Three-dimensional augmentation with maxgraft® cortico - Dr. R. Würdinger
-
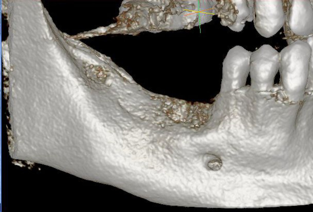
01/28 - Model of the initial defect computed from a CBCT scan - buccal viewThree-dimensional augmentation with maxgraft® cortico - Dr. R. Würdinger
-
02/28 - Model of the initial defect computed from a CBCT scan - lingual viewThree-dimensional augmentation with maxgraft® cortico - Dr. R. Würdinger
-
03/28 - Initial clinical situation - massive bone loss in the posterior 4th quadrantThree-dimensional augmentation with maxgraft® cortico - Dr. R. Würdinger
-
04/28 - Full-thickness flap preparation via crestal incisionThree-dimensional augmentation with maxgraft® cortico - Dr. R. Würdinger
-
05/28 - maxgraft® cortico rehydrated in saline solution for 30 minutesThree-dimensional augmentation with maxgraft® cortico - Dr. R. Würdinger
-
06/28 - Fixation of two defect-adapted maxgraft® cortico plates with osteosynthesis screwsThree-dimensional augmentation with maxgraft® cortico - Dr. R. Würdinger
-
07/28 - Occlusal view on the immobile container created with the two cortical platesThree-dimensional augmentation with maxgraft® cortico - Dr. R. Würdinger
-
08/28 - Defect-fill and contouring with a composite of autologous and allogenic maxgraft® granules and covering with Jason® membraneThree-dimensional augmentation with maxgraft® cortico - Dr. R. Würdinger
-
09/28 - Application of L-PRF matrices for improved wound healingThree-dimensional augmentation with maxgraft® cortico - Dr. R. Würdinger
-
10/28 - Saliva-tight and compression-free wound closure with single-button and mattress suturesThree-dimensional augmentation with maxgraft® cortico - Dr. R. Würdinger
-
11/28 - X-ray scan after augmentationThree-dimensional augmentation with maxgraft® cortico - Dr. R. Würdinger
-
12/28 - Model of the augmented ridge before implantation computed from CBCT-recordings - buccal viewThree-dimensional augmentation with maxgraft® cortico - Dr. R. Würdinger
-
13/28 - Model of the augmented ridge before implantation computed from CBCT-recordings - lingual viewThree-dimensional augmentation with maxgraft® cortico - Dr. R. Würdinger
-
14/28 - Sagittal section of the alveolar ridge in the region of the defect before the augmentation and after 5 months of healing at implantationThree-dimensional augmentation with maxgraft® cortico - Dr. R. Würdinger
-
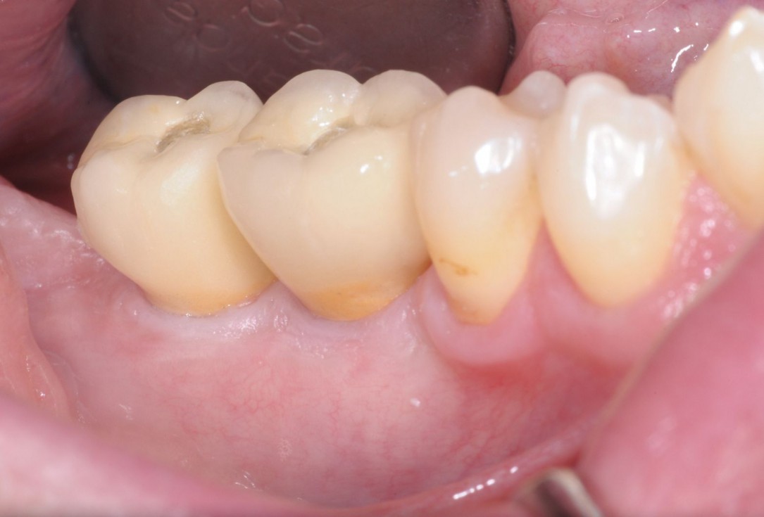
15/28 - Clinical situation 5 months after ridge augmentationThree-dimensional augmentation with maxgraft® cortico - Dr. R. Würdinger
-
16/28 - Surgical site opening along the initial incision lines to prevent further scar tissue formationThree-dimensional augmentation with maxgraft® cortico - Dr. R. Würdinger
-
17/28 - Excellent osseous integration of the allogenic cortical plates with new bone attached to the outside and optimal bone tissue regenerationThree-dimensional augmentation with maxgraft® cortico - Dr. R. Würdinger
-
18/28 - Implantation of two Straumann BLT implants into the augmented boneThree-dimensional augmentation with maxgraft® cortico - Dr. R. Würdinger
-
19/28 - Placement of implant cover screws in the fully submerged dental implantsThree-dimensional augmentation with maxgraft® cortico - Dr. R. Würdinger
-
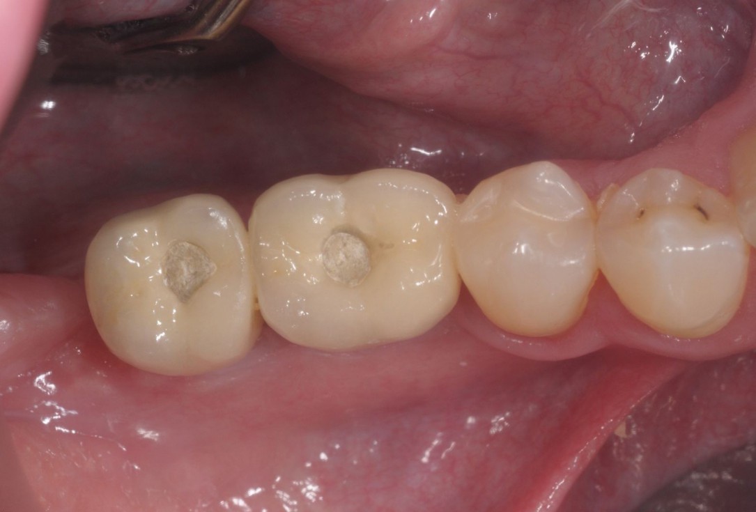
20/28 - Occlusal view of the implants with cover screwsThree-dimensional augmentation with maxgraft® cortico - Dr. R. Würdinger
-
21/28 - X-ray scan of the augmented ridge after implantationThree-dimensional augmentation with maxgraft® cortico - Dr. R. Würdinger
-
22/28 - Stab incision for reopening of the surgical site and installation of gingival formers - buccal viewThree-dimensional augmentation with maxgraft® cortico - Dr. R. Würdinger
-
23/28 - Stab incision for reopening of the surgical site and installation of gingival formers - occlusal viewThree-dimensional augmentation with maxgraft® cortico - Dr. R. Würdinger
-
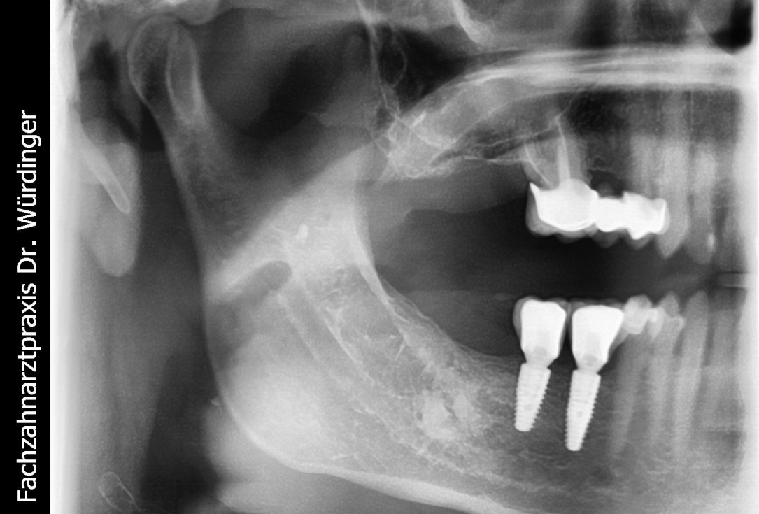
24/28 - X-ray control scan after implant uncovering - excellent and stable osseous situationThree-dimensional augmentation with maxgraft® cortico - Dr. R. Würdinger
-
25/28 - Final prosthetic restauration with provisional screw channels - buccal viewThree-dimensional augmentation with maxgraft® cortico - Dr. R. Würdinger
-
26/28 - Final prosthetic restauration with provisional screw channels - occlusal viewThree-dimensional augmentation with maxgraft® cortico - Dr. R. Würdinger
-
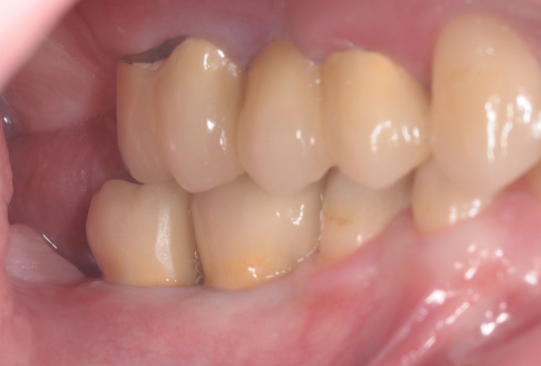
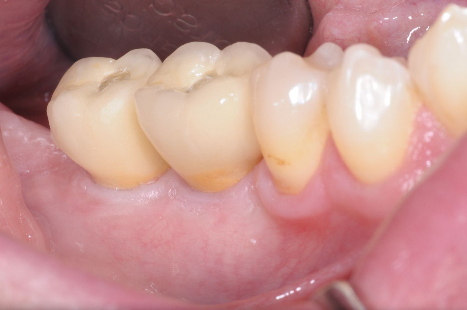
27/28 - Aesthetic and functional final resultThree-dimensional augmentation with maxgraft® cortico - Dr. R. Würdinger
-
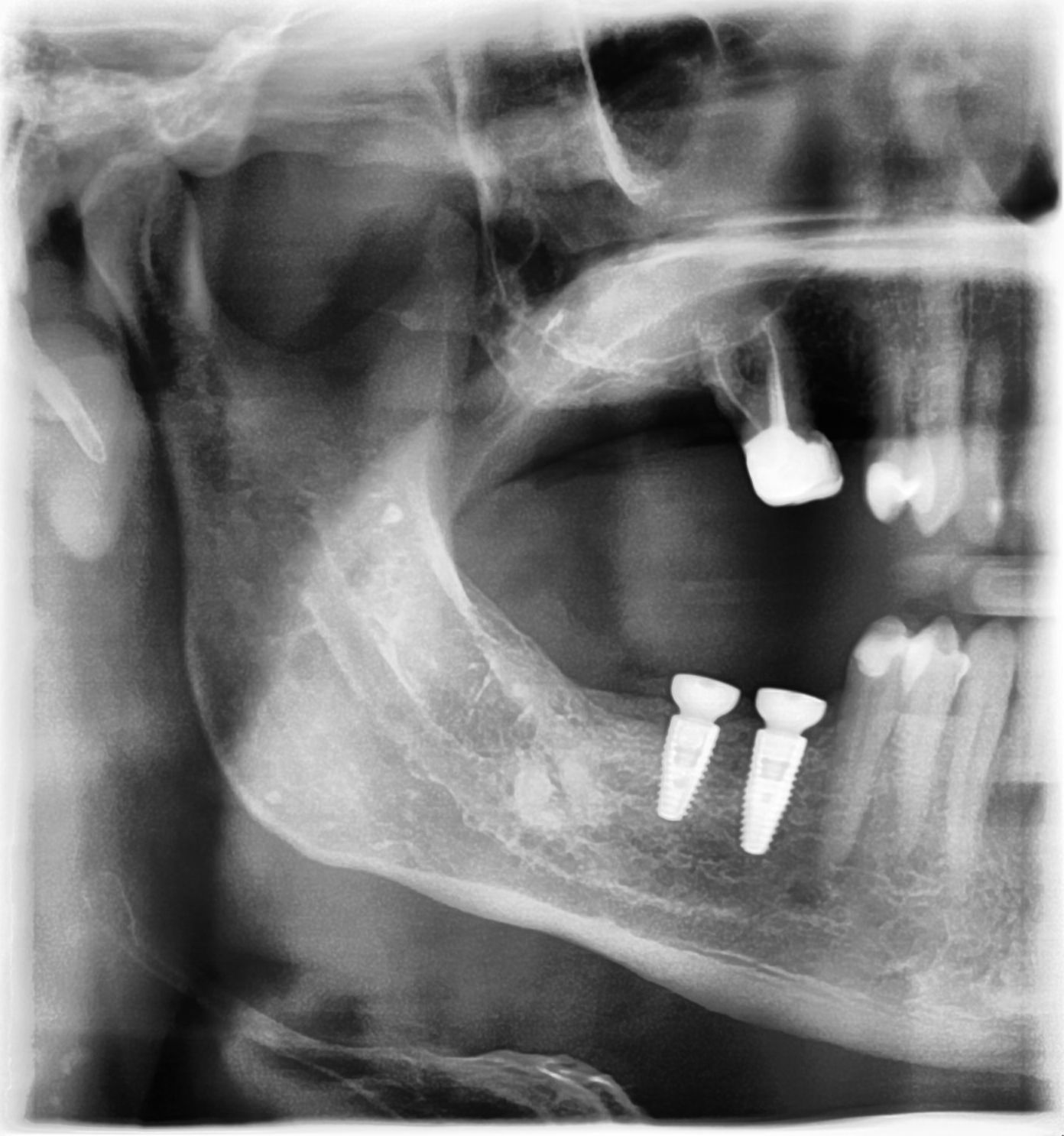
28/28 - Radiographic control of the final prosthesis - excellent stability of the augmented bone tissueThree-dimensional augmentation with maxgraft® cortico - Dr. R. Würdinger
Preoperative Ortopantomogram of the teeth planned for extraction
DVT image demonstrating horizontal and vertical amount of bone available
Extraction of tooth 21 after endodontic treatment
Implant insertion in atrophic alveolar ridge
Initial clinical situation with broken bridge abutment in regio 12 and tooth 21 not worth preserving
Initial clinical situation with gum recession and labial bone loss eight weeks following tooth extraction
Situation after tooth extraction.
Initial clinical situation
Initial situation after extraction of tooth 21 after 6 months
Situation after tooth removal.
Bone defect in area 11-21 due to two lost implants (periimplantitis) after 15 years of function
Pre-operative clinical situation: severe atrophy of the maxillary bone
60-year-old female patient presented with a chronic infection on tooth #11.
Since she has a high lip line matching the gingival margins of the adjacent central incisor and creating a root eminence is extremely important. For these reasons, the treatment of choice was an allograft bone ring enabling immediate placement of the dental implant with simultaneous regeneration of her ridge.
Initial clinical situation: 9 mm pocket depth associated with root fracture
Initial presentation of failing post retained crown with previous history of failed apicectomies and amalgam tattooing and scar tissue
Initial clinical situation with pronounced vertical and horizontal bone defect
Clinical view 8 weeks after extraction of teeth 25 and 26
Pre-operative: loss of interdental papilla between 12 and 11 associated with gingival inflammation and pus
Preoperative x-ray, multiple residual cysts of the upper jaw
Clinical situation at baseline: Situation after tooth extraction UR1 due to a failed endodontic treatment 3 months previously
Situation before extraction of the teeth
Atrophic alveolar ridge in the left mandible
Instable bridge situation with abscess formation at tooth #15 after apicoectomy
Preoperative clinical situation
Pre-operative radiographic view.
Initial situation pre-op: Central incisors with mobility 3
Initial clinical situation.
Initial situation: X-ray scan reveals eggshell thin sinus floor (1-3 mm) on both sites of the maxilla; green areas indicate the planned maxgraft® bonerings and red areas the planned implants
Pre-surgical situation. Teeth 26 and 27 missing.
Pre-op picture of affected teeth 11 and 21
Preoperative radiological situation
Clinical view of the case.
Preoperative situation – Maxillary defect in area 14-16 (loss of implant 16 due to periimplantitis, tooth 14 extracted recently and area 15 already edentulous for a while)
Initial x-ray showing bone loss around implants placed 5 years ago in another dental clinic
Initial clinical situation
Initial situation - endodontically failing tooth 22, very thin biotype, high lip line and esthetic expectations
Loss of teeth in anterior maxilla caused by periodontitis
Initial situation after root channel treatment
Preoperative CBCT analysis
Preparation of a single tooth defect with severely resorbed vestibular wall
Three implants placed in a narrow posterior mandible
Initial clinical situation with single tooth gap in regio 21
Clinical situation: 71-old patient with atrial fibrillation and Warfarin medication
Initial situation 57-year old female patient. X-ray scan reveals severe bone loss due to inflammation in region 13. Treatment plan was extraction of teeth 13 and 14 and augmentation after healing.
Initial clinical situation, regio #16
Model of the initial defect computed from a CBCT scan - buccal view
Clinical situation
Lateral view of the defect in the posterior right maxilla.
Initial clinical situation.
The patient presented with pathologic mobility of upper left central incisor. Radiographic examination revealed significant circumferential attachment loss with an unfavorable crown to root ratio.
Initial situation – Treatment plan: Replace the adhesive upper left central incisor bridge with a dental implant
Preoperative CBCT: vertical bone defects in the 3rd & 4th quadrant
Initial clinical situation: Free end situation in quadrant three and four
Initial x-ray, tooth 25 compromised and to be extracted
Preoperative x-ray, severe bone atrophy
The patient presented with severe pain in the lateral incisor and a deficient adhesive provisional. Bruxism resulted in canine loss and premature contact in the lateral incisor.
Initial x-ray, ten years post implantationem alio loco, large peri-implant bone loss



























