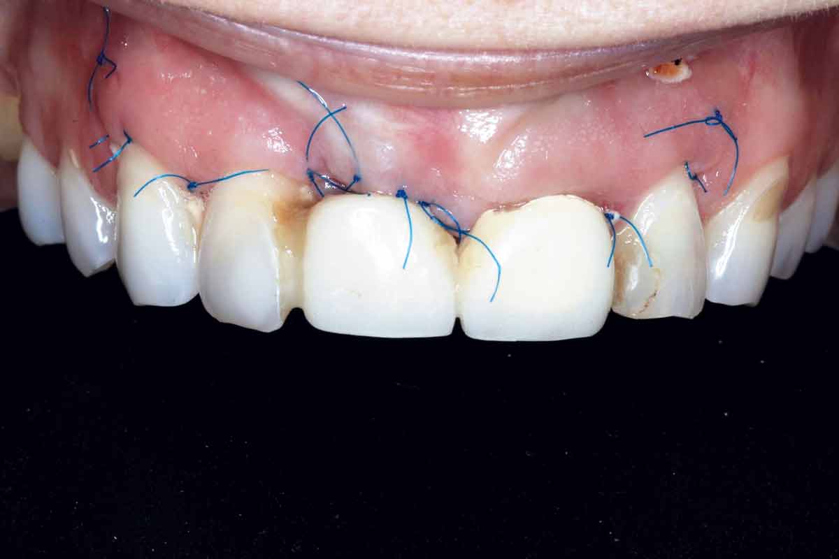
Implant placement and bone augmentation in the aesthetic zone using maxgraft® and permamem® - Dr. A. Puišys

Augmentation with maxgraft® cortico - Dr. K. Chmielewski

Preparation of a single tooth defect with severely resorbed vestibular wall

Posterior socket preservation using maxgraft® and permamem® - Dr. C. Landsberg

Tooth 16 furcation involvement with gingival marginal recession and large Class 5 filling

Full maxillary reconstruction with maxgraft® bonebuilder - Dr. C. Hilscher

Initial x-ray, ten years post implantationem alio loco, large peri-implant bone loss

Implant placement and bone augmentation in the aesthetic zone using maxgraft® and permamem® - Dr. A. Puišys

Implant placed in the deficient site. permamem® in place for covering.

Block grafting in the aesthetic zone with maxgraft®, Jason® membrane and cerabone® - Dres. H. Maghaireh and V. Ivancheva

Initial situation – Treatment plan: Replace the adhesive upper left central incisor bridge with a dental implant

GBR in aesthetic zone with maxgraft® and Jason® membrane - 5 year follow up - Dr. A. Jones

Clinical situation at baseline: Situation after tooth extraction UR1 due to a failed endodontic treatment 3 months previously

Socket preservation with mucoderm® & maxgraft® - Dr. A. Puisys

Pre-operative situation; tooth 21 proved not to be worth preserving

Full bone regeneration in extraction socket augmented with maxgraft® and Jason® membrane – Dr. C. Landsberg

Initial clinical situation: 9 mm pocket depth associated with root fracture

botiss-cerabone-permamem-maxgraft-mucoderm-horizontal-gbr-maghaireh

Initial situation - A young female 34 years old lost her front teeth in an surfing accident and she had a 5 unit bridge supported by her upper left lateral and right canine. The restoration failed and both supporting crowns have exposed and leaking margins.

Simultaneous GBR and implantation using maxgraft® granules and autologous bone

Initial situation - endodontically failing tooth 22, very thin biotype, high lip line and esthetic expectations

Delayed implant placement with GBR and soft tissue augmentation at the aesthetic area  -  2 years follow up – Dr. H. Maghaireh & Dr. V. Ivancheva

Initial situation - broken and missing upper right central incisor (UR1). This tooth was removed long time ago and there were signs of bone loss and resorption due to the bone remodelling. Patient was also undergoing orthodontic treatment due to the loss of mesio-distal space.