-
01/09 - Pre-operative clinical situation. Shallow multiple adjacent gingival recessions in the first quadrant.
Multiple gingival recessions treated with the modified coronally advanced tunnel in conjunction with mucoderm® and Straumann® Emdogain® - Dr. F. Rathe (2)
-
02/09 - Pre-operative clinical situation. Shallow multiple adjacent gingival recessions in the second quadrant.
Multiple gingival recessions treated with the modified coronally advanced tunnel in conjunction with mucoderm® and Straumann® Emdogain® - Dr. F. Rathe (2)
-
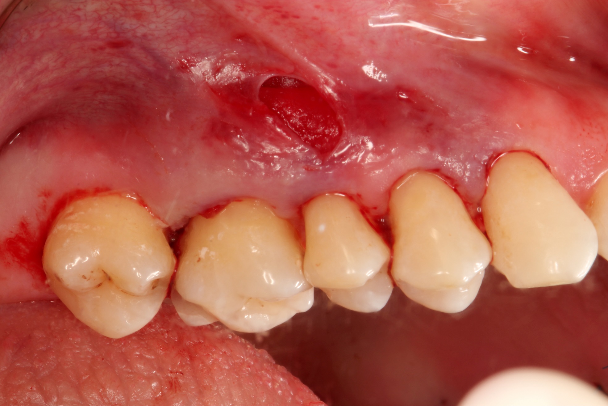
03/09 - mucoderm® inserted into the previously prepared tunnel in the first quadrant. Inseration of the collagen matrix via an additionel vestibular incision.
Multiple gingival recessions treated with the modified coronally advanced tunnel in conjunction with mucoderm® and Straumann® Emdogain® - Dr. F. Rathe (2)
-
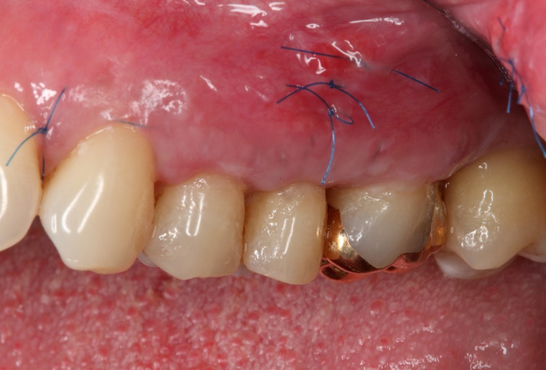
04/09 - Coronal advancement of the prepared tunnel and suturing.
Multiple gingival recessions treated with the modified coronally advanced tunnel in conjunction with mucoderm® and Straumann® Emdogain® - Dr. F. Rathe (2)
-
05/09 - Tunnel preparation and additional vestibular incision in the second quadrant.
Multiple gingival recessions treated with the modified coronally advanced tunnel in conjunction with mucoderm® and Straumann® Emdogain® - Dr. F. Rathe (2)
-
06/09 - Inseration of mucoderm® into the tunnel via the entrance of the vestibular incision and placement over the exposed root surfaces. Root surfaces were pre-treated with Straumann® PrefGel® and Straumann® Emdogain®.
Multiple gingival recessions treated with the modified coronally advanced tunnel in conjunction with mucoderm® and Straumann® Emdogain® - Dr. F. Rathe (2)
-
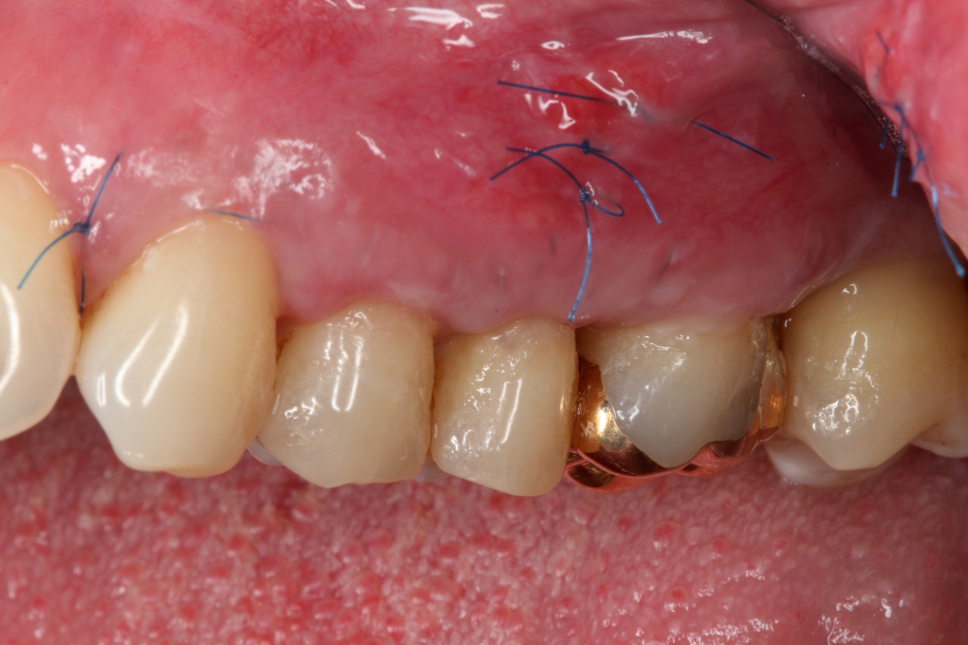
07/09 - Coronal advancement of the prepared tunnel to cover the mucoderm® matrix completely and suturing.
Multiple gingival recessions treated with the modified coronally advanced tunnel in conjunction with mucoderm® and Straumann® Emdogain® - Dr. F. Rathe (2)
-
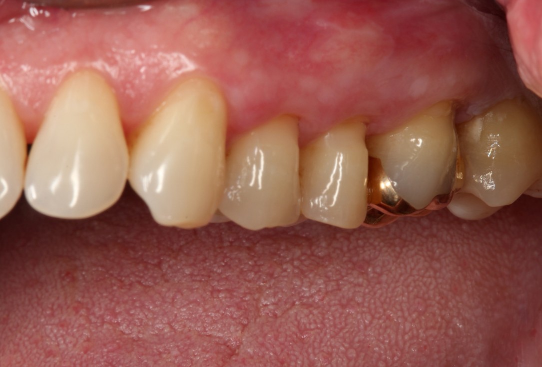
08/09 - Clinical situation of the first quadrant 2 weeks post-operative.
Multiple gingival recessions treated with the modified coronally advanced tunnel in conjunction with mucoderm® and Straumann® Emdogain® - Dr. F. Rathe (2)
-
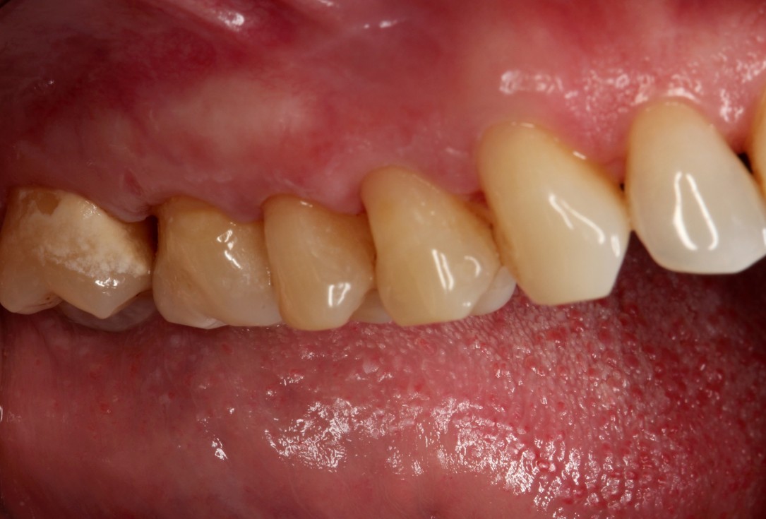
09/09 - Clinical situation of the second quadrant 2 weeks post-operative.
Multiple gingival recessions treated with the modified coronally advanced tunnel in conjunction with mucoderm® and Straumann® Emdogain® - Dr. F. Rathe (2)