Internal sinus lift with maxresorb® inject - case Dr. Frank Kistler
-
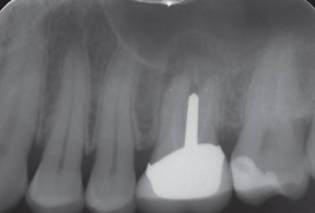
01/10 - Endodontically treated tooth 26 with apical cyst formationInternal sinus lift with maxresorb® inject - case Dr. Frank Kistler
-
02/10 - X-ray control before implantation with partially regenerated extraction socketInternal sinus lift with maxresorb® inject - case Dr. Frank Kistler
-
03/10 - Presentation of the soft tissue situation before implantationInternal sinus lift with maxresorb® inject - case Dr. Frank Kistler
-
04/10 - Preparation of the implant bed for internal sinus lift with bone condensorInternal sinus lift with maxresorb® inject - case Dr. Frank Kistler
-
05/10 - The maxresorb® inject paste is brought to instrument for applicationInternal sinus lift with maxresorb® inject - case Dr. Frank Kistler
-
06/10 - Insertion of maxresorb® inject for internal sinus liftInternal sinus lift with maxresorb® inject - case Dr. Frank Kistler
-
07/10 - Augmentation of the sinus floor by a crestal approachInternal sinus lift with maxresorb® inject - case Dr. Frank Kistler
-
08/10 - Insertion of maxresorb® inject with bone condenserInternal sinus lift with maxresorb® inject - case Dr. Frank Kistler
-
09/10 - Inserted implant before wound closureInternal sinus lift with maxresorb® inject - case Dr. Frank Kistler
-
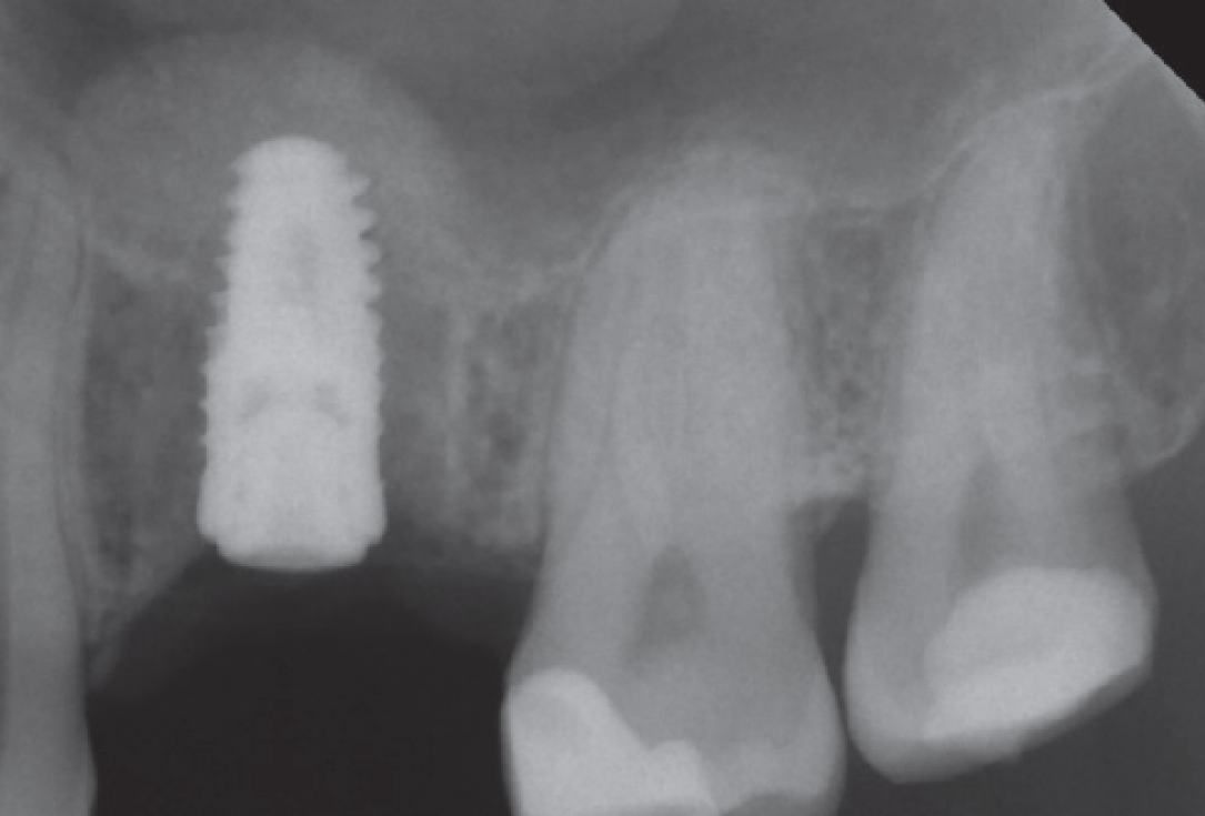
10/10 - X-ray control clearly showing the inserted maxresorb® injectInternal sinus lift with maxresorb® inject - case Dr. Frank Kistler
Preoperative Ortopantomogram of the teeth planned for extraction
Endodontically treated tooth 26 with apical cyst formation
Pre-operative x-ray control
Initial panoramic x-ray with failing tooth 16
Pre-operative OPG of the patient









