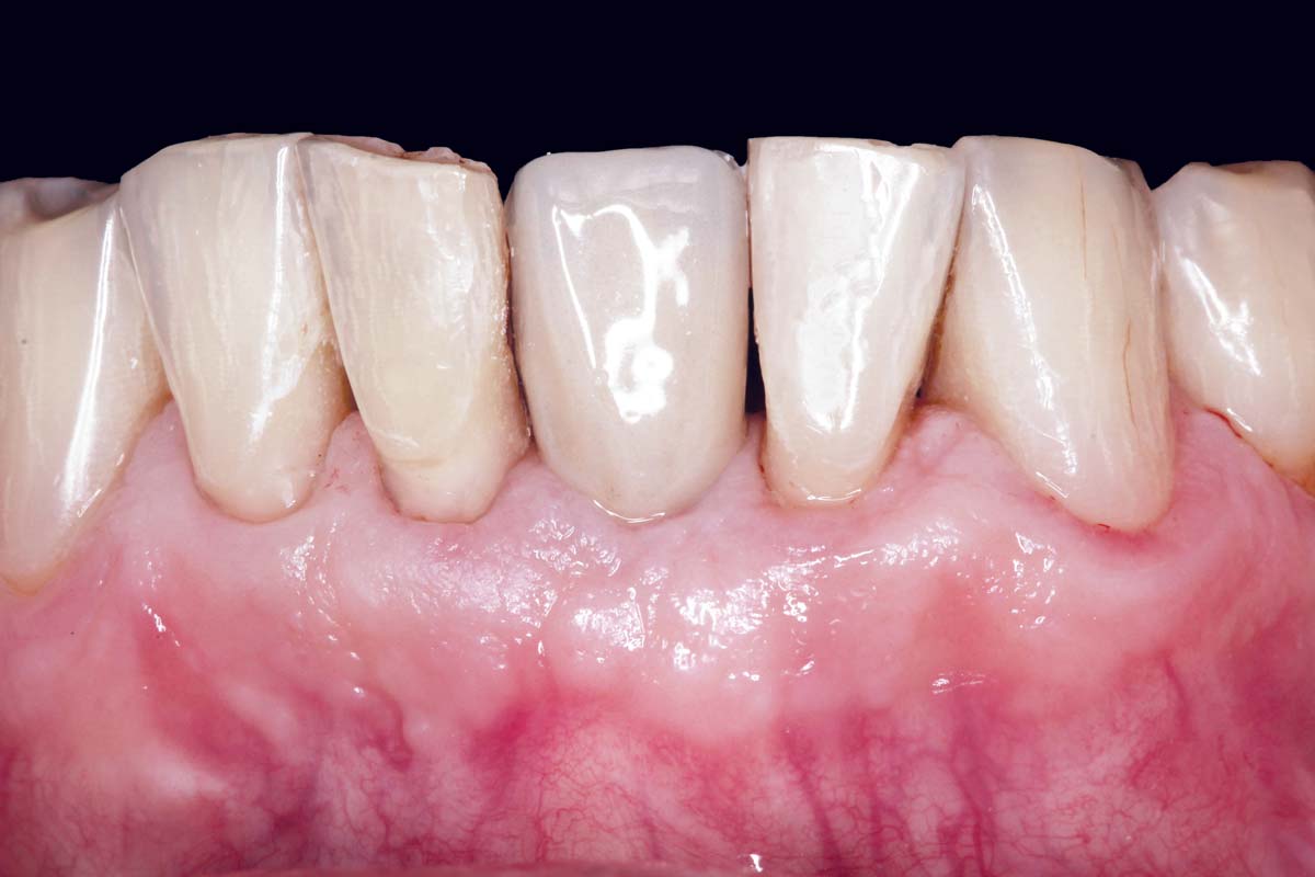
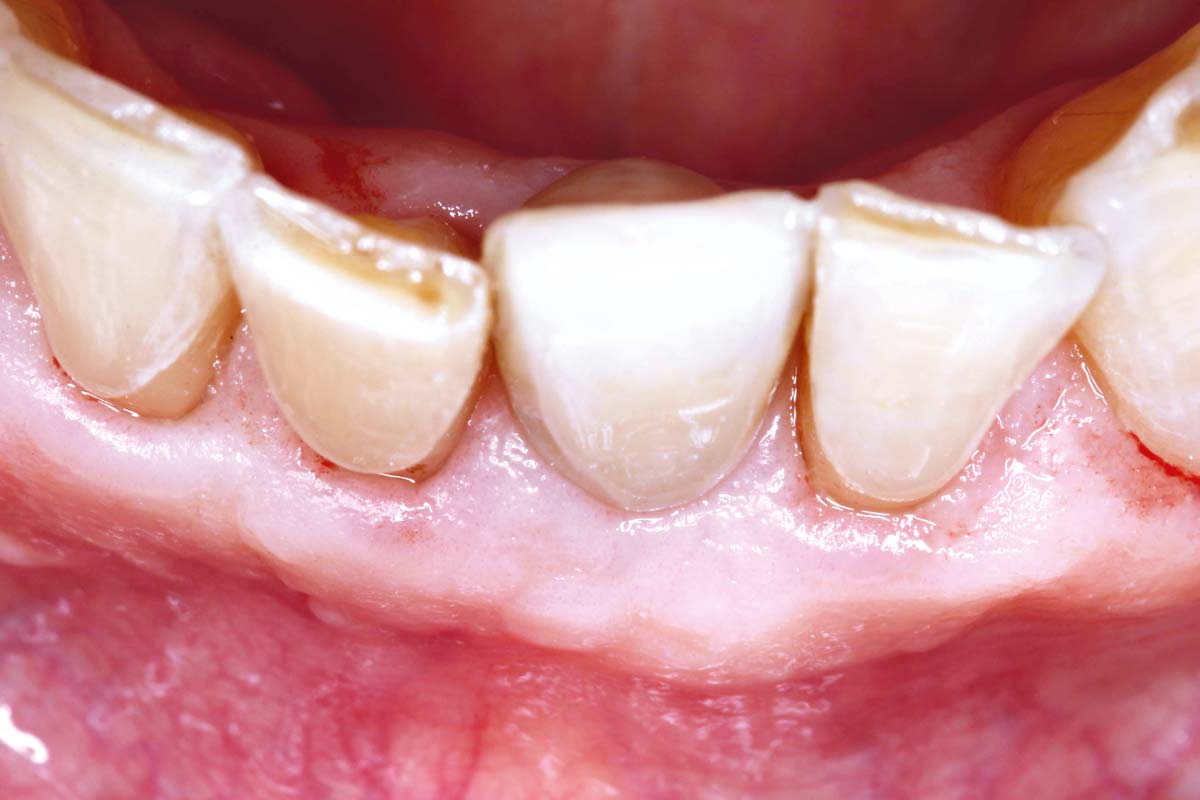
Bone regeneration and implant-supported rehabilitation of a periodontally involved incisor - Dr. A. Eslava Vanegas

botiss cerabone® & collagen fleece for immediate implantation - Clinical case by Dr. D. Jelušić

Clinical situation before extraction and implantation

Immediate implantation with maxresorb® - Dr. M. Frosecchi

X-ray control before tooth extraction

Multiple socket preservation in the mandibular with collacone® max – Dr. D. Jelušić

Pre-operative x-ray image, teeth 43, 44, 45, 46 and 47 planned for extraction

Immediate implant placement in the maxilla with contour GBR - Dr. K. Loukas

The patient presented with a terminal fracture of the crown tooth number 12

Treatment of a double root fracture in the aesthetic zone with cerabone® – Dr. J. M. Abarca

47 years old patient referred by another dentist after suffering a fall while fishing

Covering of an immediately placed implant with permamem® - Prof. Z. Mazor

Immediately placed implant covered with permamem®. permamem® passively immobilized by sutures and intentionally left exposed to the oral cavity.

Immediate implant placement using cerabone® and collagen fleece - Dr. D. Jelušić

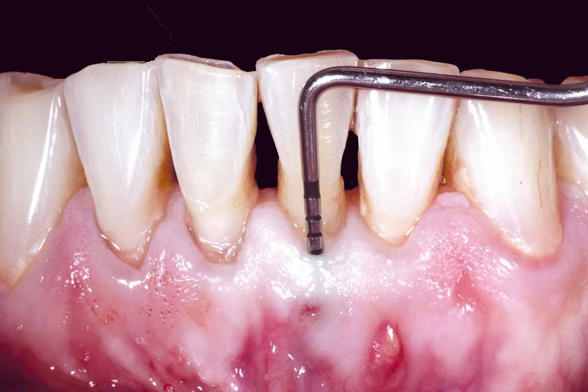
Pre-operative situation showing tooth 21 with deep periodontal pocket. Tooth presented with mobility grade III.

cerabone® and mucoderm® for immediacy in esthetic zone -Dr. M Motta

Initial view of the case. Discoloration of 1.1 and mild class I gingival recession

Multiple socket preservation in the maxilla with collacone® max – Dr. D. Jelušić

Pre-operative OPG, teeth 24, 25, and 26 planned for extraction