Socket preservation with permamem® - Dr. M. Turco
-
01/07 - Situation before tooth extraction.Socket preservation with permamem® - Dr. M. Turco
-
02/07 - Situation after tooth extraction.Socket preservation with permamem® - Dr. M. Turco
-
03/07 - Extraction socket filled with collacone®.Socket preservation with permamem® - Dr. M. Turco
-
04/07 - Extraction socket covered with permamem®. The membrane is placed under the soft tissue.Socket preservation with permamem® - Dr. M. Turco
-
05/07 - Stabilization of the extraction site and immobilization of the membrane with cross sutures.Socket preservation with permamem® - Dr. M. Turco
-
06/07 - Situation 2 weeks post-operative.Socket preservation with permamem® - Dr. M. Turco
-
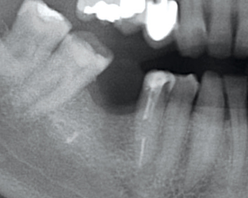
07/07 - Post-operative radiographic control.Socket preservation with permamem® - Dr. M. Turco
Tooth 13 planned for extraction
Initial clinical situation: Bone defect in the upper right maxilla (teeth #14-16)
Initial x-ray, ten years post implantationem alio loco, large peri-implant bone loss
Implant placed in the deficient site. permamem® in place for covering.
Initial clinical situation. Atrophic maxillary ridge.
Intra-operative view.
Extraction socket with bone wall defect
Situation after tooth extraction.
Initial situation - A young female 34 years old lost her front teeth in an surfing accident and she had a 5 unit bridge supported by her upper left lateral and right canine. The restoration failed and both supporting crowns have exposed and leaking margins.
Tooth 16 furcation involvement with gingival marginal recession and large Class 5 filling
Central and lateral incisors are planned for extraction
Left maxillary incisior with failing endodontic treatment despite apicoectomy which was done 15 years prior
Initial clinical situation.
Initial clinical situation.
Initial clinical situation.
Baseline clinical situation.
Grafting of the extraction socket with small cerabone® granules.
Situation before tooth extraction
Situation after tooth extraction.
Initial clinical situation with pronounced vertical and horizontal bone defect
Initial panoramic x-ray with failing tooth 16
Situation after tooth extraction.
Pre-surgical situation.
Initial clinical situation.
Initial clinical situation showing bone wall defect.
Pre-operative situation. Lateral view.
Immediately placed implant covered with permamem®. permamem® passively immobilized by sutures and intentionally left exposed to the oral cavity.
Baseline clinical situation.






